Kneleddsartrose
Knærne er sammen med hofteleddene de leddene i kroppen som belastes mest gjennom livet. Ved artrose har det oppstått sykelige forandringer i leddbrusken og/eller benvevet rundt leddet. Behandlingen er opplæring og informasjon om tilstanden, vektreduksjon ved overvekt eller fedme, tilpasset fysisk aktivitet og øvelser livet ut, eventuelt smertestillende medisiner og avlastende tiltak. Når vanlig behandling ikke lenger hjelper, kan det være nødvendig med proteseoperasjon hos noen få pasienter, der det vil settes inn et kunstig kneledd.

Sist oppdatert:
27. aug. 2025
Hva er artrose i kneet?
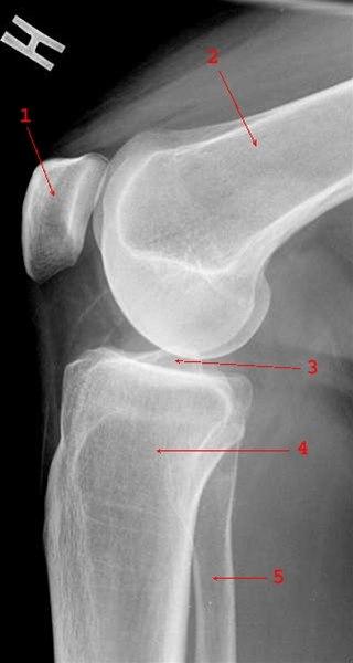
Røntgenbilde av kneleddetKneleddet utgjøres av lårbeinets og leggbeinets leddflater. Beinvevet er kledd med brusk som gjør at leddflatene glir mot hverandre med minst mulig motstand. I tillegg har kneleddet to bruskskiver (meniskene) som fremmer bevegeligheten i leddet. Artrose i kneleddet er den vanligste type revmatisk leddsykdom. Forandringer i leddbrusk og bein i leddet gjør at overflatene ikke lenger er glatte og symmetriske. Tidligere kaltes dette slitasjegikt. Begrepet er misvisende og brukes derfor ikke lenger.


Cirka hver tredje voksen person har tegn på artrose i et eller flere ledd på røntgen. Omtrent hver sjuende voksen i Norden har symptomer på kneleddsartrose. Forekomsten øker med alderen. Kneleddsartrose er den aller hyppigste formen for artrose, cirka fire til fem ganger hyppigere enn artrose i hofteleddet.
I USA doblet forekomsten av artrose i knærne siden midten av det 20. århundre. Blant årsakene nevnes høyere levealder og høyere forekomst av overvekt og fedme. Men det ser ut som om det også finnes andre, utbredte, men hittil ukjente faktorer, som bidrar til den økte forekomsten av kneleddsartrose. Kvinner rammes noe hyppigere enn menn.
Hovedsymptomet er gradvis økende, belastningsavhengige smerter i kneet hos personer over 45 år. Mange plages av kortvarig stivhet i kneleddet (mindre enn 30 minutter) etter at å ha sittet i ro eller etter søvn. Hos noen utvikles etter hvert smerter i hvile, i verste fall også om natta med ledsagende søvnvansker. Det er vanlig med perioder der plagene er verre enn vanlig, fulgt av perioder med forholdsvis lite plager. Av og til kan biter av brusk løsne og kommer i knip mellom leddflatene, noe som utløser smerter og eventuelt låsning av leddet.
Årsak
I et godt fungerende ledd er forholdet mellom nedbryting av celler som kroppen må erstatte ved normalt vedlikehold og oppbygging av nytt vev, i sunn balanse. Artroseforandringer utvikler seg når nedbrytningsprossessene overveier av ulike grunner og over lengre tidsrom. Forandringene rammer alle vev i kneet - både brusk og ben, men også leddets slimhinne, samt muskler, sener og bindevev i og rundt kneet. Når leddbrusken brytes ned, blir de glatte overflatene som er mellom lårbeinets og leggbeinets leddflater, etter hvert ujevne. Ved gange oppstår "gnisninger" i leddet, noe som gir smerter. Etter hvert vil det bli forkalkninger, bevegeligheten mellom lårbeinet og leggbeinet blir dårligere, og leddet blir stivere. Det er vanlig at det oppstår gradvis økende muskelsvinn rundt kneet, at leddfunksjonen blir dårligere og at det utvikles knesmerter ved fysisk aktivitet.
