CT av bukhulen
CT baserer seg på røntgenstråler, men brukes ikke bare til å se på beinstrukturer. Undersøkelsen skiller også mellom ulike indre organ, såkalte bløtdeler - f.eks. organene i bukhulen.

Sist oppdatert:
26. juli 2023
Hva er CT?
CT er en forkortelse for Computed Tomography. CT bilder dannes av samme type røntgenstråler som ved vanlig røntgen. CT teknikken skiller seg fra røntgen ved at man benytter en mer avansert metode for å registrere strålene enn vanlig film/detektor, og en datamaskin brukes for å sette dataene sammen til et bilde. Røntgenkildene og de delene som fanger opp strålene, røntgen-mottakerne eller -detektorene, beveger seg rundt området som avbildes, og muliggjør framstilling i tverrsnitt og tre dimensjoner.
Fordelen med denne metoden er at den kan påvise svært små forandringer og den kan fremstille bilder av bløtvevet, i motsetning til røntgen som først og fremst kan fremstille beinvev og luftholdige strukturer.
CT bilder er svarthvite. Organene fremstilles i ulike grader av grått. Vev med lav tetthet, f.eks. luftfylte hulrom, vises som mørke eller svarte partier. Vev med høyere tetthet vises i lysere gråtoner. Jo høyere tetthet, jo lysere. Beinvev fremstilles hvitt.
Strålebelastningen er større enn ved de fleste vanlige røntgenundersøkelser, men denne ulempen oppveies av at behandleren får mye større utbytte (mer informasjon) fra CT - man får bedre bløtvevsoppløsning og en tredimensjonal framstilling av vevet. Moderne CT maskiner har betydelig reduserte stråledoser i forhold til eldre maskiner.
CT av bukhulen
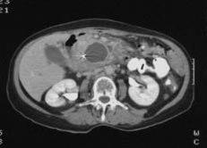
Pseudocyste i bukspyttkjertelenSiden CT kan skille mellom ulike indre organ, såkalte bløtdeler, så kan CT av bukhulen gi detaljerte tverrsnittsbilder av organene i bukhulen, f.eks. leveren og galleveiene, milten, bukspyttkjertelen, nyrer og urinveier. Bildene fremstår i ulike nyanser av grått. Jo lysere skygge, jo høyere tetthet har vevet eller strukturen. Bein fremstilles hvitt, mens luft fremstilles sort. Bildeinformasjonen kan forbedres ved samtidig bruk av kontrastinjeksjon.
Når tas CT bilder av bukhulen?
CT av bukhulen benyttes først og fremst i diagnostikken av tilstander der andre diagnostiske metoder av ulike grunner er mindre egnet. Særlig gjelder det påvisning av svulster og betennelser. Se forøvrig omtalen av CT-undersøkelsene av de enkelte organene.
Undersøkelsen
Se animasjon av CT-undersøkelse
CT (spiral-CT)
CT i dag utføres som regel som et sammenhengende bildeopptak, såkalt spiral-CT. Tidligere benyttet CT bilder av tynne seksjoner eller skiver av kroppen som utgangspunkt for bildene. Den tidligere metoden brukes fortsatt i noen få utvalgte situasjoner, men da i kombinasjon med spiral-CT.
Ved spiral-CT flyttes pasienten kontinuerlig gjennom strålefeltet, slik at de sirkulerende bevegelsene av røntgenkildene og detektorene danner registreringer i en spiral. Det betyr at større områder kan avbildes i én omgang over kortere tid sammenlignet med slik man opprinnelig utførte CT-undersøkelsen, spiral-CT er med andre ord raskere og mer presis. Når man snakker om CT i dag, er det i praksis spiral-CT man mener.
Informasjonen lagres og bearbeides så i en datamaskin. Datamaskinen bruker så denne informasjonen til å lage snittbilder og eventuelt tredimensjonale bilder. Supplert med kontrastinnsprøyting kan svulster og betennelsessykdommer fremstilles gjennom å synliggjøre blodforsyning, men om man mistenker slike forandringer vil man ofte velge å utføre en MR undersøkelse.
Hvordan foregår undersøkelsen
Dette kan variere noe fra røntgenavdeling til røntgenavdeling. Den informasjonen som sendes ut fra den røntgenavdelingen du skal undersøkes på, er den som gjelder. Stort sett foregår undersøkelsen som forklart nedenfor.
Du undersøkes liggende på et motorisert bord som flytter deg inn i en "smultring-liknende" åpning. Du må ligge helt i ro under undersøkelsen for at bildene ikke skal bli uskarpe. Under bildeopptak kan du få beskjed om å holde pusten i korte øyeblikk.
