Kreftspredning til hjernen, hjernemetastaser
Hjernemetastaser er kreftspredning til hjernen. Oftest skjer slik spredning fra lungekreft, brystkreft, føflekkskreft, nyrekreft og tykktarms-/endetarmskreft.

Sist oppdatert:
21. okt. 2022
Hva er hjernemetastaser?
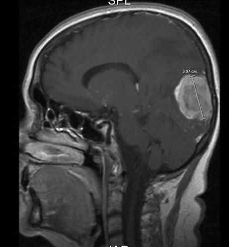
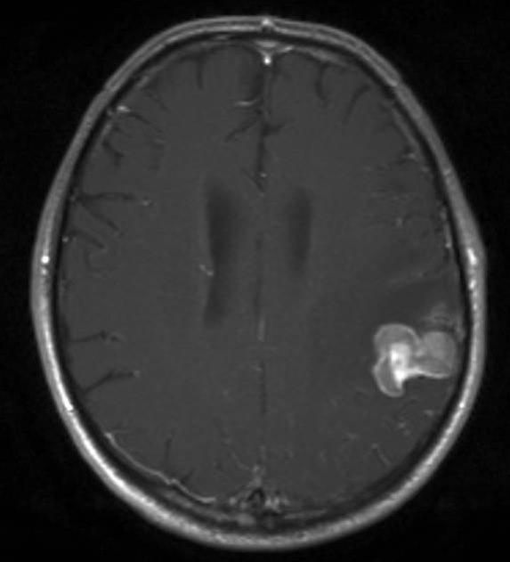
Kreftspredning til hjernen, hjernemetastaser, skyldes spredning av kreftsykdom via blodet til hjernen fra en primærsvulst beliggende et annet sted i kroppen. Spredningen fører til at det dannes dattersvulster, metastaser, i andre organer, deriblant i hjernen. Cirka halvdelen av tilfellene med hjernemetastaser er spredning fra lungekreft. Allminnelige symptomer og tegn er nevrologiske utfallssymptomer (for eksempel lammelser, kramper), psykisk endring, hodepine, kvalme, oppkast og tretthet.
Årlig diagnostiseres cirka 35.000 nye krefttilfeller i Norge. Cirka 10 prosent av kreftpasientene utvikler i løpet av sykdommen hjernemetastaser. Forekomsten er økende. Forklaringen er at bedringen i behandling har medført flere langtidsoverlevelser av enkelte kreftformer. Ved lungekreft utvikler 50 prosent hjernemetastaser, ved småcellet lungekreft er andelen 80 prosent.
I omkring 80 prosent av tilfellene diagnostiseres hjernemetastaser hos pasienter med allerede kjent kreftsykdom. Hos de resterende er primærsvulstens utgangspunkt ukjent, men av disse vil omkring 50 prosent ha metastaser fra lungekreft.
Årsak
De hyppigste primærsvulstene er lungekreft, brystkreft, malignt melanom, nyrekreft og tykktarms-/endetarmskreft. Cirka 85 prosent av hjernemetastasene finnes i storhjernen og 15 prosent i lillehjernen og hjernestammen. Hos cirka ti prosent av kreftpasientene er sentralnervesystemet eneste sted hvor spredning påvises, hos resten er det metastaser andre steder i kroppen. Tre av fire pasienter med spredning til hjernen har flere eller mange metastaser i hjernen.
Symptomer og tegn
Tegn på nevrologiske utfallssymptomer ved hjernemetastaser er lammelser, epilepsi, psykisk endring, hodepine, kvalme, oppkast og tretthet. Symptomene er typisk langsomt tiltakende over uker og måneder, men de kan i forbindelse med blødning i en metastase (5-10 prosent) opptre akutt - det gjelder særlig melanomer.