Artrose er en tilstand med nedbrytning av overflatene i leddet, hvor spesielt leddbrusken ødelegges. Leddflatene som glir mot hverandre, blir ujevne, noe som medfører irritasjon, smerte og etter hvert stivhet i kneleddet. Den stadige irritasjonen medfører blant annet at det dannes forkalkninger i leddet.
Det skilles mellom såkalt primær artrose, der årsaken er ukjent, og sekundær artrose. Ved sekundær artrose har de sykelige leddforandringene oppstått som følge av for eksempel skade, infeksjon, svulster eller andre leddsykdommer.
Bortsett fra økende alder bidrar ulike risikofaktorer til utvikling av kneleddsartrose, blant annet:
- Overvekt og fedme øker risikoen 2-3 ganger, sammenlignet med normalvekt.
- Tidligere brudd som har skapt uregelmessige leddflater
- Sykdom som har skadet leddbrusken, for eksempel leddgikt
- Tidligere indre kneskader, for eksempel menisk- eller korsbåndskade
- Uttalt kalvbeinthet eller hjulbeinthet, som gir asymmetrisk belastning
- Betydelig og langvarig yrkesmessig belastning fra mye bøying, løfting, klatring og arbeid på kne eller på huk
Diagnostikk
Typisk er knesmerter som utløses av fysisk aktivitet. Smerten kjennes ofte med en gang en starter aktivitet, blir så litt bedre under aktivitet, men forverres igjen ved vedvarende eller kraftig aktivitet. Kortvarig stivhet i kneleddet (mindre enn en halvtime) er vanlig etter hvileperioder.
Ved undersøkelsen av kneleddet vil legen av og til finne at leddet er mer hovent enn normalt, at det er muskelsvinn i lårmusklene på den siden som er rammet og at bevegeligheten er nedsatt (spesielt bøyefunksjonen). Ofte høres også knirkelyder ved bevegelser i leddet. Det kan være ømhet midt på kneet når legen kjenner på utsiden av leddet.



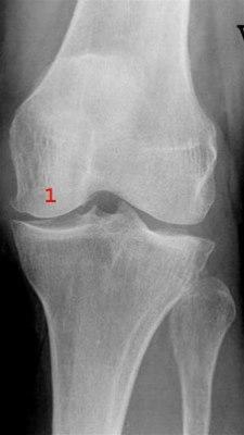
Røntgen av kneet er vanligvis ikke nødvendig for å stille diagnosen. Hos personer som er 45 år eller eldre, har smerte i kneleddet som er relatert til fysisk aktivitet og ikke har morgenstivhet eller kun morgenstivhet med varighet opptil en halvtime, kan legen stille diagnosen uten å bestille tilleggsundersøkelser. Ved mistanke om andre underliggende årsaker kan det tas et røntgenbilde (stående), som kan bekrefte lette, moderate eller uttalte artroseforandringer.
Røntgenbildene forteller likevel ikke hele sannheten, fordi det kan være manglende samsvar mellom graden av plager og graden av forandringer på røntgen. Svært tidlige artroseforandringer kan ikke alltid påvises hos pasienter med begynnende plager. Motsatt kan pasienter med påviste røntgenforandringer ha beskjedne eller ingen symptomer. Tilleggsundersøkelser vil være nødvendig dersom symptombildet avviker fra det som forventes ved kneleddsartrose eller hvis pasienten henvises til vurdering av operasjon.
Behandling
Formålet med behandlingen er å lindre symptomene og hindre forverring av tilstanden. Hovedbehandlingen er opplæring og informasjon om tilstanden, regelmessig og tilpasset fysisk aktivitet, trening og øvelser livet ut, samt å oppnå og vedlikeholde sunn kroppsvekt. Også balanseøvelser og øvelser for kropp og sinn, som for eksempel Tai Chi eller Yoga, er vist å ha en gunstig effekt. Medisiner er kun symptomlindrende og påvirker ikke sykdomsforløpet. Legemidlene anbefales tatt kun ved behov og i minst mulig dose. Når ikke-kirurgisk behandling ikke fører frem over tid, og livskvaliteten er betydelig redusert på grunn av kneleddsartrosen, kan operasjon med innsetting av kneleddsprotese vurderes.
