Vannkopper
Vannkopper er en barnesykdom med feber og utslett med kløe. Sykdommen smitter ved dråpesmitte. De fleste barn i Norge har hatt sykdommen før de er ni år.

Sist oppdatert:
7. aug. 2025
Hva er vannkopper?
Vannkopper er en barnesykdom med feber og utslett forårsaket av Varicella-zoster virus (VZV). Vannkopper er meget smittsomt. Oftest finnes det andre i nærmiljøet som også har vært eller er syke.

Forløpet av vannkopper er vanligvis mildt hos barn med normalt immunforsvar. De fleste barn får sykdommen i løpet av småbarnsalderen, og de blir derved varig immune. Rundt fire av ti barn smittes før 4 års alder og totalt åtte av ti barn innen 8 års alder. Sykdommen forekommer også hos voksne. Ved fylte 30 år er 98 prosent av befolkningen immune.
Noen gjennomgår sykdommen uten utslett eller andre symptomer. Det hender derfor at man påviser antistoffer hos personer som ikke vet at de har gjennomgått sykdommen.
Animasjon av vannkopper
Årsaken
Årsaken til sykdommen er et virus som heter varicella zoster virus (VZV). Sykdommen smitter ved dråpesmitte, det vil si at virus finnes i spytt, og ved hosting eller nysing spres virus rundt sammen med de ørsmå spyttdråpene som slynges ut. Smitte kan også foregå ved direkte kontakt med utslettet.
VannkopperVannkopper smitter fra et par dager før utslettet opptrer og så lenge det dukker opp nye blemmer. Smittefaren opphører når alle blemmene har dannet skorpe. Vanligvis varer smitteperioden 5 til 7 dager. Smittefaren er størst tidlig under sykdommen.
Forløpet av vannkopper
Tiden fra smitte til sykdomsutbrudd (inkubasjonstiden) varierer fra 10 til 21 dager, men er oftest 14 til 16 dager. Sykdommen starter oftest med lett feber. Vanligvis melder utslettet seg innen 1-2 døgn etter debut av feber. Feber og sykdomsfølelse er verst hos voksne, barn er oftest mindre sykdomspåvirket. Det finnes en stor grad av variasjon i alvorlighetsgraden. Noen personer merker ikke en gang at de har sykdommen (såkalt asymptomatisk forløp).
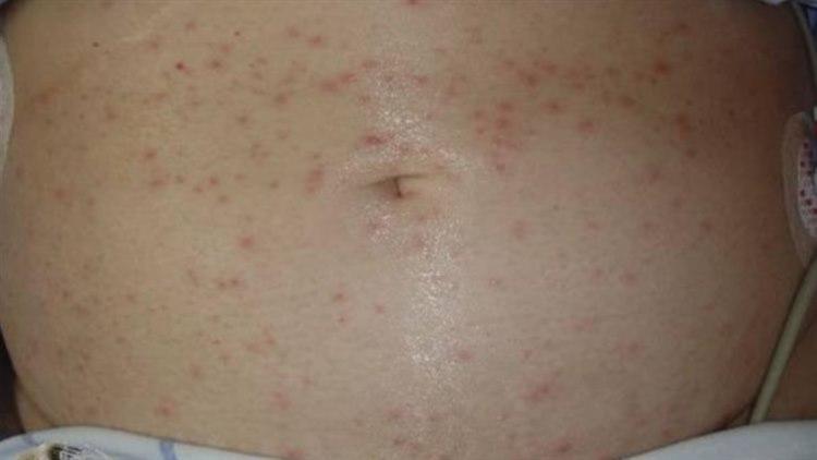
Utslettet starter vanligvis i hodebunn og ansikt, og spres deretter til kropp, armer og bein. Det begynner som en liten rød flekk, som etter noen timer blir til en liten blemme med klart innhold. Etter et par dager danner det seg en skorpe som etter hvert faller av. Utslettet klør ofte. I munnens slimhinne kan en også se utslett. Antallet flekker i huden varierer fra noen ganske få til mange hundre. De enkelte flekkene kan være på ulike utviklingstrinn.
Varigheten av sykdommen er fra fem til seks dager i lette tilfeller, men kan vare opptil sju til ti dager i mer uttalte tilfeller.
Er vannkopper farlig?
For ellers friske mennesker er vannkopper en uskyldig sykdom, særlig hos barn er sykdommen mild og går over av seg selv.
Men hos pasienter med svekket immunforsvar kan vannkopper medføre alvorlig sykdom. Slike pasientgrupper er for eksempel mennesker med kreft, nyfødte der moren ikke har hatt vannkopper, personer med langtkommen kronisk sykdom og personer som bruker immundempende medisiner.