Hjernemetastaser fører til økt trykk inne i hjernen. Det gir hodepine (40-50 prosent), kvalme, oppkast, tretthet og slapphet. Hodepinen er ofte verst om morgenen. Den øker gradvis i intensitet ettersom tiden går. Epileptiske anfall forekommer hos 15-20 prosent av pasientene, hyppigst ved melanommetastaser. Direkte skade av hjernevev gir avgrensede nevrologiske utfall som halvsidige lammelser, talevansker (dysfasi), områder med svekket følesans (sensoriske utfall) eller koordinasjonsvansker (ataksi), alt etter hvilke deler av hjernen som er rammet. Ved metastaser i frontallappene kan man se psykiske endringer, slik som ukritisk atferd, redusert hukommelse, manglende emosjonell kontroll, hurtige humørsvingninger og forvirring. Metastaser i lillehjernen gir ofte ustøhet, kraftig svimmelhet og oppkast.
Diagnosen
I mange tilfeller er det kjent at pasienten har fått konstatert en kreftsykdom. Sykehistorien kan da gi mistanke om at tilstanden har spredd seg til hjernen. Mistanken styrkes dersom legen finner tegn på hjerneskade ved kroppsundersøkelsen.


MR er den mest sensitive undersøkelsen såvel til påvisning av små metastaser som til å påvise andre sykdommer i hjernen. Ved CT av hjernen med kontrast finnes multiple hjernemetastaser hos ca. 50 prosent, ved MR-scanning hos ca. 75 prosent.
Behandling
Målet med behandlingen er symptomlindring, forsinke utviklingen av disse dattersvulstene og forlenge overlevelsen. Behandling fører praktisk talt aldri til helbredelse. Behandlingsmulighetene er kirurgi, gammakniv ("strålekniv"), stereotaktisk strålebehandling, fullhjernebestråling, steroidbehandling, kjemoterapi (cellegift).
Valg av behandling avhenger av grunnsykdom, symptomer, generell tilstand og metastasenes antall og lokalisasjon. Er det ikke forventet at pasienten vil overleve i mer enn tre måneder, er legene tilbakeholden med kirurgisk behandling.
Hvis det er få metastaser i hjernen, pasienten ellers er rimelig "frisk" og fungerer godt i det daglige, kan det være aktuelt å overveie operasjon for å fjerne metastasen(e). Det er imidlertid avhengig av at metastasen(e) har en beliggenhet som gjør kirurgi mulig.
En operasjon gir ofte rask lindring av symptomer som skyldes økt trykk inne i hjernen. Fjerning av store svulster forbedrer ofte kognitiv funksjon og lindrer nevrologiske utfall, samt benyttes til diagnostisk bekreftelse og eventuelt gentesting for å finne frem til mer målrettet medikamentell behandling. Kirurgi kan bedre overlevelsen særlig hos pasienter med enkeltstående, store (> 3 cm) og symptomgivende metastaser.
Kirurgi bør etterfølges av strålebehandling. I økende grad brukes i dag stereotaktisk strålebehandling og ikke helhjernebestråling, det gir bedre langtidsresultater vedrørende livskvalitet og kognitiv funksjon.
Alle pasienter med symptomatiske hjernemetastaser anbefales steroidbehandlet. Pasienter med småcellet lungekreft anbefales kjemoterapi.
Hos pasienter med dårlige prognose eller mer enn to metastaser anbefales helhjernebestråling og/eller steroidbehandling.
Prognose
Hjernemetastaser innebærer dårlig prognose. I snitt er overlevelsen ca. 13 måneder. Prognosen varierer med tilgrunnliggende kreftsykdom og avhenger blant annet av type svulst, grunnsykdommens utbredelse, nevrologisk funksjonsstatus og antall hjernemetastaser.
Symptomene er typisk langsomt økende, men de kan i forbindelse med blødning i en metastase opptre akutt. Overlevelsen faller med antall hjernemetastaser.
