Sarkoidose
Sarkoidose kan ramme mange organer, men først og fremst lungene. Knuteliknende betennelser finnes spredt. Opptil halvparten er uten symptomer, men noen vil trenge langvarig behandling med kortikosteroider.

Sist oppdatert:
25. mai 2023
Hva er sarkoidose?
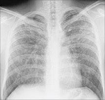
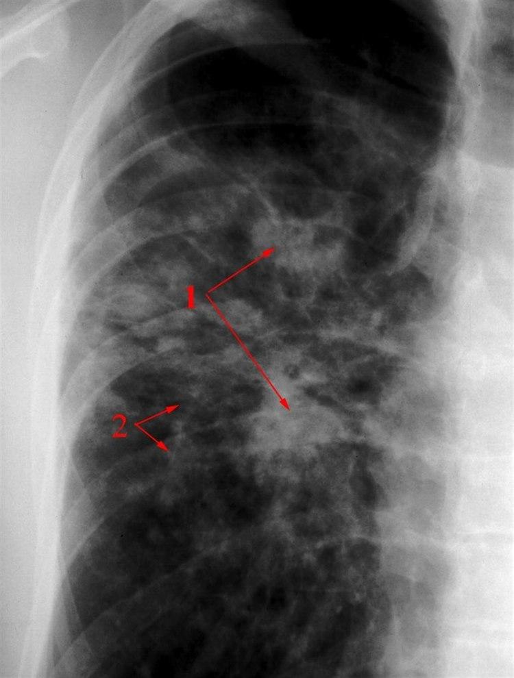
Sarkoidose i lungeneSarkoidose er en sykdom som kan angripe mange organer i kroppen. Den typiske forandringen er en knuteliknende betennelse (granulomatøs betennelse) som kan finnes i ulike organer. Sarkoidose finnes som oftest i lungene og i lymfeknuter i lungehulen (hiluskjertlene), men forandringer utenfor brysthulen er hyppige. De vanligste lokalisasjonene der man finner betennelsen, er foruten i lungene, i hud, øyne, sentralnervesystemet, skjelettet og hjertet.
Sykdommen kan starte akutt eller utvikle seg langsomt med få eller ingen symptomer over tid. I de fleste tilfeller er sarkoidose en selvhelbredende sykdom.
Forekomst
Sarkoidose er en relativt sjelden sykdom. Forekomsttallene er usikre, dels fordi en betydelig andel av sykdomstilfellene er uten symptomer, dels fordi de diagnostiske retningslinjene varierer i ulike studier. Sykdommen oppdages som regel hos personer mellom 30 og 60 år, og den forekommer kanskje litt hyppigere hos kvinner enn hos menn.
Forekomsten på verdensbasis er høyest i nordiske land og hos afroamerikanere i USA. I Sverige har man funnet at det totalt er ca. 160 tilfeller per 100 000 innbyggere. Antall nye tilfeller per år i Sverige er rundt 12 per 100 000 per år.
Årsaker
Årsaken er ukjent, men både arvelige og miljømessige faktorer synes å spille en rolle. Flere aktuelle gener er blitt lokalisert. Leting etter en mulig infeksiøs årsak har vært mislykket. Sarkoidose er ikke en ondartet sykdom, men sykdommen regnes som en forstyrrelse i immunsystemet. Dog vet man ikke hvilke stoffer som utløser immunreaksjonen. Kjennetegnet på sykdommen er granulomene, knuter med betennelsesforandringer. Som nevnt er lungene det organet som oftest er angrepet.
Hos omtrent fem prosent av sarkoidose-pasientene er nervesystemet merkbart angrepet. Oftest oppstår forandringene i hjernenervene, spesielt synsnerven, men også ryggmargen kan være angrepet. Nevrosarkoidose er en tilstand med stor variasjon i sykdomsbildet fra pasient til pasient og uten entydige diagnostiske markører. Men diagnosen er viktig å stille fordi sykdommen kan behandles.
Hos pasienter med sarkoidose finnes granulomer i hjertemuskelen hos 25 prosent, mens åpenbare tegn på hjerte-sarkoidose ses bare hos cirka fem prosent. Slike tegn kan være hjerteposebetennelse (perikarditt), hjerterytmeforstyrrelser, klaffesvikt, utposninger på hjertekammer, hjertesvikt og plutselig hjertedød. Riktig behandling bedrer prognosen.
Det kan forekomme andre tilfeller av sarkoidose i familien.
