CT av hjernen
CT av hjernen er en tredimensjonal røngenfremstilling av hodet/hjernen. Vanlige røntgenbilder sier først og fremst noe om skallen (beinet som omgir hjernen), men CT fremstiller også hjernevev, hinner og blodårer innenfor denne.

Sist oppdatert:
27. juli 2023
Hjernen


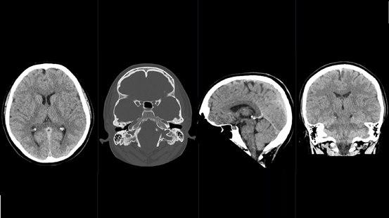
Hjernen ligger godt beskyttet inne i hjerneskallen, kraniet. Hjernen utgjøres av storhjernen (cerebrum), som består av to halvdeler (hjernehemisfærene), samt lillehjernen (cerebellum) og hjernestammen (se figur). Hjernehemisfærene utgjør nær 90% av hjernevevet. Hver hemisfære måler ca. 15 cm i lengderetningen og ca. 11 cm til sammen i bredden.
Den ytre delen av storhjernen betegnes hjernebarken (cortex) og her finnes områder som styrer våre bevegelser, tanker, følelser, etc (se figur). Hjernebarken, eller hjernens grå substans, består av en rekke folder av nervevev slik at den totale overflaten blir større. Læring og hjernefunksjoner er knyttet til grå substans, og det er et poeng at den er størst mulig. Hvit substans er under hjernebarken, dens funksjuon er først og fremst å sende signaler mellom de ulike områdene av grå substans.
Lillehjernen, som styrer koordineringen av musklene, ligger under bakre del av hemisfærene. Lillehjernen kalles også cerebellum, den består av nerveceller og er delt i to halvdeler (hemisfærer).
Hjernestammen, som er omkring 75 mm lang, forbinder resten av hjernen med ryggmargen og inneholder nervesentra som kontrollerer automatiske funksjoner som f.eks. pusting og hjerterytme.
Inne i hjernen er det fire hulrom (ventrikler) som er forbundet med hverandre, og som er fylt med væske, cerebrospinalvæsken (se nedenfor). Ventriklene har åpen forbindelse med det lange, tynne hulrommet som går nedover i ryggkanalen og med hulrommet mellom det bløte hjernevevet og kraniet (se nedenfor). Alle disse hulrommene inneholder cerebrospinalvæske.