Det er generelt sjelden med komplikasjoner av sykdommen, men:
- Bakterieinfeksjoner i utslettet er den vanligste komplikasjonen
- Voksne kan få lungebetennelse fremkalt av vannkoppevirus
- Barn og voksne kan utvikle en hjernebetennelse
Behandling
Det er ikke nødvendig med medisiner mot selve viruset til barn/ungdom som ellers er friske. Til personer med svekket immunsystem anbefales behandling med et virushemmende middel.
Dersom det er nødvendig å dempe smerter eller feber, anbefales paracetamol. Ibuprofen (Ibux), eller andre NSAIDs, frarådes ved vannkopper på grunn av økt risiko for kompliserende infeksjoner i huden.
Ved plagsom kløe kan hvitvask brukes. Dette midlet kjøpes uten resept på apoteket, og pensles på utslettet. Det gir en kjølig lindring. Er kløen svært uttalt, kan det være aktuelt å gi en type allergimedisin (antihistaminer).
Du må forsøke å unngå å smitte andre. Spesielt er det svært viktig å unngå kontakt med personer som kan ha svekket immunforsvar (se over).
Barnehage/dagmamma/skole
Barn holdes borte fra skole eller barnehage til barnet er feberfritt og utslettet har begynt å tørke inn. Fra første feberutbrudd vil dette i gjennomsnitt ta fem til sju dager.
Graviditet og vannkopper
Vannkopper kan i meget sjeldne tilfeller smitte til foster, spesielt når mor er smittet i første del av svangerskapet. Man regner med at det er omkring to prosent risiko for fosterskader dersom mor får vannkopper før 20. svangerskapsuke.
Dersom mor får vannkopper den siste uken før, eller den første uke etter fødsel, er det risiko for å smitte det nyfødte barnet. En slik infeksjon kan bli alvorlig. Det gis derfor immunglobuliner (antistoffer) direkte i blodet til barnet dersom dette skulle skje.
Vaksinasjon?
Det finnes vaksine mot vannkopper, men den inngår ikke i barnevaksinasjonsprogrammet i Norge. Årsaken er at det er flere uavklarte sider ved denne vaksinen, bl.a. usikkerhet om varighet av beskyttelse.
Vaksine anbefales etter ni måneders alder til barn med underliggende sykdom som medfører nedsatt immunforsvar, for eksempel leukemi, barneleddgikt og nyresykdommer, og barn som skal gjennomgå transplantasjon. Vaksinen kan ikke gis til personer med alvorlig nedsatt immunforsvar, som ved medfødt immunsvikt eller under behandling med svært høye doser immunsuppressiv behandling.
Vaksine kan også gis til voksne som ikke er immune mot vannkopper, fordi sykdomsforløpet hos voksne er verre enn hos barn. Det anbefales i så fall at personer som ikke vet om de har gjennomgått vannkopper testes med en antistoffprøve. Mange har hatt vannkopper uten å være klar over det.
Spesielt kvinner som ikke har antistoffer og som tenker å bli gravid i framtiden, anbefales vaksinen. Fullvaksinasjonen består av to doser som settes med minst 6 ukers mellomrom. Vaksinasjonen må være avsluttet senest én måned før svangerskap, gjerne i god tid før. Vaksinen skal ikke gis under svangerskap.
Hvordan er prognosen?
Prognosen er for de aller fleste god. Sykdommen er vanligvis mild og selvbegrensende. Men hos barn eller voksne med annen underliggende sykdom, kan vannkopper gi et mer alvorlig sykdomsforløp. Komplikasjoner forekommer, mest vanlig er hudinfeksjoner i utslettet. Men vannkoppeviruset kan også i sjeldne tilfeller medføre hjernedbetennelse, og betennelse i en rekke indre organer.
For de aller fleste medfører gjennomgått vannkopper livslang immunitet. Det vil si at man som regel ikke får sykdommen mer en gang. Men ny infeksjon forekommer hos noen, både etter naturlig infeksjon og etter vaksinasjonen. Forløpet av slike reinfeksjoner er vanligvis mildere enn ved førstegangs naturlig infeksjon.
Etter vannkopper vil noen av virusene bli igjen i nerveceller i ryggmargen. Dette kalles en latent eller inaktiv infeksjon. Viruset "sover". Mange år senere kan virusene bli aktivert på ny. De formerer seg da og vandrer utover i den nerven hvor de har hvilt, og forårsaker et smertefullt, småblemmet utslett som kalles helvetesild (herpes zoster). Dette skjer hyppigst hos eldre personer.
