NHI.no
Annonse
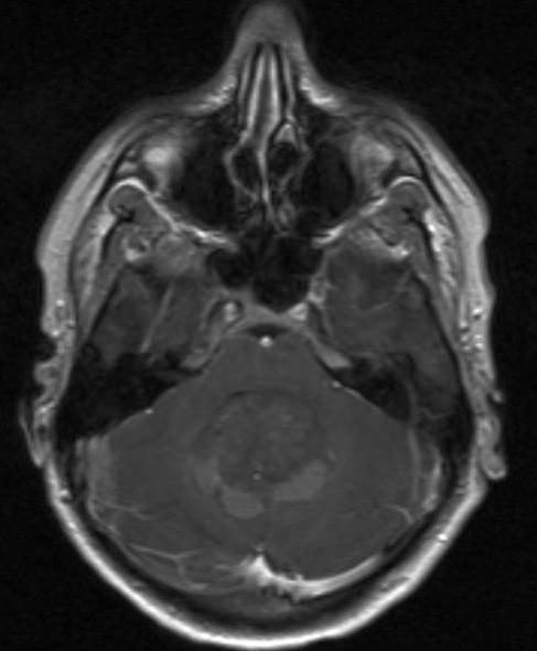
Bilde

Medulloblastom, aksialt snitt

Sist oppdatert:

3. feb. 2016

medulloblastom 1

Gjengitt med tillatelse av Radiologisk avdeling, Universitetssykehuset Nord-Norge