NHI.no
Annonse
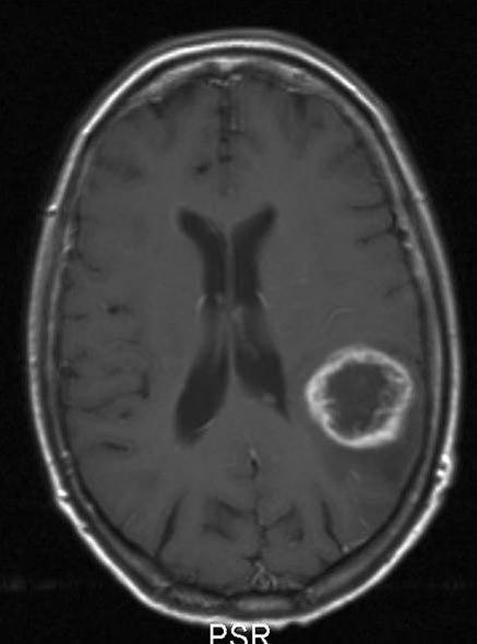
Bilde

Glioblastom, aksialt snitt

Sist oppdatert:

3. feb. 2016

glioblastom who grad iv 2

Glioblastom WHO grad IV

Gjengitt med tillatelse av Radiologisk avdeling, Universitetssykehuset Nord-Norge