Ankelbrudd
Den vanligste skademekanismen er inversjon, det vil si en kombinert bevegelse hvor en lander etter løp eller hopp med foten nedoverbøyd og hvor foten vris innover (supineres og innadroteres).

Sist oppdatert:
23. sep. 2025
Ankelen
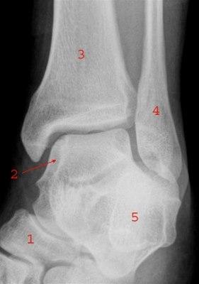
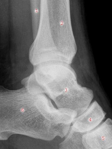
Ankelleddene er meget utsatte for skader fordi de er ganske bevegelige og belastes med hele kroppens tyngde. Det skilles et øvre og et nedre ankelledd. Det øvre ankelleddet utgjøres av tre ben: de nedre delene av skinnebenet (tibia) og leggbeinet (fibula), og ankelbeinet (talus). Det nedre ankelleddet dannes av tre ben: hælbeinet (calcaneus), ankelbeinet (talus) og båtbenet (os naviculare). Det er det øvre ankelleddet som denne artikkelen handler om. Leddet stabiliseres av ankelgaffelens form og leddbånd på innsiden (medialt), utsiden (lateralt) og mellom de to leggbeina (syndesmosen - et bånd som binder sammen de to beina). Se illustrasjon av ankelleddet nedenfor sett bakfra og fra siden, og røntgenbilde tatt skrått bakfra og fra siden.




Hovedbevegelsen i det øvre ankelleddet er bøyning oppover og strekking nedover. Vridningsbevegelser utover (pronasjon) og innover (supinasjon) foregår i det nedre ankelleddet.
Ankelbrudd utgjør i underkant av 15 prosent av alle ankelskader. Brudd i ankelkulene (malleolene) opptrer hyppigst i ankelkulen på utsiden. Ankelbrudd er vanligst blant yngre voksne og eldre personer.
Skadetyper
Det skilles mellom tre hovedtyper av brudd når den ytre ankelkulen er rammet - Weber A, B og C. Vurderingen tar utgangspunkt i nivået for bruddet på fibula. Jo høyere oppe på leggen fibulabruddet er, jo større sjanse for syndesmoseskade og ustabilt ankelledd.
Type A brudd er brudd i fibula nedenfor syndesmosen. Ved denne typen brudd er båndet (syndesmosen) mellom tibia og fibula sjelden revet opp. Skademekanismen er oftest at man har vridd foten innover (supinasjon eller inversjon). Skaden kan være et isolert brudd i fibula, eller samtidig brudd i nedre deler av tibia.
Type B brudd er brudd i fibula i nivå med syndesmosen. De fremre syndesmosebåndene kan være skadet. Skademekanismen er oftest utadrotasjon av foten. Skaden kan være isolert brudd av fibula i syndesmosenivå, eller tillegg av brudd i nedre deler av tibia og/eller avrivning av leddbånd på innsiden av ankelen.
Type C brudd er brudd av fibula ovenfor syndesmosen. Skademekanisme kan være utover-vridning (pronasjon, eversjon) av foten eller direkte slag mot beinet. Syndesmosen er alltid røket dersom mekanismen er pronasjon av foten. Skaden kan være et isolert skaftbrudd av fibula ovenfor syndesmosen, eller et komplisert brudd av fibula overfor syndesmosen, eller et brudd høyt oppe på fibula.
Skademekanisme
Den vanligste skademekanismen, som forårsaker mesteparten av alle ankelskader, er inversjon, dvs. en kombinert bevegelse hvor vedkommende lander etter løp eller hopp med foten nedoverbøyd og hvor foten supineres og innadroteres. Den motsatte bevegelsen, eversjon, består i samtidig pronasjon, utadrotasjon og oppoverbøyd fot.
Ankelen er mye mer stabil og motstandsdyktig mot eversjonsskader enn inversjonsskader. Dog kan det ved en eversjonsskade oppstå betydelig skade på ben og leddbånd.
Diagnosen
Ofte dreier det seg om en vridningsskade. For legen kan det være nyttig å få beskrevet nøyaktig hvordan skaden skjedde og fotens posisjon. Etter skaden oppstår raskt smerter, hevelse og nedsatt funksjon.