Symptomer og tegn
Sykehistorien avhenger av omfanget og graden av betennelse i involverte organ. 30 til 50 prosent er symptomfrie og oppdages tilfeldig ved at det av ulike grunner blir tatt et røntgenbilde av lungene. Hos pasienter med symptomer skiller man mellom akutt og smygende oppstart av sykdommen. Lungene er involvert hos mer enn 90 prosent av pasientene, og hyppige symptomer er derfor hoste, tungpusthet og diffuse brystsmerter. En tredjedel av pasientene har uspesifikke symptomer som feber, slapphet, vekttap og nedsatt allmenntilstand. Det kan også foreligge symptomer og plager fra hud, lever, nyre, øyne, nerver, skjelettet eller hjertet.
Akutt sarkoidose
To sykdomsbilder peker seg ut:
Löfgrens syndrom. Tilstanden er karakterisert ved feber, leddsmerter, muskelsmerter, vekttap, slapphet og tungpust som har utviklet seg over noe tid. Det kan også være leddbetennelse med hevelse og belastningssmerter, særlig i ankelledd/fotledd. Ved hudpåvirkning er det klassiske symptomet såkalt knuterosen. Det er et smertefullt, rødt og sirkulært utslett på fremsiden av leggen (ofte over skinnebeinet).
Forhøyet blodsenkning (SR) og røntgen av lungene viser forstørrede kjertler på begge sider i mellomrommet mellom lungene (hilusglandlene).
Herfords syndrom. En tilstand karakterisert ved at øynene kan bli smertefulle med tåkesyn, noe som skyldes betennelse på regnbuehinnen (iridosyklitt). Noen ganger kan det være det eneste tegn på akutt sarkoidose. I andre tilfeller kan det foreligge betennelse i spyttkjertel (parotitt), ansiktslammelse (facialisparese) og/eller forstørrede hilusglandler.
Sarkoidose med smygende sykdomsdebut
Ved smygende sykdomsdebut kan pasientene ha symptomer på en lengre tids tiltakende tungpusthet ved anstrengelse, tretthet, hoste, diffuse brystsmerter og eventuelt vekttap.
Kronisk sarkoidose
Dersom det foreligger kliniske tegn på sykdommen i mer enn to år, betegnes tilstanden som kronisk. I denne gruppen har lungeforandringene vanligvis rukket å bli mer uttalte. Forstørrede lymfeknuter inne i lungehulen og betennelsesforandringer i lungevevet er vanlig. Hos to tredjedeler går lungeforandringene spontant tilbake, hos én tredjedel vedvarer de.
Tilstanden kan også presentere seg med symptomer fra hud, øyne, perifere nerver, lever, nyrer eller hjerte. Økende lungefibrose kan hos noen få lede til alvorlige pustevansker. Angrep av nervesystem, hjerte, skjelett og øyne, samt høyt kalsium forekommer også.
Diagnostikk
Sarkoidose i lungerSymptomene kan gi mistanke, men oftest vil det være røntgenbilder som viser de typiske forandringene i lungene (se bilde). For å kunne stille en sikker diagnose er det likevel nødvendig med mikroskopisk undersøkelse av en vevsprøve fra lungene, noe som vanligvis blir tatt i forbindelse med bronkoskopi. På bakgrunn av røntgenbildene kan sarkoidose inndeles i ulike stadier fra stadium I (minst uttalt) til stadium IV (mest uttalt).
Andre aktuelle bildediagnostiske metoder som brukes i utredningen av mistenkt sarkoidose, er CT, MR og PET.
Behandling
Sarkoidose som bare påvirker lungene, er ofte selvhelbredende. For mange vil det ikke være nødvendig med noen behandling av sykdommen. Det anbefales imidlertid nøye overvåkning av eventuelle symptomer, røntgen av lungene og blodprøver med 3 til 6 måneders intervall.
Löfgrens syndrom er ofte selvhelbredende og behøver vanligvis ingen behandling.
Det foreligger kun et fåtall kvalitetsstudier av medikamentell behandling av sarkoidose, slik at behandlingsanbefalinger ofte baseres på erfaringer fra andre betennelsessykdommer (inflammatoriske sykdommer). Ved alle former for sarkoidose er kortikosteroider førstevalg, men i økende grad brukes biologiske medisiner.
Ved lungesarkoidose som gir plagsomme symptomer, er kortikosteroider (prednisolon) hovedbehandlingen. Internasjonalt er det imidlertid forskjeller i hvordan slik behandling gjennomføres.
Prednisolonbehandling er en langvarig behandling som strekker seg fra omtrent 3 måneder og opptil ett år. Spesielt ved sykdom utenfor lungene kan behandlingen noen ganger bli langvarig. Kortikosteroider er også hovedbehandlingen ved sarkoidose utenfor lungene.