Dette dokumentet er basert på det profesjonelle dokumentet Hjernemetastaser . Referanselisten for dette dokumentet vises nedenfor
- Moen Taule E, Schipmann-Miletic S, Thorsen F, et al. Hjernemetastasar – diagnostikk og behandling. Tidsskr Nor Legeforen, publisert 10. oktober 2022. Doi: 10.4045/tidsskr.21.0809 DOI
- Mitchell DK, Kwon HJ, Kubica PA, Huff WX, O'Regan R, Dey M. Brain metastases: An update on the multi-disciplinary approach of clinical management. Neurochirurgie. 2022;68(1):69-85. PubMed
- Meling TR, Helseth E, Unsgård G, Nakstad PH, Wester K. Hjernemetastaser hos voksne. Tidsskr Nor Lægeforen 2005; 125: 2179-82. PubMed
- Tong E, McCullagh KL, Iv M. Advanced Imaging of Brain Metastases: From Augmenting Visualization and Improving Diagnosis to Evaluating Treatment Response. Front Neurol. 2020;11:270. Published 2020 Apr 15. PMID: 32351445 PubMed
- Winther RR, Vik-Mo EO, Yri OE et al. Surgery for brain metastases - real-world prognostic factors' association with survival. Acta Oncol 2021; 60: 1161–8.
- Suh JH, Kotecha R, Chao ST et al. Current approaches to the management of brain metastases. Nat Rev Clin Oncol 2020; 17: 279–99. PMID: 32080373 PubMed
- Hatiboglu MA, Akdur K, Sawaya R. Neurosurgical management of patients with brain metastasis. Neurosurg Rev 2020; 43: 483–95. PMID: 30058049 PubMed
- Moravan MJ, Fecci PE, Anders CK et al. Current multidisciplinary management of brain metastases. Cancer 2020; 126: 1390–406. PMID: 31971613 PubMed
- Fecci PE, Champion CD, Hoj J et al. The Evolving Modern Management of Brain Metastasis. Clin Cancer Res 2019; 25: 6570–80. PMID: 31213459 PubMed
- Gagliardi F, De Domenico P, Snider S, et al. Role of stereotactic radiosurgery for the treatment of brain metastasis in the era of immunotherapy: A systematic review on current evidences and predicting factors. Crit Rev Oncol Hematol. 2021;165:103431. PubMed
- Palmer JD, Klamer BG, Ballman KV, et al. Association of Long-term Outcomes With Stereotactic Radiosurgery vs Whole-Brain Radiotherapy for Resected Brain Metastasis: A Secondary Analysis of The N107C/CEC.3 (Alliance for Clinical Trials in Oncology/Canadian Cancer Trials Group) Randomized Clinical Trial. JAMA Oncol. Published online October 20, 2022. PMID: 36264568 PubMed
- Tsao MN, Lloyd N, Wong RK, Chow E, Rakovitch E, Laperriere N, Xu W, Sahgal A. Whole brain radiotherapy for the treatment of newly diagnosed multiple brain metastases. Cochrane Database Syst Rev. 2012 Apr 18;4:CD003869. Review.PMID:22513917 PubMed
- Kim IY, Jung S, Jung TY, et al. Repeat Stereotactic Radiosurgery for Recurred Metastatic Brain Tumors. J Korean Neurosurg Soc. 2018;61(5):633-639. PubMed
- Mehta MP, Paleologos NA, Mikkelsen T, et al. The role of chemotherapy in the management of newly diagnosed brain metastases: a systematic review and evidence-based clinical practice guideline. J Neurooncol. 2010 Jan;96(1):71-83. Epub 2009 Dec 4. Review.PMID:19960229 PubMed
- Kotecha R, Gondi V, Ahluwalia MS et al. Recent advances in managing brain metastasis. F1000 Res 2018; 7: 1772. PMID: 30473769 PubMed
- Enrique GV, Irving SR, Ricardo BI et al. Diagnosis and management of brain metastases: an updated review from a radiation oncology perspective. J Cancer Metastasis Treat 2019; 5: 54. PubMed
- Sperduto PW, Kased N, Roberge D, et al. Summary report on the graded prognostic assessment: an accurate and facile diagnosis-specific tool to estimate survival for patients with brain metastases. J Clin Oncol. 2012;30(4):419-425. PubMed