NHI.no
Annonse
Bilde

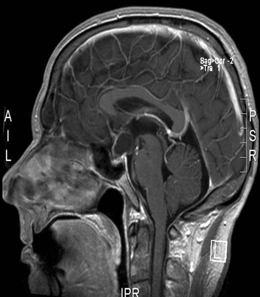
Kraniopharyngeom, sagittalt snitt

Sist oppdatert:

3. feb. 2016

kraniopharyngeom 1

Gjengitt med tillatelse av Radiologisk avdeling, Universitetssykehuset Nord-Norge