Hjernesvinn
Hjernesvinn medfører tap av hjerneceller og nervetråder. Det kan være et generelt svinn, eller det kan være lokalisert. Generelt svinn kan føre til mental svekkelse og forstyrrelser av aktiviteter som styres av vår vilje.

Sist oppdatert:
8. nov. 2022
Hva er hjernesvinn?

Hjernesvinn eller hjerneatrofi er et vanlig trekk ved mange av sykdommene som rammer hjernen. Atrofi av vev, uansett lokalisasjon, betyr tap av celler. I hjernevevet betyr atrofi tap av nerveceller (nevroner) og forbindelsene mellom dem (nervetrådene, aksoner). Atrofien kan være generell og utbredt, hvilket betyr at hele hjernen har skrumpet, eller den kan være avgrenset (fokal) og rammer bare et mindre område av hjernen. Ved et generelt hjernesvinn vil således mange hjernefunksjoner svekkes, mens fokalt hjernesvinn medfører tap av funksjoner som kontrolleres fra dette området av hjernen. Generelt hjernesvinn der begge hjernehalvdelene er skrumpet, kan føre til mental svekkelse og forstyrrelser av aktiviteter som styres av vår vilje.
Underliggende sykdommer
Mønsteret og hastigheten som hjernesvinnet utvikler seg med, avhenger av den underliggende sykdommen. Sykdommer som forårsaker hjernesvinn, innbefatter:
- Hjerneslag og hjerneskader
- Demenssykdommer som Alzheimers sykdom, Picks sykdom, senil demens, fronto-temporal demens og vaskulær demens
- Cerebral parese der de skadete områdene forstyrrer samordningen av bevegelser (motorikk)
- Huntingtons sykdom og andre arvelige sykdommer som forårsaker opphopning av giftige (hjerneskadelige) proteiner i nervecellene
- Multippel sklerose (MS) som forårsaker betennelse, myelinskade og skader på hjernevevet
- Infeksjoner som encefalitt, nevrosyfilis og aids, der bakterien eller viruset eller betennelsesreaksjonen som utløses, ødelegger nerveceller og deres nervetråder
- Epilepsi der skadene utløser unormale elektrokjemiske signaler i hjernen som forårsaker kramper
- Leukodystrofier, sjeldne arvelige sykdommer som Krabbes sykdom , som ødelegger fetthylsteret (myelinskjeden) som beskytter nervetrådene
- Mitokondriale encefalomyopatier, sjeldne sykdommer som Kearns-Sayres syndrom , som forstyrrer grunnleggende funksjoner til nervecellene
Symptomer
Mange av sykdommene som forårsaker hjernesvinn, er forbundet med demens, kramper og en gruppe språkforstyrrelser som kalles afasier.

Demens er karakterisert ved stadig dårligere hukommelse og tap av intellektuelle funksjoner som etter hvert blir så uttalte at det går ut over sosial funksjon og arbeidsdyktighet. Evnen til å være orientert, til å tenke abstrakt, til å lære, til å oppfatte, samt evnen til å utføre mer sammensatte funksjoner som å planlegge, organisere, strukturere vil også bli forstyrret.
Kramper kan anta ulike former som at vedkommende brått blir desorientert, utfører merkelige gjentatte bevegelser, blir bevisstløs eller får ordinære kramper.
Afasier er en gruppe forstyrrelser karakterisert ved forstyrrelser i talen og forståelsen av språket. Ekspressiv (utgående) afasi arter seg som manglende evne til å uttrykke seg, valg av merkelige ord, bruk av fraser og ufullstendige setninger. Sensorisk (inngående) afasi innebærer manglende evne til å oppfatte.
Diagnosen
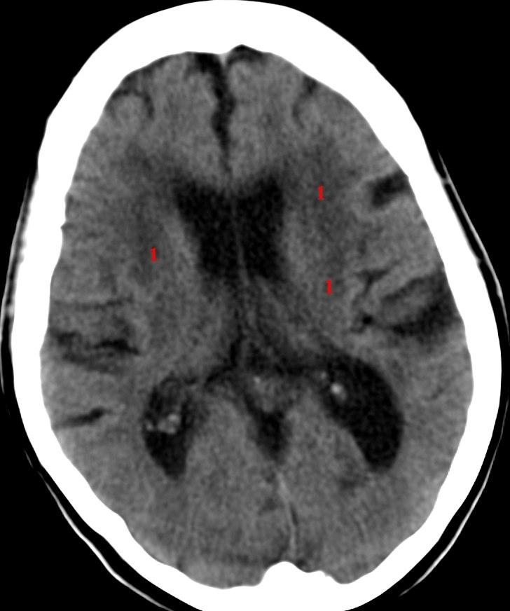
Sykehistorien og eventuelle funn ved legeundersøkelsen vil gi mistanke om at noe er galt i hjernen. CT av hjernen vil i første omgang være den avgjørende undersøkelsen for å avdekke eventuell hjerneskade eller hjernesvinn. Ved behov for mer detaljert diagnostikk kan MR av hjernen bli aktuelt. Andre tilleggsundersøkelser kan være blodprøver, nevropsykologiske tester, EEG, lumbalpunksjon, CT-PET.
Prognosen
Prognosen avhenger av den underliggende sykdommen. Men felles for disse hjernesvinn-sykdommene er at forandringene og funksjonsforstyrrelsene er varige, og at de i mange tilfeller tiltar i omfang. Behandlingen rettes mot grunnsykdommen. Noen sykdommer lar seg bremse opp med riktig behandling, f.eks. MS, mens andre sykdommer ikke er påvirkelige.