Brudd i leggen
De to bena i leggen, skinnbeinet og leggbeinet, kan brekke hver for seg eller samtidig og på ulike steder. Ofte kreves operativ behandling for å oppnå et godt resultat.

Sist oppdatert:
5. juli 2022
Leggen og leggbrudd
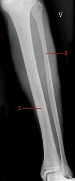
Tibia og fibulaLeggen består av to bein, skinnbeinet (tibia) og leggbeinet (fibula). Tibia er det kraftige beinet som vi ser som en skarp kant på forsiden av leggen. Fibula befinner seg på yttersiden av leggen og kjennes lett like nedenfor kneet. Begge bena inngår i kneleddet og ankelleddet. Både fibula og tibia er utsatte for brudd i kneleddet og i ankelleddet, disse bruddtypene regnes dog ikke som leggbrudd.
I et norsk sykehusmateriale som omfattet en befolkning på 180 000, ble omtrent 100 leggbrudd behandlet årlig. I tillegg behandles en del brudd som står i god stilling (ikke-dislokerte) poliklinisk og på legevakten. Brudd i leggen kan være isolerte brudd av fibula eller tibia, eller brudd som omfatter begge benene. Bruddene kan være tverr-, skrå-, spiral- eller knusnings-brudd. I tillegg kommer tretthetsbrudd og brudd på grunn av underliggende annen sykdom.
Skademekanismer
- Tverrbrudd og korte skråbrudd forårsakes av direkte vold eller som støvelkantbrudd ved slalåmulykker
- Spiralbrudd oppstår som oftest ved indirekte vold som ved rotasjonsskade
- Isolert fibulabrudd ses etter direkte skade mot leggens ytterside, eller ved kraftig innovervridning ("forstuing") i ankelen
- Knusningsbrudd oppstår ved kraftige ulykker som f.eks. trafikkulykke
- Tretthetsbrudd kan oppstå ved langvarig monoton belastning
- Bensvulst kan forårsake brudd
Diagnosen

Leggbrudd hos voksne ses stort sett bare etter store skader, men barn kan få brudd selv ved mindre skader. Hos barn kan det være vanskelig å finne årsaker til skaden, men det må alltid undersøkes for leggbrudd hos barn som ikke vil belaste beinet.
Typiske tegn på leggbrudd er smerter, hevelse, manglende evne til å belaste beinet, skjeivstilling, forkortning samt instabilitet. I tillegg forekommer åpne brudd med hudskader nokså hyppig ved leggbrudd. Det er alltid en risiko ved leggbrudd for at huden kan trues av trykkskade dersom bruddbiter trykker mot huden.
Ved legeundersøkelsen er det viktig å kontrollere at det ikke er oppstått skade på blodårer eller nerver. Leggbrudd kan også forårsake betydelig hevelse i leggen, noe som kan stanse blodforsyningen eller gi nerveskader. Dette gir et såkalt muskellosjesyndrom som kan gi store smerter, nummenhet ut i foten, manglende aktiv bevegelse av tær og store smerter ved passiv bevegelse av tær (strekk av muskler og sener). Det er også viktig ved legeundersøkelsen å forsikre seg om at det ikke foreligger skade på ankel- eller kneledd.
Røntgenundersøkelsen omfatter hele leggen, kneet og ankelen. Man ser etter fremmedlegemer, som kan forekomme ved åpne skader. Røntgenbildet vurderes med tanke på om bruddet kan bli stabilt uten operasjon. Særlig spiralbrudd vil ofte kreve operasjon.
Behandlingen
Målet med behandlingen er å få satt bruddet tilfredsstillende på plass, få avstivet det og unngå fremtidige komplikasjoner. Behandlingen foregår vanligvis på sykehus eller poliklinikk (legevakt). Dersom det ikke foreligger større feilstillinger, er behandlingen konservativ. Operasjon er påkrevd ved større feilstillinger, ved åpne brudd med store bløtdelsskader, ved knusningsbrudd og ved brudd inne i leddet.