Tegn på brudd er feilstilling, hevelse, trykkømhet over bein, hudblødning og at pasienten ikke klarer å trå på foten. Legen prøver å vurdere bevegeligheten i ankelleddet, men dette kan være vanskelig å gjennomføre på grunn av smerter. Legen må også vurdere kneledd og fot, og det må kontrolleres at det ikke foreligger tegn til skader på nerver eller blodårer.
Ved mistanke om brudd tas røntgenbilder av ankelen eller/og foten i ulike retninger. Ved behov vil det bli tatt bilde av fibula i hele sin lengde. Ofte foreligger flere brudd eller skader. Noen ganger er det nødvendig å ta CT for å klargjøre omfanget av brudd, særlig ved brudd i selve leddet.
Behandling
Målet med behandlingen er å oppnå tilheling av skaden slik at normal funksjon gjenvinnes. Det er viktig at behandlingen starter så tidlig som mulig (jfr. førstehjelp), både for å forebygge komplikasjoner og for å sikre rask reparasjon. Behandling av ankelbrudd kan være komplisert og kreve operasjon, men skaden kan også ofte behandles konservativt.
Førstehjelp
Nedkjøling, hevet fot, kompresjon og ro er viktige umiddelbare tiltak. Det gis smertestillende legemiddel, og man kontrollerer at det ikke er skade på nerver og sirkulasjon. Bruddet stabiliseres, og man forsøker å immobilisere ankelen i en så nøytral posisjon som mulig. Eventuelt åpent brudd dekkes med steril bandasje. Foten, ankelen og leggen beskyttes og immobiliseres med en polstret skinne.
Konservativ behandling
Stabile brudd der syndesmosen er stabil og bruddet/bruddene står i god stilling, behandles konservativt. Brudd høyt oppe på fibula, ovenfor syndesmosen, kan også behandles konservativt dersom det skyldes en direkte skade mot beinet i dette nivået, at syndesmosen er stabil og det ellers ikke foreligger større forskyvninger.
Stabilt, ikke-forskjøvet brudd i malleol, immobiliseres med støvelgips fra kne til tær, 90° i ankelen, i 6 uker. Kontroll utføres med røntgen, ofte allerede etter 1-2 uker og hos alle omtrent 6 uker etter skaden. Ofte vil legen eller fysioterapeuten anbefale enkle øvelser uten vektbelastning allerede kort tid etter skaden. Type og omfang av øvelser vil avhenge av type skade og helsepersonellets helhetlige vurdering. Etter hvert eventuell overgang til fotavvikling med benets vekt. Senest når gipsen er fjernet, vil behandleren tillate forsiktige øvelser med noe vektbelastning, etter hvert i gradvis økende grad.
Operativ behandling

Fibulabrudd med større forskyvninger (se røntgenbilde), brudd i begge ankelkulene (bimalleolære brudd) der minst en av dem er forskjøvet, revner i syndesmosen, høye fibulabrudd (hvis det ikke skyldes direkte slag) - er alle bruddtyper som krever operasjon.
Om mulig forsøker man å operere innen 6-8 timer. Dersom det har gått for lang tid og hevelsen er for stor, settes bruddet på plass og man anlegger en gipsstøtte eller stabiliserer bruddet utenfra med stålpinner. Operasjonen utsettes da til hevelsen har gått ned, som regel etter 4-7 dager. Brudd i den utvendige (laterale) malleolen festes gjerne med skrue(r) og/eller støtteplate. Brudd i den innvendige (mediale) malleolen festes vanligvis med skrue(r), pinner eller ståltråd (cerclage). Avrevet syndesmose festes med skrue(r) som settes fra fibula inn i tibia.
Etter operasjon behandles med immobilisering i minst 6 uker, enkle bevegelser og gradvis opptrening som ved konservativ behandling.
Komplikasjoner
Ved brudd med store forskyvninger er det fare for skade på huden (nekrose). Kraftig hevelse og høyt innvendig trykk kan hindre blodtilførselen og skade muskler og sener (kompartmentsyndrom). Det er risiko for infeksjon, som øker etter operasjoner og ved åpne brudd. Stivkrampe er en sjelden, men alvorlig sårinfeksjon. Denne kan forebygges gjennom barne- og voksenvaksinasjonsprogrammet. Ved utilstrekkelig vaksinasjon anbefales det forebyggende behandling rett etter skaden etter gjeldende retningslinjer. Dannelse av blodpropp (trombose) forekommer, men kan forebygges til en viss grad. Risikoen for dårlig tilheling av brudd og hudsår er økt hos personer med dårlig regulert diabetes og hos røykere.
