Lichen planus
Lichen planus er en ganske sjelden, langvarig og ofte sterkt kløende hudlidelse som tidlig i forløpet er preget av små, kantete, flate hudforandringer.

Sist oppdatert:
19. apr. 2022
Hva er lichen planus?
Lichen planus eller lichen ruber planus er en ganske sjelden, langvarig og ofte sterkt kløende hudlidelse som tidlig i forløpet er preget av små, kantete, flate hudforandringer. Hos 25-35 prosent angripes også slimhinner, og dette viser seg hyppigst på innsiden av kinnene der det kan ses hvite flekker og striper (se lichen planus i munnhulen). Typiske steder med hudforandringer er underarmenes håndflateside, lår, legger og området rundt halebeinet/baken.

Karakteristiske trekk ved hudutslettet:
- Opptil 1 centimeter store, flate hudforandringer
- Ofte små grupper med utslett
- Fargen er grålig rød med fiolett skjær og glatt, skinnende overflate
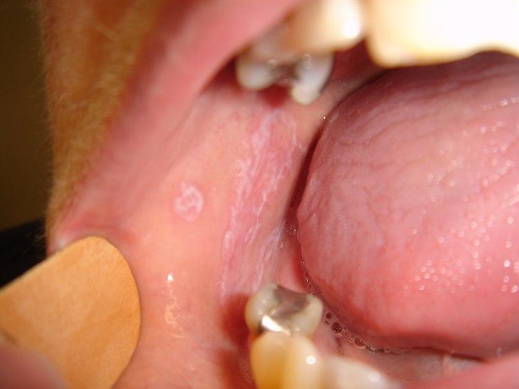
Lichen planus munnKarakteristiske trekk ved slimhinneforandringer:
- Hvite flekker og striper som kan utvikle seg til områder med sårdannelse
- Slimhinneforandringer kan være eneste tegn
- Ytre kjønnsorganer hos kvinner og penishodet hos menn kan også angripes
- Man ser også negleforandringer hos ti prosent av pasientene (langsgående streker)

Lichen planus i huden er den vanligste formen, mens munnhule-varianten står for 15-35 prosent av tilfellene. Slimhinneforandringer forekommer hos opptil 65 prosent av pasientene med lichen planus i huden. Tilstanden forekommer hos 0,2-5 prosent av befolkningen. Sykdommen rammer middelaldrende kvinner hyppigere enn menn.
Årsak
Årsaken er ukjent, men sannsynligvis skyldes sykdommen en unormal immunreaksjon, en autoimmun sykdom som kan være utløst av en virusinfeksjon - blant annet er det økt forekomst hos personer med hepatitt C-infeksjon. Tilstanden kan finnes ved andre sykdommer med endret immunitet som ulcerøs kolitt, vitiligo, dermatomyositt, lichen sclerosis og myasthenia gravis.
Gull og malariamidler som brukes ved behandling av revmatiske sykdommer, kan utløse lichen planus-liknende utslett. Det kan også arbeid med fargefremkallere.
Diagnostikk