Konservativ behandling
Bruddet settes på plass mens du er i narkose. Deretter anlegges høy gips fra lår til tær med lett bøyd kne og 90 gr i ankelen. Ved bløtdelsskader lukkes ikke gipsen før etter 2 døgn. Det lages eventuelt en kile i gipsen for å korrigere vinkelfeilstillinger. Behandlingen er gips i inntil 3 måneder, avhengig av bruddets stabilitet. Når bruddet er stabilt nok til å tåle vektbæring, kan gipsen erstattes av en tilpasset ortose (en slags korsett). Ortose kan erstatte gips tidligere i noen tilfeller. Ortosen og bruddet kontrolleres med 3-4 ukers mellomrom - eventuelt brukes en mindre polstret gips med gåklakk i 4-6 uker.
Kontroll gjøres med røntgen 1 uke og 2 uker etter skaden, videre ved gipsbytte og ved gipsfjerning. Du må ikke drive kontaktidrett før 3 mnd etter gipsfjerning.
Operativ behandling
Ved åpent leggbrudd må sårene behandles. Små sår lukkes med vanlig rengjøring og sammensying. Større sår kan dekkes med ulike former for transplantater. Amputasjon er svært sjelden dersom det ikke i tillegg foreligger komplett nerveskade (n. tibialis post.) eller ikke reparerbar karskade. Operativ behandling benyttes ved større åpne og kompliserte brudd, ved knusningsbrudd eller dersom feilstilling oppstår ved gipsbehandling. Ulike metoder inkluderer margnagling, utvendig fiksasjon og beintransplantasjon. Ved store sårskader eller sår som har stått åpent mer enn 8 timer, anvendes utvendig fiksasjon. Oppfølging og kontroller avtales i det enkelte tilfelle.
Komplikasjoner og prognose
Karskader kan gi sirkulasjonsforstyrrelser og varige sene- og muskelskader. Blodpropp i leggen kan oppstå. Infeksjon med beinbetennelse (osteomyelitt) forekommer særlig ved åpne brudd (gjennom huden). Nerveskader kan også inntreffe. Forsinket tilheling og manglende tilheling (pseudartrose) kan ses både etter konservativ og operativ behandling. Forøvrig avhenger prognosen av type brudd og behandling.
Video
- Ankellaske - gips for ferske brudd i leggen hvor hevelse er et problem
- Sirkulær ankelgips - gips for leggbrudd hvor hevelse ikke lenger er et problem
Dette dokumentet er basert på det profesjonelle dokumentet Leggbrudd . Referanselisten for dette dokumentet vises nedenfor
- Norvell JG. Tibia and fibula fracture. Medscape, last updated Nov 30, 2017. emedicine.medscape.com
- Lønne G, Nerhus TK. Metodebok i Skadebehandling, 4. utg. Legeforlaget AS, Norge, 2006.
- Louie KW. Management of open fractures of the lower limb. BMJ. 2009 Dec 17. 339:b5092.
- Vallier HA, Current Evidence: Plate Versus Intramedullary Nail for Fixation of Distal Tibia Fractures in 2016. J Orthop Trauma 2016;30: 2-6. PubMed
- Kuo LT, Chi CC, Chuang CH, Surgical interventions for treating distal tibial metaphyseal fractures in adults. Cochrane Database Syst Rev 2015;30(3): CD010261 Cochrane (DOI)
- Taylor RM, Sullivan MP, Mehta S. Acute compartment syndrome: obtaining diagnosis, providing treatment, and minimizing medicolegal risk. Curr Rev Musculoskelet Med. 2012 Sep. 5 (3):206-13.
- Vallier HA, Cureton BA, Patterson BM, Factors influencing functional outcomes after distal tibia shaft fractures. J Orthop Trauma 2012;26(3): 178-83. PubMed
- Robertson GA, Wood AM, Return to Sport After Tibial Shaft Fractures: A Systematic Review. Sports Health 2016;8(4): 324-30. PubMed