Brudd i båtbeinet (skafoidbeinet)
Brudd i båtbeinet kan være vanskelig å påvise tidlig i forløpet, og det kan kreve langvarig behandling for å unngå varige skader.

Sist oppdatert:
15. des. 2025
Hva er brudd i båtbeinet?
Brudd i båtbeinet, skafoidbeinetBåtbeinet, som på fagspråket kalles skafoidbeinet, er et av beina i håndroten. Ved fall mot utstrakt hånd eller ved direkte slag mot hånden, kan det oppstå brudd i dette beinet. Det gir ømhet og smerter i håndroten, og en dyp, vag smerte kan kjennes på tommelsiden av håndleddet. Smerten som ofte er mild, forverres ved å gripe eller klemme med hånden.
Skafoidbrudd er viktige å oppdage fordi forsinket diagnose kan gi en rekke uheldige utfall som manglende sammenvoksing av bruddet, forsinket tilheling, svekket gripestyrke, nedsatt bevegelighet og utvikling av slitasjegikt (artrose).
Slike brudd opptrer ofte hos yngre personer, oftest menn i alder 15-30 år. De utgjør 60-90 prosent av alle brudd i håndroten. Skafoidbrudd er sjeldne blant barn og eldre personer på grunn av den relative svakheten i nedre del av spolbeinet (radius) sammenlignet med skafoideum i disse aldersgruppene.
Diagnosen
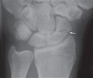
Etter skaden oppstår det umiddelbart smerter. Ofte ses ingen hevelse, men blødning i vevet kan føre til blålig misfarging på skadestedet etter noen dager. Legen får mistanke om tilstanden basert på skademekanismen, smertebildet og funn ved undersøkelsen. Typisk vil det fremkalle smerter hvis man klemmer i "snusdåsen" ved roten av tommelen - skafoidbeinet ligger like under huden her. Røntgen kan noen ganger bekrefte at det foreligger brudd (se røntgenbilde).



Imidlertid er bruddet ofte usynlig på røntgenbilder ved første undersøkelse. Hvis mistanken om brudd er sterk, men røntgenbildene er normale, henvises det vanligvis til CT eller MR for rask avklaring.
Et alternativ, for eksempel ved lang reisevei eller manglende tilgang på CT/MR, er å gipse hånden i to uker før det tas nye røntgenbilder. Etter to uker har det skjedd prosesser i beinet som gjør det lettere å se et eventuelt brudd på røntgen.
Grunnen til at man har lav terskel for å gipse på mistanke om båtbeinsbrudd, er at manglende behandling den første tiden kan føre til alvorlige skader på båtbeinet og livslange plager i ettertid. Så selv om det viser seg at bare 1 av 6 pasienter som man mistenker for å ha båtbeinsbrudd, faktisk viser seg å ha det, så rettferdiggjør denne eventuelle dystre prognosen denne formen for overbehandling.
Behandling
Tidlig diagnose, riktig immobilisering og henvisning til ekspertise dersom det er påkrevd, reduserer risikoen for et dårlig resultat. Risikoen for tap av blodforsyning til beinet (avaskulær nekrose) tilsier lang immobiliseringstid.
Dersom det ikke er store forskyvninger i bruddspalten, er behandlingen å gipse armen. Det legges da gips fra hånden og opp til albuen: Håndleddet skal stå i en bestemt posisjon.
Brudd i båtbeinet gror ikke alltid like godt som andre beinbrudd. Dette betyr at gipsbehandlingen kan vare lenger enn det som er vanlig ved andre bruddtyper. Det er avgjørende å forsikre seg om at bruddet gror skikkelig for å unngå fremtidige problemer med hånden. Det er vanlig med en kontroll etter 2 uker og 6 uker, deretter hver 4. uke til bruddet har grodd.
Kompliserende forhold
Noen ganger er bruddspalten så vid, eventuelt forskjøvet, at legene finner det nødvendig å operere. Da festes bruddet med en skrue eller pinne.
Også hvis bruddet ikke er grodd med gipsbehandling, kan operasjon komme på tale. Derfor er det helt avgjørende at man kommer til de avtalte kontrollene.
Senvirkninger
Gipsbehandlingen skal fortsette til bruddet er tilhelet. Men det kan være likeså vanskelig å bekrefte tilheling av skafoideum som det kan være å stille diagnosen primært. Dette kan gi pasienten en opplevelse av at behandlingstiden avgjøres av tilfeldigheter, og det er fornuftig at pasienten er forberedt på denne usikkerheten tidlig i forløpet.
