Lungefibrose
Lungefibrose er en tilstand med arrdannelse i lungevevet. Symptomene kommer som oftest snikende og inkluderer tungpustethet og kronisk hoste ved anstrengelse.

Sist oppdatert:
19. aug. 2021
Hva er lungefibrose?
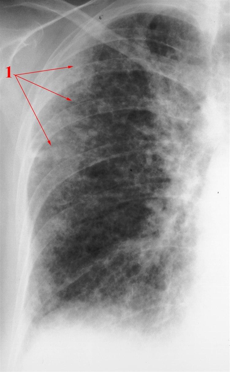
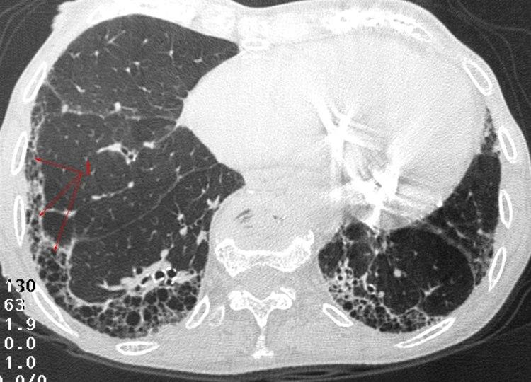
Lungefibrose (HRCT)Lungefibrose er en tilstand med betennelse og økt mengde bindevev (arrvev) i lungene. Arrdannelse er kroppens måte å reparere vevsskade på, ikke bare i lungene, men i hele kroppen. Det er sammenlignbart med et arr i huden etter et skrubbsår. Ved lungefibrose er det unormal arrdannelse i lungeblærene. Når det dannes arr isteden for normalt lungevev, blir gassutvekslingen mellom lunge og blod dårligere enn normalt. Lungene blir stivere og mindre bevegelige, og det arealet som kan brukes til gassutveksling, minker. Har man lett grad av lungefibrose, er det ikke sikkert man merker det på pusten, men jo mer fibrose som dannes, jo tyngre blir det å puste.
Årsak
Det kan være mange årsaker til at lungefibrose oppstår, men i de enkelte tilfellene kan det ofte være vanskelig å finne ut hva som har forårsaket sykdommen. Her er noen kjente årsaker:
Sigarettrøyking
Vil alltid være en viktig årsak, alene eller i kombinasjon med andre risikofaktorer, til lungesykdommer, også lungefibrose.
Yrkes- og miljømessige årsaker
Mange yrker medfører innånding av mye støv, og dette kan over tid føre til fibrose i lungene. Det er karakteristisk at de innåndede partiklene kun i liten grad skilles ut av lungene, og derfor fortsetter å utøve sin virkning mange år etter at man har sluttet å utsette seg for støvet. De vanligste av disse støvsykdommene, som kalles pneumokonioser, er:
- Silikose på grunn av innånding av kiselsyre (silisiumoksid) som finnes i mineralene kvarts, kristoballitt og tridymitt
Animasjon av silikose

- Asbestose på grunn av innånding av asbest, som er en fellesbetegnelse på en rekke fiberformede silikater som for eksempel krysotil, krokidolitt, amositt, tremolitt. Asbest ble tidligere brukt som bindemiddel til produksjon av takplater (eternitt), isoleringsplater, skillevegger og gulvbelegg. Tidligere ble asbestprodukter også brukt til isolering av rør og kjeler, og som bremsebelegg. Se også informasjonsskriv om arbeidsbetinget asbestrelatert lungesykdom.
Animasjon av asbestose

- Andre forekommende støvsykdommer er kullstøvsykdom, berylliose (pga beryllium), talkose (pga magnesiumsilikat), stannose (pga tinn og tinnoksid) og siderose (pga metallisk jern eller jernoksid).
Noen bønder kan bli utsatt for innånding av store mengder sopp fra høystøv. Dette kan utløse en allergisk reaksjon i lungene som kalles Farmer's Lung på engelsk. Hvis man slutter å utsette seg for det sykdomsfremkallende støvet, kan sykdommen gå tilbake før det utvikles arr i lungene. Over tid kan denne sykdommen føre til lungefibrose.
På en del gårder finner man også stoffer som er direkte giftige for lungene, og det kan også føre til lungefibrose over tid.