Metallgjenstander som knapper, glidelås, belter, smykker etc. må fjernes fra undersøkelsesområdet da slike kan skape forstyrrelser i bildene.
Apparaturen, røntgen-kilder og røntgen-mottakere, i "smultringen" beveger seg rundt deg mens bildene blir tatt. Bildene vises på en skjerm, noe som tillater at man kan ta enkelte bilder på nytt om man ser at de er blitt av for dårlig kvalitet. Enkelte områder av kroppen kan fremstilles klarere gjennom at pasienten gis en innsprøyting av kontrast i blodet. Mange opplever en følelse av varme gjennom kroppen når kontrasten sprøytes inn, enkelte opplever en følelse av å være uvelhet, kvalme og eventuelt oppkast. Dette er ikke en allergisk reaksjon, og går fort over. Ved å puste langsomt og dypt kan du dempe ubehaget.
Ved CT av bukhulen blir pasienten ofte bedt om å drikke en spesiell kontrastoppløsning (fortynnet gastrografin) opptil to timer før undersøkelsen. Oppløsningen gjør det lettere å skille tarmene fra det øvrige vevet. I noen tilfeller kan vann eller andre væsker kan være alternativ til kontrastvæske.
I tillegg vil det som regel også bli gitt intravenøs kontrast for å lettere skille mellom ulike typer vev. Ved CT av bekkenet kan det være nødvendig å gi et gastrografin-klyster. Hos kvinner kan det være nødvendig å sette inn en vaginal tampong for å tydeliggjøre vaginalveggen.
Pasientforbredelser
Det er vanligvis ikke nødvendig med faste før en CT undersøkelse. Faste er ofte aktuelt ved undersøkelser av bukhulen eller dersom det er en sjanse for at tiltak blir iverksatt i forbindelse med undersøkelsen. I noen tilfeller kan faste være gunstig i form av at det demper et eventuelt ubehag fra kontrastinnsprøyting.
Gravide må varsle om dette. Man skal være tilbakeholden med å gjøre CT under svangerskapet. Både henvisende lege og røntgenavdelingen vil vurdere hvor nødvendig undersøkelsen er.
Klaustrofobiske reaksjoner kan forekomme, men de aller fleste gjennomfører undersøkelsen uten store problemer. Pasienter som er svært engstelige kan få beroligende midler, men disse bør i så fall helst gis på poliklinikk/sengepost før undersøkelsen. Pasienter med sterke smerter kan få smertestillende.
Ved eventuell bruk av kontrast
Dersom du har reagert med en alvorlig allergillignende reaksjon på kontrastinnsprøyting tidligere må røntgenavdelingen varsles.
Har du en alvorlig nyresvikt eller sykdom som myelomatose kan du ha behov for et spesielt opplegg, forsikre deg om at dette er noe røntgenavdelingen er klar over. Medisiner som Glucophage/Metformin/Orabet kan brukes som normalt med mindre du har en samtidig alvorlig nyresvikt.
Faste
Vanligvis skal pasienten faste fire timer før undersøkelsen, men kan drikke klare væsker i moderate mengder fram til ev. peroral kontrast skal gis.
Hva kan man finne?
CT er rask å utføre, og er en egnet første undersøkelse ved akutte magesmerter eller etter skader.
Undersøkelsen gir god fremstilling av fortetninger, knuter, svulster. cyster og unormale ansamlinger av blod, væske eller fett. CT kan påvise en rekke forandringer som overses på røntgen. Kontrastinnsprøytinger i blodet kan forbedre bildeinformasjonen.
Lymfeknutekreft og forstørrede lymfeknuter i bukhulen kan påvises. I leveren kan røntgenlegen bl.a. se leversykdommer som skrumplever, fettlever, kreftsykdom og kreftspredning (metastaser). I bukspyttkjertelen kan man se kreft eller betennelser.
Av og til er det påkrevet med ytterligere undersøkelser som f.eks. ultralyd, MR, angiografi, gastroskopi/endoskopiopi eller vevsprøver
Dette dokumentet er basert på det profesjonelle dokumentet CT av abdomen . Referanselisten for dette dokumentet vises nedenfor
- ESUR (European Society of Urogenital Radiology) Guidelines on Contrast Agents, 10th version (2018). Nettsiden besøkt 06.06.18. www.esur-cm.org
- Brody AS, Frush DP, Huda W, Brent RL and the Section on Radiology. Radiation risk to children from computed tomography. Pediatrics 2007; 120: 677-682. Pediatrics