Myelomatose
Myelomatose er en kreftform kjennetegnet av ukontrollert vekst i en bestemt gruppe av beinmargens celler, de såkalte plasmacellene.

Sist oppdatert:
14. okt. 2024
Hva er myelomatose?
Myelomatose eller multiple myelomer er en kreftform kjennetegnet av ukontrollert vekst i en bestemt gruppe av beinmargens celler, plasmacellene.
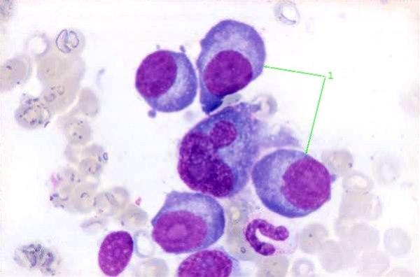
Plasmaceller ved myelomatosePasienter med denne sykdommen har ofte en periode uten symptomer hvor sykdommen kun vises i blodprøver. Etter hvert utvikles symptomer:
- Anemi (lav blodprosent), som kan gi tretthet, svimmelhet, nedsatt fysisk yteevne, hjertebank, tungpust, hodepine, øresus.
- Nedsatt immunforsvar og hyppige infeksjoner - slapphet, feber, hodepine, frysninger.
- Kreftspredning - smerter og brudd i skjelettet på grunn av ansamling av kreftceller som svekker skjelettet.
Andre symptomer kan skyldes sviktende produksjon av blodplater i beinmargen med blødninger i huden og fra slimhinner. Nyresvikt som kan gi kvalme, tørste, slapphet, kløe og vannansamling i kroppen.
Sykdommen opptrer sjelden hos mennesker under 40 år. Gjennomsnittsalder når diagnosen stilles, er ca. 68 år. Årlig oppdages cirka åtte til ni nye pasienter med myelomatose per 100.000 personer i Norge.
Årsaker
Årsakene til sykdommen er ukjent. Det oppstår en genfeil i en av morcellene (stamcelle) til plasmacellene i beinmargen. Normalt produserer plasmaceller mange ulike antistoffer - som klassifiseres som immunglobuliner. Antistoffene er viktig for å beskytte oss mot infeksjoner. Ved myelomatose blir det en kraftig overproduksjon av en bestemt type antistoffer, og produksjonen av andre typer fortrenges eller undertrykkes. Samtidig undertrykkes også produksjonen av røde blodceller, blodplater, og hvite blodceller. Redusert produksjon av vanlige hvite blodceller fører til svekket motstandskraft mot infeksjoner.
Sykdommen medfører at beinvev ødelegges, det oppstår flekkvise forandringer blant annet i ryggen. Disse skadene i beinvevet kan medføre skjelettsmerter og uvanlige beinbrudd. I ryggen kan slike beinbrudd skade ryggmargen.
Diagnosen
Symptomene gir mistanke om sykdommen, men de er ikke tilstrekkelige til å stille diagnosen. Ved legeundersøkelse kan det gjøres funn som styrker mistanken om sykdommen:
- Blek hud og hudblødninger på grunn av anemi og lavt antall blodplater.
- Tendens til gjentatte og langvarige infeksjonssykdommer (eks. lungebetennelser, hudinfeksjoner) på grunn av feilproduksjon av antistoffer og for lite hvite blodlegemer.
- Ømhet eller smerter i bein/knokler, eventuelt beinbrudd uten skade, eller etter uvanlig milde skader.
- Man kan også få væskeopphopning (ødem) i kroppen på grunn av sviktende nyrefunksjon. Det kan oppstå skader i nerver som fører til endret følsomhet i deler av kroppen.
- Det er økt risiko for blodpropp.
Ved analyse av såkalte immunantistoffer i blodet ser man ved myelomatose at en undergruppe av antistoffene finnes i svært høy konsentrasjon - dette kalles en M-komponent. Lignende funn kan også påvises i urin (Bence-Jones proteiner). I tillegg kan det ofte påvises forandringer i skjelettet ved bildeundersøkelser.
Mistenkelige undersøkelsesfunn, sammen med symptomer som beskrevet, kan gi sterk mistanke om sykdommen. For å få bekreftet diagnosen må pasienten henvises til spesialavdeling for beinmargsundersøkelse eller eventuelt annen aktuell vevsprøve. Denne undersøkelsen er også viktig for å kartlegge omfanget og alvorlighetsgrad av sykdommen, samt for valg av behandling.