Hva kan du gjøre selv?
- Lære om tilstanden og egenbehandlingen. Du kan for eksempel begynne med å se to korte filmer om artrose på AktivA-nettsiden .
- Personer med overvekt eller fedme vil oppnå en betydelig bedring av plagene ved å gå ned i vekt. Det er vist at allerede fem prosent vektnedgang hos personer med overvekt og fedme, har en stor effekt i form for bedre knefunksjon og mindre smerte. Effekten er faktisk større enn det man ville forvente i forhold til den ren fysiske reduksjon av last på leddoverflaten. Vektreduksjonen ser dessuten ut til å ha en gunstig effekt på artroseforandringer i ikke-bærende ledd også, for eksempel ved håndleddsartrose. Les mer om overvekt og fedme her, eller spør din lege om råd. Ellers gjelder det å holde sunn kroppsvekt, som for de fleste er normalvekta.
- Mosjon, trening og øvelser som er tilpasset deg personlig. Aktiviteter som medfører lite belastning i form for støt på kneet, som gåing (bruk gjerne staver), sykling eller svømming, ser ut å være gunstige. Ta gjerne kontakt med en fysioterapeut som har kompetanse innen behandling av kneleddsartrose. Du behøver ikke henvisning. AktivA-klinikker tilbyr et strukturert informasjons- og behandlingsopplegg for artrosepasienter.
- START-øvelser kne er et kunnskapsbasert, kort, enkelt og trygt treningsprogram som pasienter kan gjøre selv uten hjelpemidler.
- Å være litt forsiktig med støtbelastende aktiviteter som for eksempel løping eller slalåm. Slike aktiviteter utgjør en høyere risiko for å utløse forverringer enn aktiviteter med liten eller ingen støtbelastning.
- Ved betydelige plager kan pasienten bruke stokk eller krykke for å redusere vektbelastning på den aktuelle siden.
- Støtdempende fottøy kan hjelpe.
Medisiner
Som sagt påvirker ikke medisiner sykdomsforløpet og anbefales brukt kun i perioder med behov for smertelindring. Spesielt i oppstartsfasen av egenøvelser/trening kan det være behov for det, fordi knesmertene kan øke i en periode, før de blir bedre. Da kan det med fordel brukes en gel til påsmøring som inneholder et betennelsesdempende legemiddel av type NSAID (ikke-stereoide antiinflammatoriske legemidler). Geler som kan kjøpes uten resept, inneholder virkestoffene ibuprofen eller diklofenak. Legen kan ellers forskrive en gel som inneholder ketoprofen. Fordelen ved å bruke NSAIDs som gel til påsmøring i stedet for tabletter, er at gelen har god effekt ved kneleddsartrose og at risikoen for bivirkninger er betydelig mindre enn ved bruk av tabletter.
NSAIDs i tablettform er likevel et alternativ, har god effekt, men kan altså gi diverse bivirkninger. Dette gjelder både etter kort- og langvarig bruk. Tablettene frarådes brukt hos skrøpelige og personer med kjent hjerte- og karsykdom. Vær oppmerksom på at NSAIDs hos noen kan forårsake mageplager, i verste fall magesår. Dersom en person får magesmerter under behandling, må behandlingen avbrytes. NSAIDs kan gis i kombinasjon med et magesårbeskyttende middel for å redusere risikoen for betennelse i magesekken og magesår. Mer om NSAIDs kan leses her.
Effekten av paracetamol som enebehandling mot artrosesmerter er i beste fall beskjeden. Men medisinen kan forsøkes dersom NSAIDs ikke kan brukes eller ikke har tilstrekkelig effekt. Kombinasjonen av paracetamol og NSAIDs kan virke bedre enn NSAIDs alene hos noen av pasientene.
Sterke smertestillende medisiner som morfinliknende preparater, har lite effekt ved kneleddsartrose, medfører en god del uønskede/skadelige effekter og frarådes derfor sterkt. Dette budskapet er basert på omfattende forskningsresultater som har kommet de senere år. Pasienter som har brukt slike medisiner mot sine artrosesmerter fra før, kan med fordel drøfte en plan for å trappe ned behandlingen med legen sin. Pasienter som foretrekker å fortsette med morfinliknende legemidler mot artrosesmerter, må være klar over at behandlingen medfører risiko for helseskade og har lite effekt.
