Lichen planus i munnhulen
Lichen planus er vanligvis en hudsykdom, men i noen tilfeller finnes "utslettet" kun i munnhulen - på fagspråket betegnes tilstanden da for oral lichen planus.

Sist oppdatert:
12. aug. 2021
Hva er lichen planus i munnhulen?
Lichen planus er vanligvis en hudsykdom, men i noen tilfeller finnes "utslettet" kun i munnhulen - på fagspråket betegnes tilstanden da for oral lichen planus. I motsetning til hudvarianten er forandringene i munnhulen mye mer langvarige, og de kan være vanskelige å behandle.
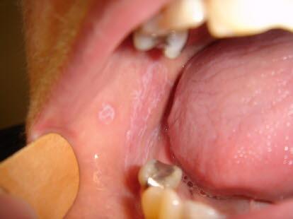
Slimhinneforandringene i munnhulen kan ha litt ulike utseender. Det kan være som et mønster av tråder og nett (retikulær form), det kan være partier som kun er røde (erytematøs form), eller det kan være sårdannelser (erosiv form). Den retikulære formen er lettest å se, den gir ofte lite plager, men den kan være sjenerende når den finnes på tungen. Den erosive formen er den mest plagsomme.


Oral lichen planus kan forekomme hos en til fire prosent av befolkningen. Tilstanden ses oftest blant eldre kvinner, og den debuterer vanligvis etter 40-årsalderen.
Årsaker
Den egentlige årsaken til oral lichen planus kjenner vi ikke, men vi vet at det dreier seg om en autoimmun sykdom. Vanligvis finner vi ikke noen underliggende forklaring, men lichen planus kan oppstå hos pasienter med andre immunologiske sykdommer som flekkvist håravfall (alopecia areata), dermatomyositt, myastenia gravis, primær biliær cirrhose, ulcerøs colitt og vitiligo.
Diagnostikk
Diagnosen baseres i de fleste tilfeller på sykehistorien og utseendet til slimhinneforandringene. Mikroskopi av en vevsprøve vil bekrefte diagnosen, men er ofte ikke nødvendig.
Tilstanden utvikler seg ofte langsomt, og den kan lenge være uten symptomer. Det kan for eksempel være tannlegen som oppdager forandringene i slimhinnen. Forandringene kan være hvite striper, flak eller små knuter. De finnes mest typisk på den delen av munnslimhinnen som vender inn mot tennene, ofte på begge sider i munnen. Slimhinneforandringene kan også forekomme (med avtakende hyppighet) på tungen, i tannkjøttet, på leppene, i munngulvet og i ganen. Over tid vil cirka to av tre få plager med svie og brenning i munnen. Plagene forverres gjerne når de spiser sterkt krydret mat.
Oral lichen planus kan hos 15-45 prosent også gi slimhinneforandringer andre steder. I så fall finnes utslettene oftest på slimhinnen i kjønnsorganene, sjeldnere finnes utbrudd i hodebunnen, på neglene, i nesen, i spiserøret og på øyeslimhinnen.
Bare unntaksvis må det tas ut en vevsbit (biopsi) med slimhinneforandringer som kan mikroskoperes for å skille tilstanden fra andre sykdommer.
Behandling
Målet med behandlingen er å lindre plagene og hindre arrdannelse. Pasienter uten symptomer behøver ikke behandling.
Fordi færre enn 20 prosent av pasientene opplever å bli kvitt sykdommen, vil behandlingen av oral lichen planus være kronisk og lindrende. De fleste pasienter som opplever ubehag, blir bedt om å unngå faktorer som forverrer tilstanden, og de blir gitt lokal steroidbehandling. Skulle det vise seg at behandlingen hjelper dårlig, finnes det et stort utvalg av andre behandlinger som kan hjelpe - som takrolimus og pimecrolimus. En ulempe er dog at mange av disse alternative behandlingene har bivirkninger.
I perioder med plager bør du unngå mat og stoffer som forverrer tilstanden. Det er meget viktig med god munnhygiene og regelmessig oppfølging av tannlege. Eventuelt bør du reparere tenner eller proteser som irriterer slimhinnen.
