Nyhetsartikkel
Bildequiz
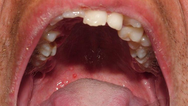
Bildequiz uke 44 2024
Vet du hvilken tilstand denne personen har, eller hva som er årsaken til det du ser på bildet?

Av:
Merethe Kvam, skrivende redaktør.
Sist oppdatert:
30. okt. 2024
I ukens bildequiz vil du få presentert bilder av en sykdom eller tilstand som kan kjennes igjen på lett synlige tegn. Vet du hvilken tilstand personen som er avbildet i denne saken, har?
Annonse
Svaret kan du skrive på våre Facebook-sider. Det riktige svaret vil bli publisert som en lenke nederst i artikkelen på mandag i uke 45.
Hint
Bildequiz- Sykdommen synes å opptre i epidemier med intervaller på to til fem år.
- Sykdommen opptrer over hele verden.
- 40 prosent smittes før fire års alder.
- Sykdommen smitter ved dråpesmitte og er svært smittsom
- For de som har svekket immunforsvar, kan sykdommen være farlig