Sykdommen begynner vanligvis akutt over en ukes tid og ledsages av sterk kløe. Den kan også ha en mer langsom start, og kløen er da mindre intens. Akutte utbrudd er imidlertid det mest vanlige. Maksimal spredning på kroppen foreligger innen 2 til 16 uker. Utslettet er særlig lokalisert til bøyeflatene, eks. håndflatesiden i håndleddene, og på kroppen.
Selv om lichen planus oftest forekommer på huden, så kan sykdommen også involvere munnslimhinnen, slimhinnen i kjønnsorganene og/eller neglene.
Diagnosen stilles på grunnlag av typiske forandringer på hud og slimhinner. Ved sykdom i munnhulen kan det være aktuelt å ta en vevsprøve. Typiske funn ved vevsprøver og immunfluorescensundersøkelse er viktig for å skille lichen planus fra andre lichenoide tilstander i hud og slimhinner.
Utbrudd i munnen kan være helt uten plager, men det kan også forårsake brennende smerter.
Behandling
Sterk kløe krever oftest behandling med kortisonsalve eller kortison i tablettform. Ved akutte former med sterk kløe kan det være aktuelt å gi kortisonpreparat i tablettform sammen med sterk kortisonsalve. Dette virker betennelsesdempende.
Antihistaminer ("allergimedisin") kan også hjelpe mot kløen. Ved mindre uttalte og kroniske plager er det tilstrekkelig å bruke sterke steroidsalver.
Alternative eller supplerende behandlinger kan være å gi A-vitaminliknende stoffer eller cellegift når annen behandling virker dårlig. Andre behandlingsformer kan også være aktuelle, blant annet en spesiell form for strålebehandling av huden.
Prognose
Prognosen er god med spontan tilbakegang av symptomene hos de fleste i løpet av ett til to år. I noen tilfeller blir lidelsen kronisk og kan da bestå i årtier. Tilbakefall av lidelsen er hyppig.
Verdens helseorganisasjon har karakterisert tilstanden som et forstadium til hudkreft (prekankrøs), selv om det hersker uenighet om dette blant forskere. Dette gjelder ved sykdom i munnhulen. Imidlertid er det de færreste som opplever overgang til munnhulekreft. Siden denne muligheten finnes, er det fornuftig å gå til regelmessige kontroller, for eksempel med noen års mellomrom. Og skulle du merke endringer i munnhulen, bør du kontakte legen din.
Dette dokumentet er basert på det profesjonelle dokumentet Lichen planus . Referanselisten for dette dokumentet vises nedenfor
- Sollesnes Holsen D, Johannessen AC. Sykdommer som affiserer hud og munnslimhinne. Tidsskr Nor Lægeforen 2006; 126: 1214-7. Tidsskrift for Den norske legeforening
- Usatine RP, Tinitigan M. Diagnosis and treatment of lichen planus. Am Fam Physician 2011; 84: 53-60. American Family Physician
- Chuang T-Y. Lichen planus. Medscape, last updated Jul 25, 2018. emedicine.medscape.com
- Kusari A, Ahluwalia J. Lichen Planus. N Engl J Med. 2018;379(6):567. PubMed
- Gorouhi F, Davari P, Fazel N. Cutaneous and mucosal lichen planus: a comprehensive review of clinical subtypes, risk factors, diagnosis, and prognosis. ScientificWorldJournal. 2014;2014:742826. Published 2014 Jan 30. PMID: 24672362. PubMed
- Goldstein BG, Goldstein AO. Lichen planus. UpToDate, last updated Mar 22, 2022. UpToDate
- Løkken P, Skoglund LA. Legemiddelbivirkninger i munnhulen. Tidsskr Nor Lægeforen 2006; 126: 1345-8.
- Shengyuan L, Songpo Y, Wen W, Wenjing T, Haitao Z, Binyou W. Hepatitis C virus and lichen planus: a reciprocal association determined by a meta-analysis. Arch Dermatol 2009; 145: 1040-7. PubMed
- Cooper S, Munidasa D. Lichen planus. BMJ Best Practice, last reviewed 19 Mar 2022. bestpractice.bmj.com
- Elyas A. Bradley M. Viktigt att beakta att hudåkommor kan variera beroende på hudtyp. Läkartidningen. 2021,118:20208. lakartidningen.se
- Di Fede O, Belfiore P, Cabibi D, et al. Unexpectedly high frequency of genital involvement in women with clinical and histological features of oral lichen planus. Acta Derm Venereol 2006; 86: 433-8. PubMed
- Belfiore P, Di Fede O, Cabibi D, et al. Prevalence of vulval lichen planus in a cohort of women with oral lichen planus: an interdisciplinary study. Br J Dermatol 2006; 155: 994-8. PubMed
- Rasi A, Behzadi AH, Davoudi S, Rafizadeh P, Honarbakhsh Y, Mehran M, et al. Efficacy of oral metronidazole in treatment of cutaneous and mucosal lichen planus. J Drugs Dermatol. 2010 Oct. 9(10):1186-90.
- Arias-Santiago S, Buendia-Eisman A, Aneiros-Fernandez J, et al. Cardiovascular risk factors in patients with lichen planus. Am J Med. 2011 Jun. 124(6):543-8.
- Rajar UD, Majeed R, Parveen N, Sheikh I, Sushel C. Efficacy of aloe vera gel in the treatment of vulval lichen planus. J Coll Physicians Surg Pak 2008; 18: 612-4. PubMed
- Pavlotsky F, Nathansohn N, Kriger G, Shpiro D, Trau H. Ultraviolet-B treatment for cutaneous lichen planus: our experience with 50 patients. Photodermatol Photoimmunol Photomed. 2008 Apr. 24(2):83-6.
- Corrocher G, Di Lorenzo G, Martinelli N, et al. Comparative effect of tacrolimus 0.1% ointment and clobetasol 0.05% ointment in patients with oral lichen planus. J Clin Periodontol 2008; 35: 244-9. PubMed
- Carbone M, Arduino PG, Carrozzo M, et al. Topical clobetasol in the treatment of atrophic-erosive oral lichen planus: a randomized controlled trial to compare two preparations with different concentrations. J Oral Pathol Med 2009; 38: 227-33. PubMed