I noen tilfeller kan det være nødvendig å gi tilleggsmedisiner eller alternative medisiner. Antimalariamidler og cellegift har blitt brukt som kortisonsparende medikamenter, og nye medikamentgrupper som biologiske medisiner prøves nå ut. Metotreksat virker kortisonsparende og er aktuelt ved kronisk sarkoidose der kortisonbehandling alene ikke har ført fram. En rekke biologiske legemidler for behandling av inflammatoriske sykdommer har kommet ut på markedet de siste årene.
Prognose
Avhengig av hvilke organer som påvirkes, vil forløpet til sykdommen være forskjellig. For to av tre pasienter er dette en sykdom som etter en tid vil ha helbredet seg selv. Ved akutt sarkoidose (Löfgrens eller Herfords syndrom) regner ekspertene at sykdommen går tilbake av seg selv innen 2 år, over 90 prosent er friske innen 1 år.
Hos opptil en tredjedel av pasientene må man regne med et kronisk sykdomsforløp. Opptil halvparten av dem vil utvikle varige sykdomsforandringer i lungene (fibrose) som medfører redusert lungekapasitet.
Sarkoidose er ikke en smittsom sykdom. Det kan være fornuftig å informere familie og venner om at du som følge av sykdommen, kan ha perioder da du har lett for å føle deg trett og slapp.
Dette dokumentet er basert på det profesjonelle dokumentet Sarkoidose . Referanselisten for dette dokumentet vises nedenfor
- Soto-Gomez N, Peters JI. Diagnosis and management of sarcoidosis. Am Fam Physician. 2016 May 15;93(10):840-850.
- Drent M, Crouser ED, Grunewald J. Challenges of Sarcoidosis and Its Management. N Engl J Med. 2021;385(11):1018-1032. PubMed
- Shinn J, Paauw DS. The Management of Sarcoidosis: A Primary Care Approach. Med Clin North Am. 2015;99:1123-48. doi: 10.1016/j.mcna.2015.05.008 DOI
- Grunewald J, Grutters JC, Arkema EV, Saketkoo LA, Moller DR, Müller-Quernheim J. Sarcoidosis published correction appears in Nat Rev Dis Primers. 2019 Jul 16;5(1):49. Nat Rev Dis Primers. 2019;5(1):45. PMID: 31273209 PubMed
- Stavem K. Sarkoidose. Norsk legemiddelhåndbok, sist oppdatert 20.07.2020. www.legemiddelhandboka.no
- Boeck C. Multiple benign sarcoid of the skin. J Cutan Genitourin Dis 1899; 17: 543-50. PubMed
- Norsk sarkoidose forening i samarbeid med Norsk forening for lungemedisin: Faglige retningslinjer for sarkoidose, 2022. Oversatt fra Svensk Lungmedicinsk Förenings Vårdprogram för Sarkoidos 2014 (oppdatert 2018 og 2021). Oversetter: Trond Bjørge. Språklig gjennomgang: Karin Saastad-Rühl. sarkoidose.no
- King TE. Clinical manifestations and diagnosis of pulmonary sarcoidosis. UpToDate, last updated Mar 24, 2022. www.uptodate.com
- Arkema EV, Cozier YC. Epidemiology of sarcoidosis: current findings and future directions. Ther Adv Chronic Dis 2018; 9(11): 227-240. pmid:30364496 PubMed
- Valeyre D, Prasse A, Nunes H, et al. Sarcoidosis. Lancet. 2014 Mar 29;383(9923):1155-67. pmid: 24090799 PubMed
- King TE. Treatment of pulmonary sarcoidosis: Initial therapy with glucocorticoids. UpToDate, last updated Jan 25, 2017. UpToDate
- Voortman M, Drent M, Baughman RP. Management of neurosarcoidosis: a clinical challenge. Curr Opin Neurol. 2019;32(3):475-483. PMID: 30865007 PubMed
- Birnie DH, Sauer WH, Bogun F, et al. HRS expert consensus statement on the diagnosis and management of arrhythmias associated with cardiac sarcoidosis. Heart Rhythm. 2014;11(7):1305–1323.
- Kouranos V, Sharma R. Cardiac sarcoidosis: state-of-the-art review. Heart 2021. doi:10.1136/heartjnl-2019-316442 DOI
- Sohn D-W, Park J-B. Cardiac sarcoidosis. Heart 2023. pmid:36631144 PubMed
- Brown F, Modi P, Tanner LS. Lofgren Syndrome. In: StatPearls. Treasure Island (FL): StatPearls Publishing; August 1, 2022.