Annen behandling
Knestøtte (ortose) er ikke vist å ha effekt og frarådes derfor i utgangspunktet. Hjelpemiddelet kan likevel vurderes hos enkelte pasienter med artrose som er begrenset til kun en del av kneleddet. Kileformet pute under hælen anbefales ikke.
Atferdsbehandling som retter seg mot innsikt og problemløsning (kognitiv terapi) anbefales ved utbredte smerter eller depresjon og behov for smertemestring.
Injeksjon av kortisonlignende midler i kneleddet gir kortvarig lindring. Behandlingen er et alternativ når andre legemidler er uten effekt eller uaktuelle. Men det anbefales ikke å gi injeksjonen gjentatte ganger.
På generelt grunnlag frarådes følgende som behandling mot kneleddsartrose:
- Passive behandlinger som akupunktur, massasje, elektroterapi, manuelle teknikker, varme-/kuldebehandling og teiping av kneskålen (svakt bevisgrunnlag, sprikende konklusjoner)
- Kosttilskudd (svakt bevisgrunnlag, sprikende konklusjoner)
- Leddinjeksjoner med platerikt plasma (PRP), hyaluronsyre, stamceller, dekstrose (eksperimentelle behandlinger der sikker effekt ikke er vist)
- Behandling med osteoporosemedisin som bisfosfonater (ikke vist effekt på knesmerte eller -funksjon)
Hos pasienter som ikke har tilstrekkelig effekt av standardbehandling, kan kirurgi kan bli aktuelt. En henvisning til kirurg må inneholde dokumentasjon på hvilken type behandling som tidligere er utprøvd, hvor lenge og beskrivelse av effekt. Ved utilstrekkelig dokumentasjon på opptrening/fysioterapi og forsøk på vektreduksjon ved overvekt/fedme, kan henvisningen bli avvist.
Ved visse typer artrose og feilstilling kan det være aktuelt å utlikne den vektbærende aksen i kneleddet ved å fjerne en beinbit fra skinnebeinet (osteotomi). Slik får man justert leddflatenes posisjon i forhold til hverandre, noe som kan utsette behovet for kneprotese hos enkelte.
I langtkomne tilfeller er innsetting av delvis eller hel protese (kunstig kneledd) hovedbehandlingen. Men inngrepet medfører en viss risiko for en del bivirkninger, noen som kan ha alvorlige forløp. Hos personer som røyker, vil røykeslutt en tid før proteseoperasjonen minske risikoen for komplikasjoner. Hos om lag åtte av ti pasienter som får satt inn kneleddsprotese, er resultatene tilfredsstillende, men hos én eller to av ti er de ikke det.
En annen grunn for å avvente med en proteseoperasjon, er at holdbarheten til en kneprotese er begrenset. Likevel har kvaliteten av protesene blitt bedre for pasienter operert de siste 10-15 årene. Hos 19 av 20 personer som er rundt 70 år gamle og som har behov for en kneprotese, vil en innsatt totalprotese vare i over 10 år, uten behov for flere operasjoner.
Samvalgsverktøy
Pasienter som ønsker å medvirke i valg av undersøkelses- og behandlingsmetoder, kan ta i bruk samvalgsverktøy. Dette er pasienttilpassede nettsider på Helsenorge.no. Der finner vedkommende informasjon om fordeler og ulemper ved ulike alternativer for behandling og undersøkelse. Så pasienten vurdere disse opp mot hverandre, basert på hva som er viktig for vedkommende. Legen og annet helsepersonell vil kunne hjelpe pasienten med å ta en god beslutning.
Prognose
Med riktig behandling som beskrevet over, kan de fleste oppnå en bedring av knefunksjonen sin og god livskvalitet. Men hos noen vil plagene tilta over tid. Begrensning av fysisk aktivitet og forstyrret nattesøvn på grunn av smerter kan oppstå ved langtkommen artrose. Ved vedvarende og betydelige plager til tross for standardbehandling kan kneproteseoperasjon vurderes som siste behandlingsmulighet.