Medisiner
Noen medisiner har dessverre dannelse av lungefibrose som bivirkning. Legen din kan gi deg nærmere informasjon om dette. Spør hvis du lurer.
Strålebehandling
I kreftbehandling benyttes blant annet radioaktiv stråling, og denne strålingen kan skade det friske vevet i tillegg til kreftsvulsten. Når man stråler mot lungene, som for eksempel ved brystkreft, kan lungene bli skadet, med arrdannelse som konsekvens.
Bindevevssykdommer
Revmatiske sykdommer kan av og til involvere lungene, slik at lungefibrose oppstår. Andre sykdommer som rammer hele kroppen (for eksempel systemisk sklerose) kan også ramme lungene, med fibrose som resultat.
Lungefibrose uten kjent årsak (idiopatisk lungefibrose)
Når man har utelukket alle de kjente årsakene til lungefibrose, gjenstår sykdommen som kalles idiopatisk lungefibrose, som rett og slett betyr lungefibrose med ukjent årsak. I engelskspråklig litteratur kalles tilstanden Idiopathic Pulmonary Fibrosis og forkortes IPF.
Symptomer
Symptomene kommer nesten alltid snikende, og tungpust ved anstrengelse kombinert med kronisk hoste er hovedsymptomene. Etter hvert som sykdommen utvikler seg blir man mer og mer tungpust, og ved alvorlig lungefibrose kan man ha åndenød også i hvile. På grunn av den utbredte arrdannelsen blir det vanskeligere for hjertet å pumpe blod gjennom lungevevet. Den økte motstanden mot blodstrømmen forplanter seg bakover i systemet, slik at blodet blir stående "i kø" (det stuver seg opp) foran hjertet. Dette medfører hevelser i ankler og legger, etter hvert forstørret lever, og er en form for hjertesvikt.
Diagnosen
Hoste kan være det første symptomet ved mange lunge- og hjertesykdommer, slik at det ikke alltid er like lett å stille diagnosen i en tidlig fase. Sykehistorien vil være av største viktighet for å komme på riktig spor. Det er viktig at du bidrar med så gode opplysninger som mulig, spesielt om arbeidsmiljø og sigarettrøyking.
Legen foretar en fysisk undersøkelse og tar blodprøver for å komme nærmere diagnosen. Lungefunksjonsprøver (spirometri) kan si mye om hvilken type lungesykdom det dreier seg om. Lungefibrose vil nesten alltid vises på et røntgen-/CT-bilde av lungene. Dersom man fortsatt er i tvil etter røntgen/CT, kan man ta en vevsprøve fra lungene og undersøke denne i et mikroskop.



Behandling
Det er med lungearr som med andre arr - de blir værende. Du må derfor være forberedt på at tungpustheten vil vedvare. Hovedmålet med behandlingen er å forhindre at arrdannelsen får utvikle seg videre. Det viktigste tiltaket i så måte er å finne årsaken til sykdommen og fjerne den.
Ved noen av disse tilstandene kommer symptomene før fibrosedannelsen er fullført (Farmers lung, medikamentfibrose). Hvis man da er rask med å fjerne den sykdomsfremkallende årsaken, kan man unngå utbredt fibrose, og symptomene kan lindres.
Dessverre er det slik at lungefibrose i en del tilfeller ikke kan stoppes eller at effekten av behandlingen er beskjeden. Dette gjelder blant annet lungefibrose av ukjent årsak (idiopatisk lungefibrose). Medikamentene pirfenidon og nintedanib har ved denne tilstanden imidlertid vist seg å ha en positiv effekt på overlevelse. I de mest uttalte tilfellene kan det bli aktuelt med lungetransplantasjon.
