Ankelartrose
Slitasje i et ankelledd kan oppstår som følge av tidligere skade, sykdom eller langvarig belastning. Tilstanden behandles vanligvis med justering av skotøy, øvelser, smertestillende medisiner. De færreste trenger operasjon.

Sist oppdatert:
25. mars 2025
Hva er ankelartrose?
1. Os calcaneus (hælbenet) 2. Os cuboideum (terningbenet) 3. Os cuneiforme laterale (laterale kileben) 4. Os cuneiforme mediale (mediale kileben) 5. Os naviculare (båtbenet) 6. Os talus (ankelbenet) 7. Os fibula (det lille leggbenet) 8. Os tibia (skinnebenet)Ankelartrose er betegnelse på slitasjeforandringer (artrose) i ankelleddet. Slike forandringer er vanligvis bare lokalisert til den ene foten. Ankelleddet består av beinflater som er dekket med et lag brusk. Ved begynnende slitasje er det brusken som først blir slitt. Med tiden kan brusken bli så nedslitt at bein gnisser mot bein. Det kan også dannes ujevnheter og forkalkninger i leddet. Dette medfører at det ikke lenger er glatte leddflater som glir mot hverandre, og da blir bevegelsene i leddet smertefulle.
Ankelartrose er ikke så hyppig som artrose i hofte- og kneledd. Slitasjetilstander vil alltid øke med alderen, men når det gjelder artrose i ankelen har som regel en dårlig leget tidligere skade medvirket til slitasjen.
Årsaker
Ankelartrose, skrå frontSkade eller sykdom i leddet disponerer for utvikling av artrose. Dette kan for eksempel være ankelbrudd eller kraftig overtråkk som ikke er tilstrekkelig tilhelet. Overvekt gir også større slitasje, og disponerer for artrose. Ellers vil arbeid eller aktivitet som innebærer ekstra belastninger på bena gjennom et langt liv øke risikoen for slitasje/artrose.
Symptomer

De vanlige symptomene er smerter og stivhet i ankelleddet. Til å begynne med er smertene hovedsakelig til stede i startfasen av fysisk aktivitet og bedrer seg når man har vært i aktivitet og fått "varmet opp" leddet. Senere vil tilstanden ofte utvikles slik at smertene er til stede ved all belastning, og til slutt vil man også kunne være plaget med smerter i hvile. Det er typisk at plagene er mest uttalt ved gange på hardt underlag.
Ankelen kan være opphovnet, og bevegeligheten blir etter hvert nedsatt. Gangfunksjonen kan forstyrres både av smerter og nedsatt bevegelighet.
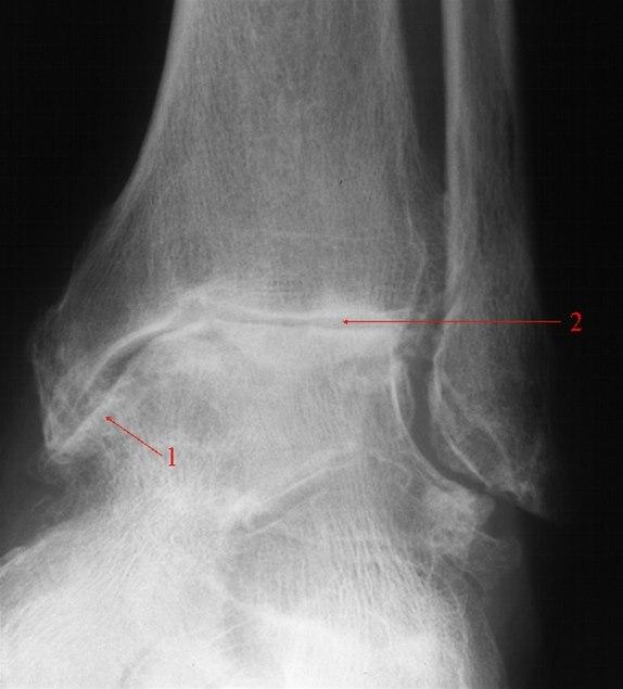
Diagnosen
Forkalkninger og redusert leddspalte.Plagene er typiske. Kombinert med vanlig legeundersøkelse av ankelen kan diagnosen være sannsynlig uten andre undersøkelser. Sikker diagnose fås ved røntgenundersøkelse som viser nedslitt brusk og eventuelt forandringer i selve beinstrukturen.
Behandling
Sko med god støtdemping og oppbygging under hælen kan være nyttig. Det kan dempe plagene og muligens bidra til å bremse den videre utviklingen. Videre gjelder det å unngå overbelastninger, samtidig som en viss fysisk aktivitet bør opprettholdes for å unngå at leddet mister bevegelighet og stivner. Dersom du har et yrke som medfører særlige belastninger på anklene, kan det være nødvendig med omskolering eller skifte av arbeidsplass.
