Pagets sykdom
Pagets sykdom er en beinsykdom av ukjent årsak. Den kan opptre på ett eller flere steder i skjelettet. Det angrepne beinvevet løses opp, noe som fører til økt beinnydannelse. Det nye beinvevet er unormalt og har nedsatt styrke.

Sist oppdatert:
26. mars 2021
Hva er Pagets sykdom?

Pagets sykdom kalles også osteitis deformans. Det er en beinsykdom av ukjent årsak, og den ble første gang beskrevet i 1877. Sykdommen opptre i avgrensa områder på ett eller flere steder i skjelettet. Det angrepne beinvevet løses opp, noe som i neste runde fører til økt beinnydannelse. Det nye beinvevet er unormalt og har nedsatt styrke. Sykdommen kan være årsak til smerter og lokal varmeøkning, og kan føre til feilstillinger i skjelettet. Hos 70-90 prosent gir den imidlertid ingen symptomer og kan bli oppdaget tilfeldig ved røntgenbilde eller unormal blodprøve (alkalisk fosfatase).
Sykdommen oppstår vanligvis etter 50-årsalderen. Det er store geografiske forskjeller i forekomst. I Skandinavia er sykdommen meget sjelden, men i Vest-Europa og for eksempel Australia er forekomsten 2 til 4 prosent av befolkningen.
Årsaker
Årsaken er ukjent, men i en del tilfeller er tilstanden arvelig. Det er funnet en genfeil (mutasjon i SQSTM1-gen) hos cirka 50 prosent av alle pasientene med arvelig Pagets sykdom. Man tror imidlertid at dette ikke er hele forklaringen, og man antar at det må finnes noen faktorer i miljøet som bidrar til at sykdommen starter. Blant annet har man mistenkt meslingevirus for å være en slik miljøfaktor. Fortsatt er dette bare en teori.
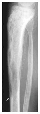
Sykdomsforandringer, lesjoner, kan finnes på ett sted eller flere steder i skjelettet. Tilstandén utvikler seg over tre faser. Første fase er økt nebryting av beinvev (økt osteoklastaktivitet), på røntgen ses det som mørkere flekker, lytiske lesjoner. I neste fase repareres dette med økt oppbygging av nytt beinvev, men dette beinvevet er mer uordnet enn normalt beinvev og det er mekanisk svakere. I siste fase forkalkes lesjonene, de beskrives som sklerotiske og fremstår som lysere på røntgen.
Symptomer
Tidlig er sykdommen uten symptomer. Etter hvert kan det oppstå lokale symptomer i form av ubehag og smerter fra skjelettet, eller fra hud eller bløtvev rundt skjelettforandringene. Smertene er ofte konstante og verst om natten, men de lindres gjerne ved fysisk aktivitet. Dersom det oppstår beinbrudd på grunn av svekkelsen av beinstrukturen, vil smertene naturlig nok være verst ved belastning. De svake partiene i knoklene kan føre til unormale krumninger, særlig i lår og legg, og dette kan disponere for forkalkninger i nærliggende ledd (artrose).
Tilstanden kan ramme flere ben hos samme pasient. På grunn av økt blodforsyning vil benet være varmt å ta på i de tilfeller der benet ligger tett opp til huden (for eksempel leggbeinet). Beinvevet kan være svært mykt eller svært hardt, og det kan være deformert på grunn av fortykkelse i beinet.
De knoklene hvor man hyppigst finner disse forandringene er leggbeinet (tibia), lårbeinet (femur), bekkenet (pelvis), ryggsøylen eller kraniet.
Diagnosen
Tilstanden kan påvises tilfeldig ved røntgenundersøkelse av annen årsak. I noen tilfeller oppdages tilstanden på grunn av forhøyet alkalisk fosfatase (ALP) i blodprøve. Oftest er det utredning på grunn av skjelettsmerter som fører til diagnosen.
Røntgen kan vise typiske forandringer. Unormalt høy benomsetning kan påvises ved skjelettscintigrafi.
I noen tilfeller kan det være vanskelig å skjelne forandringene i beinvevet fra spredning fra kreft (metastaser) eller blodkreftsykdommen myelomatose.
Behandling
De fleste behøver ikke behandling så lenge de er uten plager. Målet med behandlingen å lindre smerter og minske komplikasjoner. Behandlingen er en spesialistoppgave og ingen behandling har helbredende effekt.