Vanlige blodprøver vil ofte vise lav blodprosent og høy senkning. Under utredningen på sykehus blir det utført en rekke mer avanserte tester av blod og beinmarg. Det vil også bli tatt CT- eller røntgenundersøkelse, eventuelt MR.
Behandling
Hensikten med behandlingen er å lindre eventuelle symptomer, samt å forlenge overlevelsen. Det er ikke mulig å kurere lidelsen, men overlevelsestiden har økt med moderne behandling. Behandlingen styres av leger ved spesialavdelinger i sykehus. Den består av cellegiftbehandling (kjemoterapi), eventuelt immunbehandling, stamcellestøtte og i noen tilfeller strålebehandling.
Hos pasienter som er under cirka 70 år når diagnosen stilles, er høydose cellegiftbehandling etterfulgt av autolog stamcellestøtte (HMAS) den foretrukne behandlingen. Det betyr at man først gir noen omganger med cellegift, deretter tapper blod og lagrer stamceller fra pasienten. Etterpå gis store doser cellegift for å slå beinmargen fullstendig ut, før de lagrede stamcellene sprøytes tilbake i kroppen.
HMAS kan ha betydelige bivirkninger og effekten blir mindre med økende alder. Hos eldre pasienter (> cirka 70 år), eller pasienter som av ulike grunner ikke tåler HMAS, finnes det flere ulike cellegiftkurer og immunbehandling som kan holde sykdommen i sjakk, og fører til betydelig forlenget levetid sammenlignet med ingen behandling.
Allogen stamcelletransplantasjon (overføring av stamceller fra giver) benyttes i liten grad ved myelomatose. Det er usikkerhet om mulighetene for effekt er større enn risikoen ved en slik behandling. Slik behandling blir derfor stort sett bare gitt i forbindelse med forskning.
Strålebehandling kan brukes ved enkeltstående svulster (solitært plasmacytom). Stråling benyttes også for å dempe smerter og stanse svulstvekst dersom svulsten trykker mot ryggmarg eller nervetråder.
Bisfosfonater en medikamentgruppe som brukes til å forebygge og behandle beinskjørhet (osteoporose). Det har vist seg at bisfosfonater reduserer forekomsten av unormale beinbrudd og beinsmerter. Alle pasienter med myelomatose vurderes for behandling med bisfosfonater for å forebygge komplikasjoner.
Prognose
Selv om sykdommen ikke kan helbredes, kan behandlingen bremse sykdomsutviklingen og øke overlevelsen. Pasienter under 50 år overlever i gjennomsnitt lenger enn eldre pasienter med sykdommen. Det er registrert en tydelig bedring i overlevelse i løpet av de siste tiårene på grunn av nye behandlingsmetoder, og stadig ny utvikling av mer effektive medikamenter.
For å vurdere prognose inndeler man i tre ulike prognose-grupper basert på faktorer i blod og genforandringer i blodceller. Fem års overlevelse i prognosegruppe I er 82%, i prognosegruppe II 62% og i prognosegruppe III 40%
Å leve med myelomatose
Tilstanden er alvorlig og uhelbredelig. Dette er i seg selv en stor belastning for de fleste. Erfaringen er at dialog og åpenhet omkring dette er nyttig.
Det anbefales et opplegg med regelmessige kontroller. Noen får smerteplager fra svulstvev i beinmarg og skjelett. Dette kan lindres med medisiner eller med stråling. Det finnes også lindrende behandling for blodmangel og blødninger, og både smerter og kvalme kan lindres med medisiner. Immunapparatet er svekket på grunn av sykdommen og på grunn av behandlingen. Vaksineanbefalingene for slike pasientgrupper bør følges. Spør gjerne legen din hvis du er usikker. En bør ha lav terskel for å søke hjelp ved tegn på infeksjonssykdom.