Vil du vite mer
Dette dokumentet er basert på det profesjonelle dokumentet Lungefibrose, idiopatisk . Referanselisten for dette dokumentet vises nedenfor
- Kreider ME, Natalini JG. Idiopathic pulmonary fibrosis. Best Practice, last updated 26 June 2019. bestpractice.bmj.com
- Travis WD, Costabel U, Hansell DM, et al. An official American Thoracic Society/European Respiratory Society statement: Update of the international multidisciplinary classification of the idiopathic interstitial pneumonias. Am J Respir Crit Care Med 2013; 188: 733. pmid:24032382 PubMed
- King Jr TE, Pardo A, Selman M. Idiopathic pulmonary fibrosis. Seminar. Lancet 2011; 378: 1949-61. PubMed
- Richeldi L, Collard HR, Jones MG. Idiopathic pulmonary fibrosis. Lancet. 2017;389(10082):1941-1952. PubMed
- Collard HR, Moore BB, Flaherty KR, et al. Acute exacerbations of idiopathic pulmonary fibrosis. Am J Respir Crit Care Med. 2007;176:636-643. PubMed
- Raghu G, Collard HR, Egan JJ, et al. An official ATS/ERS/JRS/ALAT statement: idiopathic pulmonary fibrosis: evidence-based guidelines for diagnosis and management. Am J Respir Crit Care Med. 2011;183:788-824. PubMed
- King TE. Clinical manifestations and diagnosis of idiopathic pulmonary fibrosis. UpToDate, last updated Mar 15, 2021. UpToDate
- Raghu G, Rochwerg B, Zhangh Y, et al . An official ATS/ERS/JRS/ALAT clinical practice guideline: Treatment of idiopathic pulmonary fibrosis. An update of the 2011 clinical practice guideline. Am J Resp Crit Care Med 2015; 192: e3-e19. doi:10.1164/rccm.201506-1063ST DOI
- King TE. Treatment of idiopathic pulmonary fibrosis. UpToDate, last updated Jan 07, 2020. UpToDate
- Dempsey TM, Sangaralingham LR, Yao X, et al. Clinical Effectiveness of Antifibrotic Medications for Idiopathic Pulmonary Fibrosis. Am J Respir Crit Care Med. 2019; 200: 168-74. pmid:31150266 PubMed
- Loveman E, Copley VR, Colquitt J, et al. The clinical effectiveness and cost-effectiveness of treatments for idiopathic pulmonary fibrosis: a systematic review and economic evaluation. Health Technol Assess. 2015 Mar;19(20):1-336. PubMed
- Cheng L, Tan B, Yin Y, et al. Short- and long-term effects of pulmonary rehabilitation for idiopathic pulmonary fibrosis: a systematic review and meta-analysis. Clin Rehabil. 2018. PMID: 29843523 PubMed
- Noble PW, Albera C, Bradford WZ, et al. Pirfenidone in patients with idiopathic pulmonary fibrosis (CAPACITY): two randomised trials. Lancet 2011; 377: 1760-9. PubMed
- King TE, Bradford WZ, Castro-Bernardini S, et al. A phase 3 trial of pirfenidone in patients with idiopathic pulmonary fibrosis. N Engl J Med 2014. doi:10.1056/NEJMoa1402582 DOI
- Kang J, Han M, Song JW. Antifibrotic treatment improves clinical outcomes in patients with idiopathic pulmonary fibrosis: a propensity score matching analysis. Sci Rep 2020; 10: 15620. pmid:32973215 PubMed
- Wuyts WA, Antoniou KM, Borensztajn K, et al. Combination therapy: the future of management for idiopathic pulmonary fibrosis? Lancet Respir Med. 2014 Nov;2:933-42. doi: 10.1016/S2213-2600(14)70232-2 DOI
- Richeldi L, Costabel U, Selman M, et al. Efficacy of a tyrosine kinase inhibitor in idiopathic pulmonary fibrosis. N Engl J Med 2011; 365: 1079-87. New England Journal of Medicine
- Richeldi L, du Bois RM, Raghu G, et al. Efficacy and safety of nintedanib in idiopathic pulmonar fibrosis. N Engl J Med 2014. doi:10.1056/NEJMoa1402584 DOI
- Raghu G, Anstrom KJ, King TE, et al. Prednisone, azathioprine, and N-acetylcysteine for pulmonary fibrosis. N Engl J Med 2012; 366: 1968-77. New England Journal of Medicine
- Kolb M, Raghu G, Wells AU, et al. Nintedanib plus Sildenafil in Patients with Idiopathic Pulmonary Fibrosis. N Engl J Med 2018. pmid:30220235 PubMed
- Horton MR, Santopietro V, Mathew L, et al. Thalidomide for the treatment of cough in idiopathic pulmonary fibrosis: a randomized trial. Ann Intern Med 2012; 157: 398-406. Annals of Internal Medicine
- Ley B, Collard HR, King TE Jr. Clinical course and prediction of survival in idiopathic pulmonary fibrosis. Am J Respir Crit Care Med 2011; 183: 431-40. PubMed