Med god behandling og oppfølging blir resultatet bra i mer enn 95 prosent av tilfellene. Men dersom bruddet ikke tilheles skikkelig, kan det oppstå varige skader i håndroten. Det kan både gi smerter, stivhet og dårligere funksjon i hånden. Noen ganger kan skaden på sikt føre til at en nerve blir klemt av arrvev (kanalis karpi syndrom).
Video
Dette dokumentet er basert på det profesjonelle dokumentet Skafoideumbrudd . Referanselisten for dette dokumentet vises nedenfor
- Sabbagh MD, Morsy M, Moran SL. Diagnosis and Management of Acute Scaphoid Fractures. Hand Clin. 2019 Aug;35(3):259-269. PMID: 31178084 PubMed
- Valen B. Behandling av fraktur i handrota. Tidsskr Nor Legeforen 2009; 129: 183-5. Tidsskrift for Den norske legeforening
- Duckworth AD, Ring D, McQueen MM. Assessment of the suspected fracture of the scaphoid. J Bone Joint Surg Br 2011; 93(6): 713-9. PMID: 21586765. PubMed
- Tibrewal S, Jayakumar P, Vaidya S, Ang SC. Role of MRI in the diagnosis and management of patients with clinical scaphoid fracture. Int Orthop. 2011 Sep 7.
- Mallee WH, Wang J, Poolman RW, et al. Computed tomography versus magnetic resonance imaging versus bone scintigraphy for clinically suspected scaphoid fractures in patients with negative plain radiographs. Cochrane Database Syst Rev 2015; 6: CD010023. pmid:26045406 PubMed
- Parvizi J, Wayman J, Kelly P, Moran CG. Combining the clinical signs improves diagnosis of scaphoid fractures. A prospective study with follow-up. J Hand Surg Br 1998; 23(3): 324-7. PubMed
- Amrami KK, Frick MA, Matsumoto JM. Imaging for Acute and Chronic Scaphoid Fractures. Hand Clin. 2019 Aug;35(3):241-257. PMID: 31178083 PubMed
- Clementson M, Björkman A, Thomsen NOB. Acute scaphoid fractures: guidelines for diagnosis and treatment. EFORT Open Rev. 2020 Feb 26;5(2):96-103. PMID: 32175096 PubMed
- Murthy NS. The role of magnetic resonance imaging in scaphoid fractures. J Hand Surg Am 2013; 38(10): 2047-54. PubMed
- Yin ZG, Zhang JB, Kan SL, et al. Diagnostic accuracy of imaging modalities for suspected scaphoid fractures: meta-analysis combined with latent class analysis. J Bone Joint Surg Br 2012; 94: 1077-85. PubMed
- Furunes H, Vandvik PO. Gips ved mistanke om skafoidfraktur. Tidsskr Nor Legeforen 2009; 129: 177-9. Tidsskrift for Den norske legeforening
- McQueen MM, Gelbke MK, Wakefield A, et al. Percutaneous screw fixation versus conservative treatment for fractures of the waist of the scaphoid. J Bone Joint Surg Br 2008; 90: 66-71. PubMed
- Dias JD, Brealey SD, Fairhurst C, et al. Surgery versus cast immobilisation for adults with a bicortical fracture of the scaphoid waist (SWIFFT): a pragmatic, multicentre, open-label, randomised superiority trial. Lancet 2020. doi:10.1016/S0140-6736(20)30931-4 DOI
- Clementson M, Jørgsholm P, Besjakov J, Tet al. Conservative Treatment Versus Arthroscopic-Assisted Screw Fixation of Scaphoid Waist Fractures--A Randomized Trial With Minimum 4-Year Follow-Up. J Hand Surg Am. 2015 Jul;40(7):1341-8. PMID: 25913660 PubMed
- Clementson M, Jørgsholm P, Besjakov J, et al. Union of Scaphoid Waist Fractures Assessed by CT Scan. J Wrist Surg. 2015 Feb;4(1):49-55. PMID: 25709879 PubMed
- Yin Z, Zhang J, Kan S, Wang P. Treatment of acute scaphoid fractures: systematic review and meta-analysis. Clin Orthop Relat Res 2007; Feb 15; e-pub.
- Buijze GA, Goslings JC, Rhemrev SJ, et al; CAST Trial Collaboration; Cast immobilization with and without immobilization of the thumb for nondisplaced and minimally displaced scaphoid waist fractures: a multicenter, randomized, controlled trial. J Hand Surg Am. 2014;39(4):621-627 PubMed
- Symes TH, Stothard J. A systematic review of the treatment of acute fractures of the scaphoid. J Hand Surg Eur Vol 2011; 36(9): 802-10. PubMed