Brudd i tå
Brudd i en tå er forholdsvis vanlig. Brudd i de minste tærene er ca fire ganger vanligere enn brudd i stortåen. I de aller fleste tilfeller gror slike brudd uten spesielle tiltak.

Sist oppdatert:
7. mars 2023
Foten
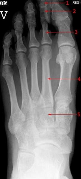
Foten består av totalt 26 bein. I bakfoten finnes hælbeinet (calcaneus) og ankelbeinet (talus). I midtfoten finnes båtbeinet (naviculare), kube-beinet (cuboideum) og tre såkalte cuneiforme-bein. Fremfoten består av fem mellomfotsbein (metatarser) og 14 tåbein (falanger). Rørknokler som metatarser og falanger har en bakre (proksimal) og en fremre (distal) ende. Den midtre delen av rørknoklene er smal og lang (skaftet), og de ytre delene er fortykkede. Den proksimale enden kalles basis, og den distale benevnes caput. Se tegninger nedenfor:


Ca. 10 prosent av alle brudd forekommer i foten.
Diagnosen

Brudd i foten skyldes en eller annen form for skade. Det oppstår smerter, hevelse og nedsatt funksjon. Ved undersøkelse kan man se hevelse, hudblødning, eventuelt skjevstilling eller åpent sår. Legen kan påvise ømhet, eventuelt ustabilitet og "knitring" mellom bruddendene. Bevegelsesutslag og leddfunksjon blir testet. Det er viktig at legen også kontrollerer sirkulasjonen og nervefunksjonene i foten.
Røntgen bekrefter diagnosen. Brudd i fotens metatarser og falanger kan være vanskelige å påvise hos barn på grunn av de mange vokstsentrene. I slike tilfeller er det nødvendig å sammenligne med bilder av den andre foten. Annen bildediagnostikk kan noen ganger være nødvendig, eks. scintigrafi, CT, MR, ultralyd.
Stressbrudd kan også forekomme i tær. De involverer typisk en proksimal falanks og forekommer helst hos idrettsfolk. Debuten er mer snikende enn ved andre typer brudd. Slike stressbrudd kan være vanskelig å se, så ved sterk mistanke om tilstanden kan det være aktuelt å gjøre en MR-undersøkelse.
Behandling
Målet er å sikre god tilheling og gjenvinning av normal funksjon. Førstehjelp kan begrense skadeomfanget: Nedkjøling, immobilisering, heve foten og smertestillende.
Vanligvis trengs ingen aktiv behandling eller immobilisering av tåbrudd, men brudd som står ute av stilling, må settes på plass. Etterpå kan det være aktuelt å teipe den skadde tåen til nabotåen (legg gas eller liknende mellom tærne) i 3 uker, eventuelt må denne immobiliseringen vare noe lengre ved ustabile brudd. Det vil gjerne være god smertestillende effekt av sko med stive såler. Selv om bruddet trenger 3-8 uker for å gro, vil smertene som regel forsvinne lenge før. Ingen rutinekontroll er påkrevd.
Brudd som går gjennom stortåens grunnledd, bør opereres dersom bruddstykkene står ute av stilling. De bør kontrolleres etter 1 og 4 uker. Pasienten kan ha smerter i opptil 1 år etter et brudd gjennom stårtåens grunnledd.
Andre brudd i foten
Komplikasjoner og prognose
Trykksyndrom (kompartmentsyndrom) som følge av kraftig hevelse i foten, er den alvorligste akutte komplikasjonen til brudd i foten. Vanligvis er det forbundet med midtfot-brudd som følge av en knusningsskade. Det medfører markert hevelse (tidlig) og skader på blodårer og nerver (sent).
Senere komplikasjoner er slitasjeforandringer, manglende tilheling (pseudartrose), ustabil fot og/eller gangvansker.
Prognosen er god dersom man blir behandlet riktig og med tilfredsstillende resultat i akuttfasen.
Vil du vite mer
Dette dokumentet er basert på det profesjonelle dokumentet Metatarsbrudd . Referanselisten for dette dokumentet vises nedenfor
- Cakir H, Van Vliet-Koppert ST, Van Lieshout EM, et al. Demographics and outcome of metatarsal fractures. Arch Orthop Trauma Surg. 2011 Feb;131(2):241-5. PMID: 20714904 PubMed
- Grün W, Luo E, Pozzessere E, et al. Foot Malalignment and Proximal Fifth Metatarsal Fractures. Foot Ankle Int. 2025 May;46(5):561-570. PMID: 40077926 PubMed
- Straus SA, Henry JD, Clements JR. Metatarsal Fractures. Clin Podiatr Med Surg. 2024 Jul;41(3):379-389. PMID: 38789159. PubMed
- Petrisor BA, Ekrol I, Court-Brown C. The epidemiology of metatarsal fractures. Foot Ankle Int. 2006 Mar;27(3):172-4. PMID: 16539897 PubMed
- Lawrence SJ, Botte MJ. Jones' fractures and related fractures of the proximal fifth metatarsal. Foot Ankle. 1993 Jul-Aug;14(6):358-65. PMID: 8406253 PubMed
- Rammelt S, Heineck J, Zwipp H. Metatarsal fractures. Injury. 2004 Sep;35 Suppl 2:SB77-86. PMID: 15315882. PubMed
- Bušková K, Bartoníček J, Rammelt S. Fractures of the Base of the Fifth Metatarsal Bone: A Critical Analysis Review. JBJS Rev. 2021 Oct 21;9(10). PMID: 34673663 PubMed
- Coughlin MJ, Saltzman CL, Anderson RB, Mann RA, eds. Coughlin and Mann’s Surgery of the Foot and Ankle. 10th ed. Philadelphia: Elsevier; 2024.
- Lintz F, Grün W, Pozzessere E, et al. Fifth Metatarsal Stress Fractures Are Associated With Increased Bone Density and Altered Alignment on Weightbearing CT. Clin Orthop Relat Res. 2026 Jan 1;484(1):81-94. PMID: 40658443 PubMed
- Poutoglidou F, van Groningen B, McMenemy L, et al. Acute Lisfranc injury management. Bone Joint J. 2024 Dec 1;106-B(12):1431-1442. PMID: 39615511 PubMed
- Sarpong NO, Swindell HW, Trupia EP, Vosseller JT. Republication of "Metatarsal Fractures". Foot Ankle Orthop. 2023 Aug 6;8(3):24730114231193428. PMID: 37566699 PubMed
- Pettersen PM, Radojicic N, Grün W, et al. Proximal Fifth Metatarsal Fractures: A Retrospective Study of 834 Fractures With a Minimum Follow-up of 5 Years. Foot Ankle Int. 2022 May;43(5):602-608. PMID: 35125016 PubMed
- Baumbach SF, Urresti-Gundlach M, Böcker W, et al. Results of Functional Treatment of Epi-Metaphyseal Fractures of the Base of the Fifth Metatarsal. Foot Ankle Int. 2020 Jun;41(6):666-673. PMID: 32100555 PubMed