Dette dokumentet er basert på det profesjonelle dokumentet Kneleddsartrose . Referanselisten for dette dokumentet vises nedenfor
- Litwic A, Edwards MH, Dennison EM, Cooper C. Epidemiology and burden of osteoarthritis. Br Med Bull. 2013;105:185-99. Epub 2013 Jan 20. PMID: 23337796 PubMed
- Michael JW, Schlüter-Brust KU, Eysel P. The epidemiology, etiology, diagnosis, and treatment of osteoarthritis of the knee. Dtsch Arztebl Int. 2010 Mar;107(9):152-62. Erratum in: Dtsch Arztebl Int. 2010 Apr;107(16):294. PMID: 20305774 PubMed
- Wallace IJ, Worthington S, Felson DT3, et al. Knee osteoarthritis has doubled in prevalence since the mid-20th century. Proc Natl Acad Sci U S A. 2017; 114: 9332-6. pmid:28808025 PubMed
- GBD 2021 Osteoarthritis Collaborators. Global, regional, and national burden of osteoarthritis, 1990–2020 and projections to 2050: a systematic analysis for the Global Burden of Disease Study 2021. Lancet 2023. doi:10.1016/S2665-9913(23)00163-7 DOI
- Sharma L. Osteoarthritis of the Knee. N Engl J Med. 2021 Jan 7;384(1):51-59. PMID: 33406330. PubMed
- Furnes O, Hallan G, Hole R, et al. Årsrapport for 2022 med plan for forbedringstiltak. Nasjonalt register for leddproteser. Utgitt 15. juni 2023, Haukeland universitetssykehus. www.kvalitetsregistre.no
- Berteau JP. Knee Pain from Osteoarthritis: Pathogenesis, Risk Factors, and Recent Evidence on Physical Therapy Interventions. J Clin Med. 2022;11(12):3252. Published 2022 Jun 7. PMID: 35743322 PubMed
- Palmer KT. Occupational activities and osteoarthritis of the knee. Br Med Bull. 2012 Jun;102:147-70. doi: 10.1093/bmb/lds012. Epub 2012 Apr 26. PMID: 22544778 PubMed
- National Institute for Health and Care Excellence (NICE), UK. Osteoarthritis in over 16s: diagnosis and management. NICE guideline [NG 226], published: 19 October 2022 www.nice.org.uk
- Norsk forening for allmennmedisin, Norsk ortopedisk forening, Norsk radiologisk forening. Beslutningsstøtte ved bildediagnostikk hos pasienter fra 50 år med smerter i kne og/eller hofte - både for henviser og for bildediagnostisk enhet. August 2025. NFA, medisinske anbefalinger. www.legeforeningen.no
- Wu CW, Morrell MR, Heinze E, et al.. Validation of American College of Rheumatology classification criteria for knee osteoarthritis using arthroscopically defined cartilage damage scores. Semin Arthritis Rheum. 2005 Dec;35(3):197-201. PMID: 16325660 PubMed
- Menkes CJ. Radiographic criteria for classification of osteoarthritis. J Rheumatol Suppl. 1991 Feb;27:13-5. PMID: 2027113. PubMed
- Sagsveen M. Lite samsvar mellom knesmerte og MR-funn. Tidsskr Nor Legeforen 2009. 129:1082. doi: 10.4045/tidsskr.09.0539. tidsskriftet.no
- The Royal Australian College of General Practitioners. Guideline for the management of knee and hip osteoarthritis. 2nd edn. East Melbourne, Vic: RACGP, 2018. www.racgp.org.au
- Østerås N, Moseng T. Oppsummering av behandlingsanbefalinger ved kne- og hofteartrose. For helsepersonell. Diakonhjemmet sykehus. Publisert januar 2024. www.diakonhjemmetsykehus.no
- Bjordal JM, Klovning A, Ljunggren AE et al. Short-term efficacy of pharmacotherapeutic interventions in osteoarthritic knee pain: a meta-analysis of randomised placebo-controlled trials. Eur J Pain 2006, doi: 10.1016/j.ejpain.2006.02.013.