Hva er CT?
CT er en forkortelse for Computed Tomography. CT bilder dannes av samme type røntgenstråler som ved vanlig røntgen. CT teknikken skiller seg fra røntgen ved at man benytter en mer avansert metode for å registrere strålene enn vanlig film/detektor, og en datamaskin brukes for å sette dataene sammen til et bilde. Røntgenkildene og de delene som fanger opp strålene, røntgen-mottakerne eller -detektorene, beveger seg rundt området som avbildes, og muliggjør framstilling i tverrsnitt og tre dimensjoner.
Fordelen med denne metoden er at den kan påvise svært små forandringer og den kan fremstille bilder av bløtvevet, i motsetning til røntgen som først og fremst kan fremstille beinvev og luftholdige strukturer.
CT bilder er svarthvite. Organene fremstilles i ulike grader av grått. Vev med lav tetthet, f.eks. luftfylte hulrom, vises som mørke eller svarte partier. Vev med høyere tetthet vises i lysere gråtoner. Jo høyere tetthet, jo lysere. Beinvev fremstilles hvitt.
Strålebelastningen er større enn ved de fleste vanlige røntgenundersøkelser, men denne ulempen oppveies av at behandleren får mye større utbytte (mer informasjon) fra CT - man får bedre bløtvevsoppløsning og en tredimensjonal framstilling av vevet. Moderne CT maskiner har betydelig reduserte stråledoser i forhold til eldre maskiner.
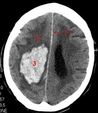
CT-bilde av hjerneblødning
Se animasjon av CT-undersøkelse
CT av hjernen
CT av hjernen betegnes på fagspråket for cerebral CT. Bildene som tas brukes til å fremstille hjernevev, hinner og blodårer inne i hodet. Bløtvev med ulik tetthet kan skilles fra hverandre, og i hjernen kan f. eks. hjernebark og hjernemarg (grå og hvit substans) skilles fra ryggmargsvæsken. CT er godt egnet til å vise f.eks. akutte blødninger i hjernen, men når man skal vurdere hjernevev er MR en langt mer detaljert undersøkelse.
Bildene vises i ulike gråtoner. Jo lysere skygge, jo høyere tetthet har vevet eller strukturen. Bein blir hvitt, mens luft blir svart. Tilførsel av røntgenkontrast via blodet kan gi bedre bildeinformasjon, f.eks lar store blodårer seg lettere fremstille etter tilførsel av kontrast i årene.
Indikasjoner
CT utføres ved mistanke om sykdom eller forandringer i hjernen. Særlig gjelder det i utredningen av akutt tilfeller hvor man mistenker blødning, f.eks. slagtilfeller. CT kan også være første ledd i utredningen av uklare hodeplager, som f.eks. langvarig hodepine.
Undersøkelsen
CT (spiral-CT)
CT i dag utføres som regel som et sammenhengende bildeopptak, såkalt spiral-CT. Tidligere benyttet CT bilder av tynne seksjoner eller skiver av kroppen som utgangspunkt for bildene. Den tidligere metoden brukes fortsatt i noen få utvalgte situasjoner, men da i kombinasjon med spiral-CT.
Ved spiral-CT flyttes pasienten kontinuerlig gjennom strålefeltet, slik at de sirkulerende bevegelsene av røntgenkildene og detektorene danner registreringer i en spiral. Det betyr at større områder kan avbildes i én omgang over kortere tid sammenlignet med slik man opprinnelig utførte CT-undersøkelsen, spiral-CT er med andre ord raskere og mer presis. Når man snakker om CT i dag, er det i praksis spiral-CT man mener.
Informasjonen lagres og bearbeides så i en datamaskin. Datamaskinen bruker så denne informasjonen til å lage snittbilder og eventuelt tredimensjonale bilder. Supplert med kontrastinnsprøyting kan svulster og betennelsessykdommer fremstilles gjennom å synliggjøre blodforsyning, men om man mistenker slike forandringer vil man ofte velge å utføre en MR undersøkelse.
Hvordan foregår undersøkelsen
Dette kan variere noe fra røntgenavdeling til røntgenavdeling. Den informasjonen som sendes ut fra den røntgenavdelingen du skal undersøkes på, er den som gjelder. Stort sett foregår undersøkelsen som forklart nedenfor.
Du undersøkes liggende på et motorisert bord som flytter deg inn i en "smultring-liknende" åpning. Du må ligge helt i ro under undersøkelsen for at bildene ikke skal bli uskarpe. Under bildeopptak kan du få beskjed om å holde pusten i korte øyeblikk.
Metallgjenstander som knapper, glidelås, belter, smykker etc. må fjernes fra undersøkelsesområdet da slike kan skape forstyrrelser i bildene.
Apparaturen, røntgen-kilder og røntgen-mottakere, i "smultringen" beveger seg rundt deg mens bildene blir tatt. Bildene vises på en skjerm, noe som tillater at man kan ta enkelte bilder på nytt om man ser at de er blitt av for dårlig kvalitet. Enkelte områder av kroppen kan fremstilles klarere gjennom at pasienten gis en innsprøyting av kontrast i blodet. Mange opplever en følelse av varme gjennom kroppen når kontrasten sprøytes inn, enkelte opplever en følelse av å være uvelhet, kvalme og eventuelt oppkast. Dette er ikke en allergisk reaksjon, og går fort over. Ved å puste langsomt og dypt kan du dempe ubehaget.
Pasientforbredelser
Det er vanligvis ikke nødvendig med faste før en CT undersøkelse. Faste er ofte aktuelt ved undersøkelser av bukhulen eller dersom det er en sjanse for at tiltak blir iverksatt i forbindelse med undersøkelsen. I noen tilfeller kan faste være gunstig i form av at det demper et eventuelt ubehag fra kontrastinnsprøyting.
Gravide må varsle om dette. Man skal være tilbakeholden med å gjøre CT under svangerskapet. Både henvisende lege og røntgenavdelingen vil vurdere hvor nødvendig undersøkelsen er.
Klaustrofobiske reaksjoner kan forekomme, men de aller fleste gjennomfører undersøkelsen uten store problemer. Pasienter som er svært engstelige kan få beroligende midler, men disse bør i så fall helst gis på poliklinikk/sengepost før undersøkelsen. Pasienter med sterke smerter kan få smertestillende.
Ved eventuell bruk av kontrast
Dersom du har reagert med en alvorlig allergillignende reaksjon på kontrastinnsprøyting tidligere må røntgenavdelingen varsles.
Har du en alvorlig nyresvikt eller sykdom som myelomatose kan du ha behov for et spesielt opplegg, forsikre deg om at dette er noe røntgenavdelingen er klar over. Medisiner som Glucophage/Metformin/Orabet kan brukes som normalt med mindre du har en samtidig alvorlig nyresvikt.
Faste
Det kreves som regel ikke faste ved denne undersøkelsen.
Feilkilder
Hjerneblødninger kan være vanskeligere å se, særlig dersom det er gått noe tid (dager, uker) siden blødningen skjedde. En blodpropp i hjernen (lager et hjerneinfarkt) kan overses dersom det har gått for kort tid, dvs. få timer siden skaden skjedde. Pasientbevegelser reduserer kvaliteten på bildene.
Hva kan man finne?
En lang rekke forandringer i hjernen kan påvises ved CT. De hyppigste sykdommene man kan finne er hjerneblødninger og skader på skallen, hjerneskader som følge av hjerneslag (blødning eller blodpropp, trombose), svulster, spredning fra kreftsykdom annet sted i kroppen, betennelser og demensforandringer.
Vanlig røntgen er ikke anbefalt, heller ikke når man bare leter etter skader på selve skallen. Dette er fordi CT er bedre til å påvise brudd, og gir samtidig informasjon om eventuelle forandringer i strukturene innenfor skallen.
Ved behov for ytterligere utredning vil det kunne være indisert å gjøre MR eller PET av hjernen.
Dette dokumentet er basert på det profesjonelle dokumentet CT av hjernen . Referanselisten for dette dokumentet vises nedenfor
- Wardlaw JM, Seymour J, Cairns J, et al. Immediate computed tomography scanning of acute stroke is cost-effective and improves quality of life. Stroke 2004; 35:2477. Stroke
- Filho JO, Koroshetz WJ. Neuroimaging of acute ischemic stroke. UpToDate, last updated Jan 09, 2015. UpToDate
- ESUR (European Society of Urogenital Radiology) Guidelines on Contrast Agents, 10th version (2018). Nettsiden besøkt 06.06.18. www.esur-cm.org