- Sand M, Sand D, Thrandorf C. Cutaneous lesions of the nose. Head Face Med 2010. pmid:20525327 PubMed
- Dempsey OJ, Paterson EW, Kerr KM, Denison AR. Sarcoidosis. Clinical review. BMJ 2009; 339: b3206. BMJ (DOI)
- Tan JL, Fong HK, Birati EY, Han Y. Cardiac Sarcoidosis. Am J Cardiol. 2019;123(3):513-522. PMID: 30503798 PubMed
- Kraaijvanger R, Janssen Bonás M, Vorselaars ADM, Veltkamp M. Biomarkers in the diagnosis and prognosis of sarcoidosis: current use and future prospects. Front Immunol 2020;11:1443-1443. PubMed
- Ungprasert P, Carmona EM, Crowson CS, Matteson EL. Diagnostic Utility of Angiotensin-Converting Enzyme in Sarcoidosis: A Population-Based Study. Lung 2016; 194:91. PubMed
- Thillai M, Atkins CP, Crawshaw A, et al. BTS Clinical Statement on pulmonary sarcoidosis. Thorax 2021; 76:4. PubMed
- Sobic-Saranovic D, Artiko V, Obradovic V. FDG PET imaging in sarcoidosis. Semin Nucl Med. 2013;43(6):404–411.
- von Bartheld MB, Dekkers OM, Szlubowski A, et al. Endosonography vs conventional bronchoscopy for the diagnosis of sarcoidosis: the GRANULOMA randomized clinical trial. JAMA. 2013;309(23):2457–2464.
- Eurelings LEM, Miedema JR, Dalm VASH, et al. Sensitivity and specificity of serum soluble interleukin-2 receptor for diagnosing sarcoidosis in a population of patients suspected of sarcoidosis. PLoS One. 2019;14(10):e0223897. Published 2019 Oct 17. doi:10.1371/journal.pone.0223897 DOI
- Moor CC, Kahlmann V, Culver DA, Wijsenbeek MS. Comprehensive care for patients with sarcoidosis. J Clin Med 2020;9:390-390. PubMed
- Saketkoo LA, Russell AM, Jensen K, et al. Health-related quality of life (HRQoL) in sarcoidosis: diagnosis, management, and health outcomes. Diagnostics (Basel) 2021;11:1089-1089. PubMed
- Drent M, Costabel U, Crouser ED, Grunewald J, Bonella F. Misconceptions regarding symptoms of sarcoidosis. Lancet Respir Med 2021;9:816-818. PubMed
- Kamangar N. Sarcoidosis. Medscape, last updated Jun 20, 2019. emedicine.medscape.com
- Pawate S. Sarcoidosis and the Nervous System. Continuum (Minneap Minn). 2020;26(3):695-715. PMID: 32487903 PubMed
- Rahaghi FF, Baughman RP, Saketkoo LA, et al. Delphi consensus recommendations for a treatment algorithm in pulmonary sarcoidosis. Eur Respir Rev 2020;29:190146-190146. PubMed
- Spagnolo P, Rossi G, Trisolini R, Sverzellati N, Baughman RP, Wells AU. Pulmonary sarcoidosis. Lancet Respir Med. 2018;6(5):389-402. PMID: 29625772 PubMed
- Muthiah MP, Gamal AE. Sarcoidosis. BMJ Best Practice, last updated 28 Mar 2018. bestpractice.bmj.com
- Pande A, Culver DA. Knowing when to use steroids, immunosuppressants or biologics for the treatment of sarcoidosis. Expert Rev Respir Med 2020;14:285-298. PubMed
- Baughman RP, Lower EE. Treatment of Sarcoidosis. Clin Rev Allergy Immunol. 2015;49(1):79-92. PubMed
- Al-Kofahi K, Korsten P, Ascoli C, et al. Management of extrapulmonary sarcoidosis: challenges and solutions. Ther Clin Risk Manag. 2016;12:1623-1634. Published 2016 Nov 7. PMID: 27853374 PubMed
- Yang SJ, Salek S, Rosenbaum JT. Ocular sarcoidosis: new diagnostic modalities and treatment. Curr Opin Pulm Med. 2017;23(5):458-467. PubMed
- Weill D, Benden C, Corris PA, et al. A consensus document for the selection of lung transplant candidates: 2014—an update from the Pulmonary Transplantation Council of the International Society for Heart and Lung Transplantation. J Heart Lung Transplant. 2015;34(1):1–15.
- Ungprasert P, Crowson CS, Matteson EL. Risk of cardiovascular disease among patients with sarcoidosis: a population-based retrospective cohort study, 1976-2013. Eur Respir J. 2017. PMID: 28182567 PubMed
- Rossides M, Kullberg S, Askling J et al. Sarcoidosis mortality in Sweden: a population-based cohort study. Eur Respir J 2018. pmid:29467203 PubMed