Albuebrudd i caput radii
Albuebrudd kan forårsake ulike typer brudd i overarmsbenet og underarmsbena. Brudd i caput radii, hodet på spolbenet, er den hyppigste typen albuebrudd hos voksne.

Sist oppdatert:
6. juli 2022
Albuen og caput radii
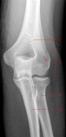
Underarmen består av to bein: spolebeinet (radius) på tommelsiden og albuebeinet (ulna) på lillefingersiden. Disse to beina danner ledd med overarmsbeinet (humerus) i albuen og med håndrotsbeina i håndleddet. Beina holdes fast sammen av bindevev. Se røntgenbilder av et normalt albueledd forfra og fra siden nedenfor:


Det skiveformede radiushodet (caput radii) danner ledd med capitellum på humerus. Brudd i radiushodet kan inndeles i flere undertyper (Mason type I til IV) og er det hyppigste (30 prosent) albuebruddet blant voksne.
Skademekanisme
Som regel oppstår brudd i radiushodet etter fall på utstrakt arm, gjerne med armen innadrotert (pronert). Det gir akutt trykk mot radiushodet, og det kan brekke. Sjeldnere kan skaden skyldes direkte slag mot albuen.
Diagnosen
Det oppstår umiddelbart smerte og etter hvert hevelse i området. Ved trykk mot øvre del av radius er det ømhet. Smerten øker ved utover- eller innoverrotasjon av underarmen. Legen må undersøke om det foreligger samtidig skade av skulderledd og håndledd. Det må også utelukkes skade på nerver og blodåre, selv om dette er sjelden ved brudd i caput radii.
Røntgen vil kunne bekrefte diagnosen, men brist kan være vanskelig å se. Noen ganger er det nødvendig å utfylle undersøkelsen med CT-bilder.
Behandling
Målet med behandlingen er å oppnå tilheling av bruddet i god stilling og gjenvinning av normal funksjon. Avhengig av typen brudd er behandlingen enten konservativ eller operativ. Brudd som står i god stilling, eller som ikke medfører feilstillinger i leddet, behandles konservativt. Alle andre brudd opereres.
Konservativ behandling
Vanlig behandling er avlastning i fatle eller liknende i inntil 1 uke. Deretter starter du forsiktig med bevegelsestrening så snart smertene tillater det. Du bøyer og strekker, roterer innover og utover i albuen.
Kontroll utføres vanligvis etter 1 og 3 uker. Hvis det er mistanke om sperret bevegelse ved 3-ukers kontrollen, vurderes operativ behandling.
Operativ behandling
Vanligvis velger man å fjerne radiushodet. I spesielle tilfeller fester man et eventuelt større avbrekt beinstykke med miniskruer eller pinner. Det er nå stadig vanligere å erstatte radiushodet med en protese.
Prognose
Enkelte får redusert evne til å strekke ut og rotere i underarmen. Dersom radiushodet fjernes, får noen en skjevstilling i albuen (vinklet utover). Noen kan få plager fra håndleddet etter operasjonen, men dette er oftest forbigående. De fleste pasientene blir fornøyde med resultatet.
Dette dokumentet er basert på det profesjonelle dokumentet Radiusbrudd, caput . Referanselisten for dette dokumentet vises nedenfor
- Rabin SI. Radial head fractures and dislocations. Medscape, last updated Apr 20, 2020. emedicine.medscape.com
- Iannuzzi NP, Leopold SS, In brief: the Mason classification of radial head fractures. Clin Orthop Relat Res 2012;470: 1799-802. PubMed
- Duparc F, Merlet MC, Prevention and management of early treatment failures in elbow injuries. Orthop Traumatol Surg Res 2019; 105(1S): S75-S87. PMID: 30591417. PubMed
- Struijs PA, Smit G, Steller EP. Radial head fractures: effectiveness of conservative treatment versus surgical intervention. A systematic review. Arch Orthop Trauma Surg. 2007 Feb. 127(2):125-30.
- Ruchelsman DE, Christoforou D, Jupiter JB, Fractures of the radial head and neck. J Bone Joint Surg Am 2013;95: 469-78. PubMed
- Zwingmann J, Welzel M, Dovi-Akue D, Schmal H, Südkamp NP, Strohm PC, Clinical results after different operative treatment methods of radial head and neck fractures: a systematic review and meta-analysis of clinical outcome. Injury 2013;44: 1540-50. PubMed
- Lønne G, Nerhus TK. Metodebok i Skadebehandling, 4. utg. Legeforlaget AS, Norge, 2006.
- Gao Y, Zhang W, Duan X, et al. Surgical interventions for treating radial head fractures in adults. Cochrane Database Syst Rev 2013 May 31;5:CD008987. The Cochrane Library
- Ikeda M, Sugiyama K, Kang C, Takagaki T, Oka Y. Comminuted fractures of the radial head. Comparison of resection and internal fixation. J Bone Joint Surg Am 2005; 87: 76-84. PubMed
- Vannabouathong C, Akhter S, Athwal GS, Moro J, Bhandari M, Interventions for displaced radial head fractures: network meta-analysis of randomized trials. J Shoulder Elbow Surg 2019 Mar;28(3):578-586. PMID: 30626538.
- Rosenblatt Y, Athwal GS, Faber KJ. Current recommendations for the treatment of radial head fractures. Orthop Clin North Am. 2008 Apr. 39(2):173-85, vi.