- Bannuru RR, Schmid CH, Kent DM, et al. Comparative effectiveness of pharmacologic interventions for knee osteoarthritis: A systematic review and network meta-analysis. Ann Intern Med 2015; 162: 46-54. doi:10.7326/M14-1231 DOI
- Juhl C, Christensen R, Roos EM, et al. Impact of exercise type and dose on pain and disability in knee osteoarthritis: A systematic review and meta-regression analysis of randomized controlled trials. Arthritis Rheumatol 2014; 66: 622–636. doi: 10.1002/art.38290 DOI
- Fransen M, McConnell S, Harmer AR, et al. Exercise for osteoarthritis of the knee. Cochrane Database Syst Rev. 2015 Jan 9;1:CD004376. Cochrane (DOI)
- Amin S, Baker K, Niu J, et al. Quadriceps strength and the risk of cartilage loss and symptom progression in knee osteoarthritis. Arthritis Rheum 2009; 60: 189-98. PubMed
- Torstensen TA, Østerås H, et al. High- versus low-dose exercise therapy for knee osteoarthritis: A randomized controlled multicenter trial. Ann Intern Med 2023. Ann Intern Med 2023. PMID: 36689746 PubMed
- American Academy of Orthopaedic Surgeons Management of Osteoarthritis of the Knee (Non-Arthroplasty). Evidence-Based Clinical Practice Guideline. Published 08/30/2021 www.aaos.org
- da Costa BR, Pereira TV, Saadat P, et al. Effectiveness and safety of non-steroidal anti-inflammatory drugs and opioid treatment for knee and hip osteoarthritis: network meta-analysis. BMJ. 2021 Oct 12;375:n2321. PMID: 34642179 PubMed
- Grotle M, Hagen KB, Natvig B, Dahl FA, Kvien TK. Obesity and osteoarthritis in knee, hip and/or hand: an epidemiological study in the general population with 10 years follow-up. BMC Musculoskelet Disord. 2008 Oct 2;9:132. PMID: 18831740 PubMed
- da Costa BR, Reichenbach S, Keller N, et al. Effectiveness of non-steroidal anti-inflammatory drugs for the treatment of pain in knee and hip osteoarthritis: a network meta-analysis. Lancet 2017. PMID: 28699595 PubMed
- Bannuru RR, Osani MC, Vaysbrot EE, et al. OARSI guidelines for the non-surgical management of knee, hip, and polyarticular osteoarthritis. Osteoarthritis Cartilage. 2019 Nov;27(11):1578-1589. Epub 2019 Jul 3. PMID: 31278997 PubMed
- Gunter BR, Butler KA, Wallace RL, et al. Non-steroidal anti-inflammatory drug-induced cardiovascular adverse events: a meta-analysis. J Clin Pharm Ther 2017; 42: 27-38. pmid:28019014 PubMed
- Machado GC, Maher CG, Ferreira PH, et al. Efficacy and safety of paracetamol for spinal pain and osteoarthritis: systematic review and meta-analysis of randomised placebo controlled trials. BMJ 2015; 350: h1225. doi:10.1136/bmj.h1225 DOI
- McAlindon TE, LaValley MP, Harvey WF, et al . Effect om intra-articular triamcinolone vs saline on knee cartilage volumen and pain in patients with knee osteoarthritis. A randomized clinical trial. JAMA 2017; 317: 1967-75. doi:10.1001/jama.2017.5283 DOI
- Ferreira GE, Abdel-Shaheed C, Underwood M, et al. Efficacy, safety, and tolerability of antidepressants for pain in adults: overview of systematic reviews. BMJ 2023; 380: e072415. pmid:36725015 PubMed
- Lisi C, Perotti C, Scudeller L, et al. Treatment of knee osteoarthritis: platelet-derived growth factors vs. hyaluronic acid. A randomized controlled trial. Clin Rehabil. 2018; 32: 330-9. PMID: 28783969 PubMed
- Patel S, Dhillon MS, Aggarwal S, et al. Treatment with platelet-rich plasma is more effective than placebo for knee osteoarthritis: a prospective, double-blind, randomized trial. Am J Sports Med 2013; 41: 356-64. pmid:23299850 PubMed
- Le ADK, Enweze L, DeBaun MR, Dragoo JL. Current Clinical Recommendations for Use of Platelet-Rich Plasma. Curr Rev Musculoskelet Med. 2018; 11: 624-34. pmid:30353479 PubMed
