Asbestose
Asbestose er en sykdom som skyldes innånding av asbeststøv. Over tid fører dette til at lungevev omdannes til arrvev eller det som benevnes lungefibrose.

Sist oppdatert:
1. mars 2021
Hva er asbestose?

Asbestose er en sykdom som skyldes innånding av asbeststøv. Over tid fører dette til at lungevev omdannes til arrvev (lungefibrose). Typisk for denne formen for lungefibrose er at den utvikler seg i mellomrommene mellom de ulike delene av lungevevet (interstitielt).
Hos mange er dette en mild og lite plagsom sykdom. Tiden det tar fra du utsettes (eksponeres) for asbest og til sykdommen oppdages, er vanligvis 15-30 år. Andre asbest-relaterte lungesykdommer er lungekreft, lungehinnekreft (mesoteliom) og pleurale plakk. Inhalasjon av asbestfibre ble første gang knyttet til utvikling av lungesykdom i 1890.
Forekomsten av asbestose er usikker. Asbest-relatert sykdom har sin høyeste forekomst 30-40 år etter eksponering. Lungehinnekreft er den tilstanden det tar lengst tid å utvikle, og forekomsten av denne sykdommen har vært økende i Europa over mange år, men forekomsten er nå avtakende. I utviklingsland brukes fortsatt asbest i stort omfang, og forekomsten forventes å være høy i mange år framover.
Animasjon av asbestose
Årsak
Asbest er den minste naturlig forekommende formen for fiber og pustes derfor inn når man utsettes for asbeststøv. Asbest er fintrådete fibrøse mineralsilikater. Stoffet har kjemiske og fysiske egenskaper som gjør det egnet til en lang rekke produkter, bl.a. varmeisolasjon og ildfaste produkter. På grunn av stoffets sykdomsfremkallende egenskaper er det nå forbudt i isolasjonsprodukter.
Det er vanlig å skille mellom tre former for asbesteksponering:
- Primær eksponering; gruvearbeidere
- Sekundær eksponering; yrkesmessig kontakt med asbest, f.eks i konstruksjonsbransjen
- Tertiær eksponering; miljøeksponering, f.eks innånding av asbestforurenset luft
Asbestfibre tas opp ved innånding av asbestforurenset luft. Store asbestfibre avsettes på slimhinnen i øvre luftveier og fjernes via normal fungerende slimhinne (mucociliær transport). Asbestfibre med diameter 0,5-5 µm når helt ned til de minste enhetene i lungene - bronkioler og alveoli.
De små asbestfibrene forårsaker direkte skade på celler i nedre luftveier. De skadde cellene utløser en betennelsesreaksjon (en alveolitt). Ved stor asbesteksponering vil betennelsesreaksjonen bli intens og det kan oppstå vevsskader og økende fibrotiske forandringer.
Sykdommen rammer begge lungene. I forløpet av sykdommen kan du utvikle lungesvikt og hjertesvikt.
Disponerende faktorer
Arbeid med asbest medfører fiberspredningsrisiko og høy risiko for innånding dersom ikke forhåndsregler blir tatt. Vanlige kilder for asbesteksponering er eternitt, isolasjon, bremsebånd, skipsmaskiner, ovner, vedlikeholdsarbeid m.v. Nye produkter inneholder svært sjelden asbest, men omfanget i slike varer som er produsert før ca 1980, er omfattende.
Konsentrasjonen av asbestfibre i vanlige boligers inneluft er normalt svært lav og representerer ingen risiko for utvikling av asbestose eller kreft. Kildene til målbare konsentrasjoner i inneluft har oftest vært materialer hvor overflaten ikke er tilstrekkelig forseglet, for eksempel som følge av direkte mekanisk påvirkning, fuktskader eller forsømt vedlikehold.
Det er klar sammenheng mellom den totale (akkumulerte) mengden innåndete asbestfibre, varigheten av eksponeringen og risikoen for å utvikle asbestose. Røyking øker trolig risikoen for å utvikle asbestose hos eksponerte personer. I tillegg øker kombinasjonen av røyking og asbesteksponering risikoen for lungekreft 50-90 ganger i forhold til eksponering for kun en av risikofaktorene.