Dårlig tilheling av brudd og infeksjoner kan medføre langvarige smerter, nedsatt funksjon og stivhet i leddet. Mekanisk irritasjon kan skyldes gnidningsmotstand mellom innsatte skruer, plater og muskel-/senevev. Det kan være nødvendig med ny operasjon. Følsomheten på huden over operasjonsområdet vil være nedsatt. Noen ganger forekommer det betennelse i leddet som følge av skaden (traumatisk artritt). Artrose som langtidskomplikasjon oppstår hos omtrent én av ti personer etter ankelbrudd.
Prognose
Prognosen er god forutsatt korrekt skade-diagnose og korrekt behandling. Kompliserte åpne brudd med betydelige bløtdelsskader har dårligere prognose. Isolerte, ikke-forskjøvne laterale malleolbrudd, som er det vanligste ankelbruddet, har god prognose og tilheler utmerket. Riktig etterlevelse av anbefalt behandling og -opptrening reduserer risikoen for senere plager.
Vil du vite mer
Dette dokumentet er basert på det profesjonelle dokumentet Ankelbrudd . Referanselisten for dette dokumentet vises nedenfor
- Ternes S, Ateschrang A. Frakturen des oberen Sprunggelenkes Anfängeroperation oder doch Komplexeingriff? OUP 2023; 12: 72-7. www.online-oup.de
- Goost H, Wimmer MD, Barg A, et al. Fractures of the ankle joint–investigation and treatment options. Deutsches Ärzteblatt 2014; 111: 377-88. www.aerzteblatt.de
- Yilmaz SY, Arslan ED, Ozkan S, et al. Accuracy of Ottawa ankle rules for midfoot and ankle injuries. Acta Biomed 2021; 92(4): e2021241. pmc.ncbi.nlm.nih.gov
- Bachmann LM, Kolb E, Koller MT, Steurer J, ter Riet G. Accuracy of Ottawa ankle rules to exclude fractures of the ankle and mid-foot: systematic review. BMJ. 2003 Feb 22;326(7386):417. doi: 10.1136/bmj.326.7386.417. PMID: 12595378 PubMed
- Stiell IG, Greenberg GH, McKnight RD, et al. A study to develop clinical decision rules for the use of radiography in acute ankle injuries. Ann Emerg Med 1992; 21: 384-90. pmid:1554175 PubMed
- Gomes YE, Chau M, Banwell HA, Causby RS. Diagnostic accuracy of the Ottawa ankle rule to exclude fractures in acute ankle injuries in adults: a systematic review and meta-analysis. BMC Musculoskelet Disord. 2022 Sep 23;23(1):885. doi: 10.1186/s12891-022-05831-7. PMID: 36151550 PubMed
- Pilskog K, Arnason O. Ankel - Ankelfraktur. Metodebok i ortopedisk kirurgi (HUS). Sist oppdatert 01.06.2024. metodebok.no
- Schöll E. Sonographisches Management und Dokumentation einer Weber A-Fraktur. Ultraschall Med 2023; 44: 61. www.thieme-connect.com
- Smeeing DP, Houwert RM, Briet JP, Kelder JC, Segers MJ, Verleisdonk EJ, Leenen LP, Hietbrink F, Weight-bearing and mobilization in the postoperative care of ankle fractures: a systematic review and meta-analysis of randomized controlled trials and cohort studies. PLoS One 2015;10(2): e0118320. PMID: 25695796. PubMed
- Moseley A, Beckenkamp PR, Haas M, et al. Rehabilitation after immobilization for ankle fracture. The EXACT randomized clinical trial. JAMA 2015; 314: 1376-85. doi:10.1001/jama.2015.12180 DOI
- Grindheim T. Ankelfrakturer - generelt (FYSIO). Skadepoliklinikken, fysioterapi. Sist oppdatert 02.08.2024. metodebok.no
- Lin CW, Donkers NA, Refshauge KM, et al. Rehabilitation for ankle fractures in adults. Cochrane Database Syst Rev 2012 Nov 14; 11: CD005595. Cochrane (DOI)
- Polzer H, Rammelt S. Frakturen des Sprunggelenkes. Unfallchirurg 2021; 124: 173-4. link.springer.com