- Bennell KL, Paterson KL, Metcalf BR, et al. Effect of Intra-articular Platelet-Rich Plasma vs Placebo Injection on Pain and Medial Tibial Cartilage Volume in Patients With Knee Osteoarthritis The RESTORE Randomized Clinical Trial. JAMA 2021; 326: 2021-30. pmid:34812863 PubMed
- Sit RWS, Wu RWK, Rabago D, et al. Efficacy of Intra-Articular Hypertonic Dextrose (Prolotherapy) for Knee Osteoarthritis: A Randomized Controlled Trial. Ann Fam Med. 2020 May;18(3):235-242. doi: 10.1370/afm.2520. PMID: 32393559 PubMed
- Pramhas S, Thalhammer T, Terner S, et al. Oral cannabidiol (CBD) as add-on to paracetamol for painful chronic osteoarthritis of the knee: a randomized, double-blind, placebo-controlled clinical trial. Lancet Reg Health Eur 2023; 35: 100777. pmid:38033459 PubMed
- van den Driest JJ, Schiphof D, Koffeman AR, et al. No Added Value of Duloxetine in Patients With Chronic Pain due to Hip or Knee Osteoarthritis: A Cluster-Randomized Trial. Arthritis Rheumatol 2022; 74: 818-828. pmid:34989159 PubMed
- Gademan MG, Hofstede SN, Vliet Vlieland TP, et al. Indication criteria for total hip or knee arthroplasty in osteoarthritis: a state-of-the-science overview. BMC Musculoskelet Disord. 2016 Nov 9;17(1):463. doi: 10.1186/s12891-016-1325-z. PMID: 27829422 PubMed
- Beard DJ, Davies LJ, Cook JA, et al. The clinical and cost-effectiveness of total versus partial knee replacement in patients with medial compartment osteoarthritis (TOPKAT): 5-year outcomes of a randomised controlled trial. Lancet 2019. pmid:31326135 PubMed
- Price AJ, Alvand A, Troelsen A, Katz JN, Hooper G, Gray A, Carr A, Beard D. Knee replacement. Lancet. 2018 Nov 3;392(10158):1672-1682. PMID: 30496082 PubMed
- Fortier LM, Rockov ZA, Chen AF, Rajaee SS. Activity Recommendations After Total Hip and Total Knee Arthroplasty. J Bone Joint Surg Am. 2021 Mar 3;103(5):446-455. doi: 10.2106/JBJS.20.00983. PMID: 33337819 PubMed
- Januel JM, Chen G, Ruffieux C, et al. Symptomatic in-hospital deep vein thrombosis and pulmonary embolism following hip and knee arthroplasty among patients receiving recommended prophylaxis: a systematic review. JAMA. 2012 Jan 18;307(3):294-303. doi: 10.1001/jama.2011.2029. PMID: 22253396 PubMed
- Lavu MS, Porto JR, Hecht CJ, et al. Low-dose aspirin is the safest prophylaxis for prevention of venous thromboembolism after total knee arthroplasty across all patient risk profiles. J Bone Joint Surg Am 2024. pmid:38753809 PubMed
- Stringer MD, Steadman CA, Hedges AR, et al. Deep vein thrombosis after elective knee surgery. An incidence study in 312 patients. J Bone Joint Surg Br. 1989 May;71(3):492-7. doi: 10.1302/0301-620X.71B3.2785998. PMID: 2785998 PubMed
- Harris IA, Kirwan DP, Peng Y, et al. Increased early mortality after total knee arthroplasty using conventional instrumentation compared with technology-assisted surgery: an analysis of linked national registry data. BMJ Open. 2022 May 31;12(5):e055859. doi: 10.1136/bmjopen-2021-055859. PMID: 35641007 PubMed
- Shan L, Shan B, Suzuki A, et al. Intermediate and long-term quality of life after total knee replacement: a systematic review and meta-analysis. J Bone Joint Surg Am. 2015;97(2):156-68. PMID: 25609443 PubMed
- Lindberg MF, Miaskowski C, Rustøen T, Rosseland LA, Cooper BA, Lerdal A. Factors that can predict pain with walking, 12 months after total knee arthroplasty. Acta Orthop. 2016; 87: 600-6. PMID: 27658970 PubMed
- Pua YH, Poon CL, Seah FJ, Thumboo J, Clark RA, Tan MH, Chong HC, Tan JW, Chew ES, Yeo SJ. Predicting individual knee range of motion, knee pain, and walking limitation outcomes following total knee arthroplasty. Acta Orthop. 2019 Apr;90(2):179-186. doi: 10.1080/17453674.2018.1560647. PMID: 30973090 PubMed