Diagnostikk
Sykdommen kommer som regel 15-20 år etter eksponering for asbest. De første symptomene inntrer langsomt og er uspesifikke - tiltakende tungpusthet ved anstrengelser og vedvarende og økende tørrhoste. Trykkfornemmelse eller stikkende smerte i brystet forekommer hos et mindretall.
Ved legeundersøkelsen kan det høres unormale lungelyder, men ikke alltid. Trommestikkfingre (clubbing) ses hos 30-40 prosent av pasientene og er uttrykk for alvorlig eller langtkommen sykdom. Lungefunksjonsundersøkelse (spirometri) vil vise tegn på nedsatt lungekapasitet.
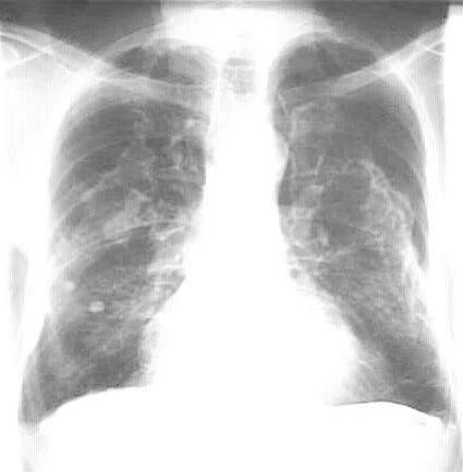
Røntgen av lungene kan vise småflekkete og stripeformede fortetninger, gjerne lokalisert til de nedre deler av lungene. Røntgenundersøkelsen fanger opp 85-90 prosent av alle med asbestose og bare 5-10 prosent får feilaktig denne diagnosen (spesifisitet 90-95 prosent). Enda sikrere diagnose stilles med høyoppløselig CT.
Behandling
Det finnes per i dag ingen god behandling som påvirker det naturlige forløpet ved asbestose. Ingen medikamenter er vist å ha effekt. Oksygenbehandling kan være aktuelt ved langtkommen sykdom. Det viktigste tiltaket for røykere er å slutte å røyke. Har du asbestose, anbefales du pneumokokk- og influensavaksine.
Forebyggende er det viktigste å redusere bruken av asbest. I den forbindelse kreves at alt arbeid med asbest og asbestholdige produkter, herunder omfattende vedlikeholdsarbeid, riving og sanering, skal meldes til Arbeidstilsynet. Bare kyndig personell med tillatelse fra Arbeidstilsynet kan utføre slikt arbeid.
Vil du vite mer
Dette dokumentet er basert på det profesjonelle dokumentet Asbestose . Referanselisten for dette dokumentet vises nedenfor
- Lauridsen HL, Bønløkke JH, Davidsen JR, Eldahl F, Huremovic J, Krüger K, Omland Ø, Shaker SB, Sherson D. Asbestose og pleurale plaques. Ugeskr Laeger. 2018 Jun 18;180(25):V10170773. Danish. PMID: 29938630.
- Rosenman KD. Asbestosis. BestPractice, last updated 12 Nov 2020. bestpractice.bmj.com
- O'Reilly KMA, McLaughlin AM, Beckett WS. Asbestos-related lung disease. Am Fam Physician 2007; 75: 683-8. American Family Physician
- Helland, Å., S. Solberg, and O.T. Brustugun, Incidence and survival of malignant pleural mesothelioma in Norway: a population-based study of 1686 cases. J Thorac Oncol, 2012; 7: 1858-61.
- American Thoracic Society. Diagnosis and initial management of nonmalignant diseases related to asbestos. Am J Respir Crit Care Med 2004; 170: 691-715. PubMed
- Markowitz SB, Levin SM, Miller A, et al. Asbestos, asbestosis, smoking, and lung cancer. New findings from the North American insulator cohort. Am J Respir Crit Care Med. 2013; 188: 90-96. PubMed
- Dale MT, McKeough ZJ, Troosters T, Bye P, Alison JA. Exercise training to improve exercise capacity and quality of life in people with non-malignant dust-related respiratory diseases. Cochrane Database of Systematic Reviews 2015, Issue 11. Art. No.: CD009385. DOI: 10.1002/14651858.CD009385.pub2. DOI