Sjelden tilstand
Pantotenat kinase-assosiert nevrodegenerativ sykdom (PKAN)
Sist oppdatert:
17. sep. 2024
Dette dokumentet er basert på Frambu sin omtale av tilstanden, deres nettside ble besøkt den 17.09.24.
Frambu har følgende omtale av diagnosen:
Annonse
Oversikt
Definisjon
- Den vanligste av de nevrodegenerative jernavleiringssykdommene
- Arvelig (autosomal recessiv) og progressiv tilstand, men som oftest skyldes spontane mutasjoner
- Årsaken er en feil på genet PANK2
- Feilen fører til en svikt i dannelsen av proteinet pantotenat kinase, og til opphopning av cystein og jern i basalgangliene
- Nøyaktig skademekanisme er ennå ikke kjent
- Feilen fører til en svikt i dannelsen av proteinet pantotenat kinase, og til opphopning av cystein og jern i basalgangliene
Forekomst
- 1-3 per million på verdensbasis, forekomst i Norge er ukjent
Symptomer
- Stor variasjon i symptombilde og hvor raskt sykdommen progredierer
- For de fleste, typisk variant (75%), vil sykdommen debutere før 10 års alder, som regel ved 3-4 års alderen
- Nedsatt nattesyn kan være første symptom
- Forsinket psykomotorisk utvikling
- Etterhvert vil både kognitive ferdigeheter og motorikk endres i avvikende retning, og utviklingen kan gå via slageaktige dyskinetiske bevegelser til forvridde stillinger og en tale som er vanskelig å forstå
- I tenårene vil ofte et behov for rullestol melde seg, og spising blir en utfordring
- For noen debuterer tilstanden etter 10 år, atypiske variant (25%), og ufrivillige bevegelser, utvikling av lærevansker og kognitiv svikt blir etterhvert tydelig
- Stemningslidelser, tvangslidelser o.l. er vanlig
Funn
- Nedsatt nattesyn kan være første symptom, både ved typisk og atypisk variant
- Amorfe erytrocytter
- Motoriske avvik og spasmeutvikling, kan feiltolkes som uvaner eller ticks på tidlige stadium
- Tiltagende kognitiv svikt
Diagnostikk
- Klinisk bilde og avvik i erytrocyttenes form kan gi mistanke om sykdommen
- Også muskelenzymer i blodet kan være forhøyet
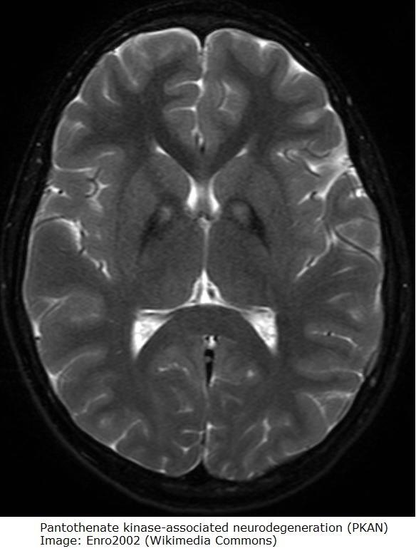
- MR kan vise relativt karakteristiske forandinger ("eye of the tiger")1
- Diagnosen stilles ved gentest som påviser PANK2-mutasjon
Behandling
- Symptomatisk behandling, ingen etablert behandling rettet mot årsaken eksisterer (ennå)
- Spasmedempende tiltak som medikamenter p.o. (Trihezipentyl, diazepam) eller botoxinjeksjon ved behandling av enkeltmuskler
- Baklofen-pumpe og implantert elektrode for å dempe ufrivillige bevegelser er andre behandlingsalternativ
- Jernbindende behandling har kanskje en effekt (deferipron)
- Legemidler rettet mot tilstanden er under utprøvning
- Mange har betydelig forkortet levetid som følge av komplikasjoner, og dør i 20-årene (ofte av lungebetennelse)
- Andre, og særlig de i med atypisk variant, kan ha tilnærmet normal levetid
- Tett oppfølging av både pasient og pårørende, ev. genetisk veiledning
Andre kilder til informasjon
Illustrasjoner
Bilder

Kompetansesenter
Nasjonalt senter for sjeldne diagnoser, enhet Frambu
- Frambu er et landsdekkende kompetansesenter for sjeldne og lite kjente funksjonshemninger
- Frambu er et statlig finansiert supplement til det ordinære hjelpeapparatet
- Frambu er en møteplass for familier og fagersoner
- Frambus tilbud er like mye til voksen som til barn - hele livsløpet
Referanser
- Lee JH, Gregory A, Hogarth P, Rogers C, Hayflick SJ. Looking Deep into the Eye-of-the-Tiger in Pantothenate Kinase-Associated Neurodegeneration. AJNR Am J Neuroradiol. 2018 Mar;39(3):583-588. PMID: 29371252. PubMed
- Hogarth P, Kurian MA, Gregory A, et al. Consensus clinical management guideline for pantothenate kinase-associated neurodegeneration (PKAN). Mol Genet Metab. 2017 Mar;120(3):278-287. PMID: 28034613. PubMed