Quiz
Har du fått med deg det viktigste i dette dokumentet? Da utfordrer vi deg til å ta vår quiz om vannkopper!
Vil du vite mer
Dette dokumentet er basert på det profesjonelle dokumentet Vannkopper . Referanselisten for dette dokumentet vises nedenfor
- Folkehelseinstituttet. Smittevernhåndboka. Varicella (vannkopper) og herpes zoster (helvetesild) - håndbok for helsepersonell. Sist oppdatert 04.03.2025. Siden lest 07.08.2025. www.fhi.no
- Freer G, Pistello M. Varicella-zoster virus infection: natural history, clinical manifestations, immunity and current and future vaccination strategies. New Microbiol. 2018;41(2):95–105. PMID:29498740 PubMed
- Findal G. Virale infeksjoner hos gravide. Varicella. Veileder i fødselshjelp. Norsk gynekologisk forening. Sist oppdatert 08.01.2025. Siden besøkt 07.08.2025 metodebok.no
- Dooling K, Marin M, Gershon AA. Clinical Manifestations of Varicella: Disease Is Largely Forgotten, but It's Not Gone. J Infect Dis. 2022;226(Suppl 4):S380-S384. PMID: 36265857 PubMed
- Seward JF, Zhang JX, Maupin TJ et. al, Contagiousness of varicella in vaccinated cases, a household contact study. JAMA 2004; 292: 704-8. Journal of the American Medical Association
- Suzuki K, Yoshikawa T, Ihira M, Ohashi M, Suga S and Asano Y. Spread of varicella-zoster virus DNA to the environment from varicella patients who were treated with oral acyclovir. Pediatr Int 2003; 45: 458-60. PubMed
- Katz J, Cooper EM, Walther RR, Sweeney EW and Dworkin RH. Acute pain in herpes zoster and its impact on health-related quality of life. Clin Infect Dis 2004; 39: 342-8. PubMed
- Granslo HN, Døllner H, Klingenberg C. Vannkopper. Generell veileder i pediatri. Sist faglig oppdatert 01.01.2017. Siden lest 07.08.2025. www.helsebiblioteket.no
- Galil K, Lee B, Strine T, et al. Outbreak of varicella at a day-care center despite vaccination. N Engl J Med 2002; 347: 1909-15. New England Journal of Medicine
- Leung AK, Kao CP, Sauve RS. Scarring resulting from chickenpox. Pediatr Dermatol 2001; 18: 378-80. PubMed
- Albrecht MA. Treatment of varicella (chickenpox) infection. UpToDate, last updated Feb 02, 2022. www.uptodate.com
- RELIS database 2018; spm.nr. 7127, RELIS Midt-Norge. Antihistaminer mot urtikaria til små barn. Siden besøkt 07.08.2025. relis.no
- de Martino M, Chiarugi A, Boner A, et al. Working Towards an Appropriate Use of Ibuprofen in Children: An Evidence-Based Appraisal. Drugs 2017; 77: 1295-311. pmid:28597358 PubMed
- Acetylsalisylsyre. Felleskatalogen. Siden besøkt 07.08.2025. www.felleskatalogen.no
- Skiveren J, Bermark S, et al.: Klinisk retningslinje for rensning af akutte og kroniske sår: Sæbe, skyllevæsker og skylletryk. Sist revidert 31.07.2017. Center for kliniske retningslinjer, Aalborg Universitet. www.cfkr.dk
- Folkehelseinstituttet. Vaksinasjonshåndboka. Varicella- og herpes zoster-vaksine - håndbok for helsepersonell. Sist oppdatert 20.12.2024. www.fhi.no
- Felleskatalogen. Varilrix. Siden besøkt 07.08.2025. www.felleskatalogen.no
- Macartney K, Heywood A, McIntyre P. Vaccines for post-exposure prophylaxis against varicella (chickenpox) in children and adults. Cochrane Database Syst Rev. 2014 Jun 23;6:CD001833. PMID: 24954057 PubMed
- Gershon AA. Is chickenpox so bad, what do we know about immunity to varicella zoster virus, and what does it tell us about the future? J Infect. 2017 Jun;74 Suppl 1(Suppl 1):S27-S33. PMID: 28646959 PubMed
- Johnson JA, Bloch KC, Dang BN. Varicella reinfection in a seropositive physician following occupational exposure to localized zoster. Clin Infect Dis. 2011 Apr 1;52(7):907-9. doi: 10.1093/cid/cir033. Epub 2011 Jan 27. PMID: 21273297 PubMed