Dersom sykdommen gir kontinuerlige smerter, er det vanlig å starte behandling. Det brukes da medisiner av typen bisfosfonater, en type medisiner som også brukes ved benskjørhet. Behandlingen er svært effektiv og fører til smertelindring og tilbakegang av skjelettforandringene. Det er også vanlig å tilby behandling før pasienten får smerter dersom man vurderere det slik at forandringene kan føre til brudd eller andre komplikasjoner. Behandlingen foregår over kort tid, men effekten av behandlingen varer i flere år.
Det kan være nyttig med gradert trening og aktivitet for å styrke muskulatur og skjelett.
Prognose
Sykdommen er kronisk, og den tiltar normalt i omfang dersom den ikke behandles. De vanligste komplikasjonene er beinbrudd som oppstår uten noen store traumer eller belastninger. Nerver kan komme i klem fordi nydannet ben kan trykke på nervene.
Prognosen er for de aller fleste god, og tilstanden påvirker ikke livslengden.
Vil du vite mer
Dette dokumentet er basert på det profesjonelle dokumentet Pagets sykdom . Referanselisten for dette dokumentet vises nedenfor
- Paget J. On a form of chronic inflammation of bones (osteitis deformans). Trans Med-Chir Soc 1877; 60: 37-63.
- Tuck SP, Layfield R, Walker J, et al. Adult Paget´s disease of bone: a review. Rheumatology 2017; 56: 2050-9. Rheumatology
- Rianon NJ, des Bordes JK. Paget Disease of Bone for Primary Care. Am Fam Physician. 2020 Aug 15;102(4):224-228. PMID: 32803929. PubMed
- Lalam RK, Cassar-Pullicino VN, Winn N. Paget Disease of Bone. Semin Musculoskelet Radiol. 2016 Jul. 20 (3):287-299.
- Bolland MJ, Cundy T. Paget's disease of bone: clinical review and update. J Clin Pathol 2013; 66: 924-7. PubMed
- Corral-Gudino L, Borao-Cengotita-Bengoa M, Del Pino-Montes J, et al. Epidemiology of Paget's disease of bone: a systematic review and meta-analysis of secular changes. Bone. 2013;55(2):347–352.
- Polyzos SA, Cundy T, Mantzoros CS. Juvenile Paget disease. Metabolism. 2017 Nov 22. PMID: 29080812. PubMed
- Ralston SH. Pathogenesis of Paget's disease of bone. Bone. 2008;43(5):819–825. PMID: 18672105. PubMed
- Cundy T. Paget's disease of bone. Metabolism. 2018;80:5–14. PMID: 28780255. PubMed
- Vallet M, Ralston SH. Biology and treatment of Paget's disease of bone. J Cell Biochem. 2016;117(2):289–299. PMID: 26212817. PubMed
- Ralston SH. Clinical practice. Paget's disease of bone. N Engl J Med. 2013;368(7):644–650.
- Tan A, Ralston SH. Clinical presentation of Paget's disease: evaluation of a contemporary cohort and systematic review. Calcif Tissue Int. 2014;95(5):385–392. PMID: 25160936. PubMed
- Parvizi J, Restrepo C, Sim FH. Paget's disease of the hip: surgical management. Future Rheumatology 2006;1:373-377. PubMed
- Ralston SH, Corral-Gudino L, Cooper C, et al. Diagnosis and management of Paget's disease of bone in adults: a clinical guideline. J Bone Miner Res. 2019;34(4):579–604. PMID: 30803025. PubMed
- Rosen CJ, Brown S. Severe hypocalcemia after intravenous bisphosphonate therapy in occult vitamin D deficiency. N Engl J Med 2003; 348: 1503-4. New England Journal of Medicine
- Singer F, Bone HG, Hosking DJ et al. Paget's disease of bone: an endocrine society clinical practice guideline. J Clin Endocrinol Metab 2014; 99: 4408–22.
- Corral-Gudino L, Tan AJ, Del Pino-Montes J, et al. Bisphosphonates for Paget's disease of bone in adults. Cochrane Database Syst Rev. 2017;(12):CD004956. Cochrane (DOI)
- Bolland MJ, Avenell A, Baron JA, et al. Effect of calcium supplements on risk of myocardial infarction and cardiovascular events: meta-analysis. BMJ 2010;341:c3691. BMJ (DOI)
- Wermers RA, Tiegs RD, Atkinson EJ, et al. Morbidity and mortality associated with Paget's disease of bone: a population-based study. J Bone Miner Res. 2008;23(6):819–825. PMID: 18269308. PubMed