Dette dokumentet er basert på det profesjonelle dokumentet Myelomatose . Referanselisten for dette dokumentet vises nedenfor
- Cowan AJ, Green DJ, Kwok M, Lee S, Coffey DG, Holmberg LA, Tuazon S, Gopal AK, Libby EN. Diagnosis and Management of Multiple Myeloma: A Review. JAMA. 2022 Feb 1;327(5):464-477. PMID: 35103762. PubMed
- Kreftregisteret. Nasjonalt kvalitetsregister for Lymfoide maligniteter. Årsrapport 2023. Resultater og forbedringstiltak. www.kreftregisteret.no
- Zhou L, Yu Q, Wei G, Wang L, Huang Y, Hu K, Hu Y, Huang H. Measuring the global, regional, and national burden of multiple myeloma from 1990 to 2019. BMC Cancer. 2021 May 25;21(1):606. PMID: 34034700 PubMed
- Kyle RA, Larson DR, Therneau TM, et al. Long-term follow-up of monoclonal gammopathy of undertemined significance. N Engl J Med 2018; 378: 241-9. pmid:29342381 PubMed
- Zhou L, Yu Q, Wei G, Wang L, Huang Y, Hu K, Hu Y, Huang H. Measuring the global, regional, and national burden of multiple myeloma from 1990 to 2019. BMC Cancer. 2021 May 25;21(1):606. PMID: 34034700 PubMed
- Rajkumar SV, Dimopoulos MA, Palumbo A, Blade J, et al.International Myeloma Working Group updated criteria for the diagnosis of multiple myeloma. Lancet Oncol 2014;15:e538-48. Pmid: 25439696 PubMed
- Fernández de Larrea C, Kyle R, Rosiñol L, Paiva B, Engelhardt M, Usmani S, Caers J, Gonsalves W, Schjesvold F, Merlini G, Lentzch S, Ocio E, Garderet L, Moreau P, Sonneveld P, Badros A, Gahrton G, Goldschmidt H, Tuchman S, Einsele H, Durie B, Wirk B, Musto P, Hayden P, Kaiser M, Miguel JS, Bladé J, Rajkumar SV, Mateos MV. Primary plasma cell leukemia: consensus definition by the International Myeloma Working Group according to peripheral blood plasma cell percentage. Blood Cancer J. 2021 Dec 2;11(12):192. PMID: 34857730 PubMed
- Helsedirektoratet. Nasjonalt handlingsprogram med retningslinjer for diagnostikk, behandling og oppfølging av maligne blodsykdommer, sist oppdatert 1.11.2024 (lest 20.11.2024). www.helsedirektoratet.no
- Kyle RA, Gertz MA, Witzig TE, Lust JA, Lacy MQ, Dispenzieri A, Fonseca R, Rajkumar SV, Offord JR, Larson DR, Plevak ME, Therneau TM, Greipp PR. Review of 1027 patients with newly diagnosed multiple myeloma. Mayo Clin Proc. 2003 Jan;78(1):21-33. PMID: 12528874. PubMed
- Freifeld AG, Bow EJ, Sepkowitz KA, Boeckh MJ, Ito JI, Mullen CA, Raad II, Rolston KV, Young JA, Wingard JR; Infectious Diseases Society of America. Clinical practice guideline for the use of antimicrobial agents in neutropenic patients with cancer: 2010 update by the infectious diseases society of america. Clin Infect Dis. 2011 Feb 15;52(4):e56-93. PMID: 21258094. PubMed
- Wendelbo, Øystein. Akutt nøytropeni. Metodebok for Akutt indremedisin (eMetodebok.no) metodebok.no
- Terpos E, Zamagni E, Lentzsch S, Drake MT, García-Sanz R, Abildgaard N, Ntanasis-Stathopoulos I, Schjesvold F, de la Rubia J, Kyriakou C, Hillengass J, Zweegman S, Cavo M, Moreau P, San-Miguel J, Dimopoulos MA, Munshi N, Durie BGM, Raje N; Bone Working Group of the International Myeloma Working Group. Treatment of multiple myeloma-related bone disease: recommendations from the Bone Working Group of the International Myeloma Working Group. Lancet Oncol. 2021 Mar;22(3):e119-e130. PMID: 33545067. PubMed
- Richardson PG, Delforge M, Beksac M, Wen P, Jongen JL, Sezer O, Terpos E, Munshi N, Palumbo A, Rajkumar SV, Harousseau JL, Moreau P, Avet-Loiseau H, Lee JH, Cavo M, Merlini G, Voorhees P, Chng WJ, Mazumder A, Usmani S, Einsele H, Comenzo R, Orlowski R, Vesole D, Lahuerta JJ, Niesvizky R, Siegel D, Mateos MV, Dimopoulos M, Lonial S, Jagannath S, Bladé J, Miguel JS, Morgan G, Anderson KC, Durie BG, Sonneveld P. Management of treatment-emergent peripheral neuropathy in multiple myeloma. Leukemia. 2012 Apr;26(4):595-608. PMID: 22193964. PubMed