NHI.no
Annonse
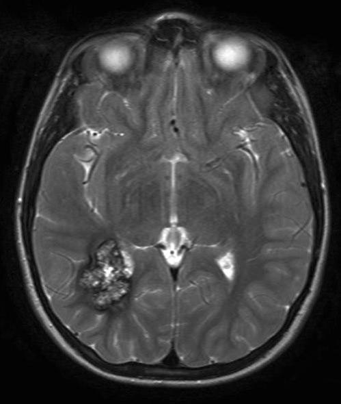
Bilde

Kavernøst hemangiom, aksialt snitt 2

Sist oppdatert:

3. feb. 2016

kavernøst hemangiom 2

Gjengitt med tillatelse av Radiologisk avdeling, Universitetssykehuset Nord-Norge