Prognose
Slimhinneforandringer ved oral lichen planus vedvarer i mange år. Tilstanden kan veksle mellom perioder med økte plager og perioder med mindre plager. Ved forverring øker slimhinneforandringene, ved bedring minsker de. Forverring kan være knyttet til økt psykologisk stress eller angst.
Hos færre enn fem prosent av pasienter med oral lichen planus kan tilstanden utvikle seg til slimhinnekreft. Oftest skjer det der slimhinneforandringene består i sår og røde partier. Det er derfor viktig at du får kontrollert slimhinnene i munnen, for eksempel med ett til tre års mellomrom, dersom du har hatt forandringene i noen år. Og merker du selv forandringer, bør du få lege til å se på det. Skulle det oppstå kreftforandringer, er dette noe som i de aller fleste tilfeller lar seg behandle med utmerket resultat.
Oral lichen planus er en kronisk betennelsessykdom. Mens utslettene ved lichen planus i huden typisk går tilbake etter ett til to år, så vedvarer slimhinneforandringene ved oral lichen planus, og de kan vare i 20 år eller lengre.
Dette dokumentet er basert på det profesjonelle dokumentet Oral lichen planus . Referanselisten for dette dokumentet vises nedenfor
- Mirowski GW, Schlosser BJ. Oral lichen planus: Pathogenesis, clinical features, and diagnosis. UpToDate, last updated Feb 22, 2021. UpToDate
- Chiang CP, Yu-Fong Chang J, Wang YP, et al. Oral lichen planus - Differential diagnoses, serum autoantibodies, hematinic deficiencies, and management. J Formos Med Assoc. 2018;117(9):756-765. PubMed
- Choppy JR. Oral lichen planus. Medscape, last updated Sep 15, 2020. emedicine.medscape.com
- Carbone M, Arduino PG, Carrozzo M, et al. Course of oral lichen planus: a retrospective study of 808 northern Italian patients. Oral Dis 2009; 15:235. PubMed
- Shan J, Ma JM, Wang R, Liu QL, Fan Y. Proliferation and Apoptosis of Peripheral Blood Mononuclear Cells in Patients with Oral Lichen Planus. Inflammation. 2013; 36(2):419-25. PubMed
- Løkken P, Skoglund LA. Legemiddelbivirkninger i munnhulen. Tidsskr Nor Lægeforen 2006; 126: 1345-8.
- Al-Mayahi S, Böttiger Y. Betablockerare kan ge lichen planus. Läkartidningen 2015.
- Mirowski GW, Schlosser BJ. Oral lichen planus: Management and prognosis. UpToDate, last updated Mar 16, 2021. UpToDate
- Lodi G, Manfredi M, Mercadante V, et al. Interventions for treating oral lichen planus: corticosteroid therapies. Cochrane Database of Systematic Reviews 2020, Issue 2. Art. No.: CD001168. The Cochrane Library
- Cheng S, Kirtschig G, Cooper S, et al. Interventions for erosive lichen planus affecting mucosal sites. Cochrane Database Syst Rev 2012; :CD008092. Cochrane (DOI)
- Davari P, Hsiao HH, Fazel N. Mucosal lichen planus: an evidence-based treatment update. Am J Clin Dermatol 2014; 15:181. PubMed
- Chamani G, Rad M, Zarei MR, et al. Efficacy of tacrolimus and clobetasol in the treatment of oral lichen planus: a systematic review and meta-analysis. Int J Dermatol 2015; 54:996. PubMed
- Shilpa PS, Kaul R, Bhat S, Sanjay CJ, Sultana N. Topical tacrolimus in the management of oral lichen planus: literature review. J Calif Dent Assoc. 2014 Mar. 42(3):165-70.
- Choonhakarn C, Busaracome P, Sripanidkulchai B, Sarakarn P. The efficacy of aloe vera gel in the treatment of oral lichen planus: a randomized controlled trial. Br J Dermatol 2008; 158: 573-7. PubMed