Medikamentell behandling i form av smertestillende og såkalte NSAIDs kan gi lindrende hjelp. Som regel vil det bare være behov for medisiner i korte perioder, f.eks. etter belastninger.
I uttalte tilfeller kan operasjon komme på tale. Dette gjelder spesielt dersom du har smerter også i hvile. Flere typer inngrep kan være aktuelle. I forbindelse med artroskopi kan ortopeden fjerne små beinutvekster som skaper ubehag. Et mer drastisk inngrep er å stive av leddet, utføre artrodese. Dette fører til smertefrihet, men gangfunksjonen blir betydelig redusert. Etter en slik operasjon må pasienten benytte spesiallaget fottøy for å oppveie noe av den nedsatte bevegeligheten i leddet.
Ankelprotesekirurgi har i flere tiår vært ansett som eksperimentell behandling hos artrosepasienter, men nyere proteser tilbys nå utvalgte pasienter. Et spesielt problem er den relativt høye risikoen for at protesekomponentene skal løsne, og holdbarheten er fortsatt ikke på nivå med for eksempel hofte- og kneproteser.
Prognose
Tilstanden vil ofte forverre seg gradvis. Men utviklingen av ankelartrose kan bremses hvis tiltak settes inn på riktig tidspunkt. Bare et fåtall av tilfellene utvikler seg så langt at operasjon er nødvendig.
Dette dokumentet er basert på det profesjonelle dokumentet Artrose, ankel . Referanselisten for dette dokumentet vises nedenfor
- Khlopas H, Khlopas A, Samuel LT, et al. Current Concepts in Osteoarthritis of the Ankle: Review. Surg Technol Int. 2019;35:280-294. PubMed
- Herrera-Pérez M, González-Martín D, Vallejo-Márquez M, et al. Ankle Osteoarthritis Aetiology. J Clin Med. 2021 Sep 29;10(19):4489. PMID: 34640504. PubMed
- National Institute for Health and Care Excellence (NICE), UK. Osteoarthritis in over 16s: diagnosis and management. NICE guideline [NG 226], published: 19 October 2022 www.nice.org.uk
- Recht MP, Goodwin DW, Winalski CS, White LM. MRI of articular cartilage: revisiting current status and future directions. AJR Am J Roentgenol. 2005 Oct. 185(4):899-914.
- Anastasio AT, Lau B, Adams S. Ankle Osteoarthritis. J Am Acad Orthop Surg. 2024 Aug 15;32(16):738-746. PMID: 38810230. PubMed
- Paterson KL, Gates L. Clinical Assessment and Management of Foot and Ankle Osteoarthritis: A Review of Current Evidence and Focus on Pharmacological Treatment. Drugs Aging. 2019;36(3):203-211. PubMed
- Paget LDA, Reurink G, de Vos R-J, et al. Effect of Platelet-Rich Plasma Injections vs Placebo on Ankle Symptoms and Function in Patients With Ankle Osteoarthritis A Randomized Clinical Trial. JAMA 2021; 326: 1595-605. pmid:34698782 PubMed
- Paget LDA, Reurink G, de Vos RJ, et al. Platelet-Rich Plasma Injections for the Treatment of Ankle Osteoarthritis. Am J Sports Med. 2023 PMID: 37417359 PubMed
- Boffa A, Previtali D, Di Laura Frattura G, et al. Evidence on ankle injections for osteochondral lesions and osteoarthritis: a systematic review and meta-analysis. Int Orthop. 2021 Feb;45(2):509-523. PMID: 32647968. PubMed
- Jeyaseelan L, Si-Hyeong Park S, Al-Rumaih H, et al. Outcomes Following Total Ankle Arthroplasty: A Review of the Registry Data and Current Literature. Orthop Clin North Am 2019;50: 539-548. PubMed
- Rapport National Joint Registry, UK, 2024. Nettsiden besøkt 25.03.25. reports.njrcentre.org.uk
- Glazebrook M, Balasubramaniam U, Walls A, et al. Outcomes of Total Ankle Replacement Versus Ankle Arthrodesis for the Treatment of End-Stage Ankle Arthritis: A Concise Follow-up, at a Minimum of 10 Years, of a Previous Report. J Bone Joint Surg Am. 2025 Mar 19;107(6):552-557. PMID: 39715299. PubMed
- DeGroot H 3rd, Uzunishvili S, Weir R, et al. Intra-articular injection of hyaluronic acid is not superior to saline solution injection for ankle arthritis. J Bone Joint Surg Am 2012; 94: 2-8. PubMed