NHI.no
Annonse
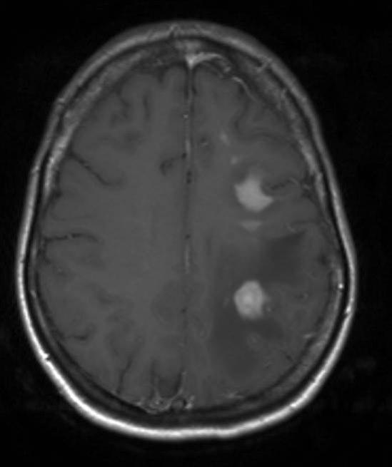
Bilde

Primært CNS lymfom, aksialt snitt

Sist oppdatert:

3. feb. 2016

primært cns lymfom

Gjengitt med tillatelse av Radiologisk avdeling, Universitetssykehuset Nord-Norge