Tuberkulose - undersøkelser og diagnostikk
Tuberkuloseundersøkelser og diagnostikk av aktiv lungetuberkulose skjer ved blodprøve, lungerøntgen, mikroskopi, dyrkning og bakteriepåvisning i spyttprøver. Dyrkning gir også informasjon om tuberkelbakteriene er motstandsdyktig overfor medisiner.

Sist oppdatert:
9. mai 2022
Bakgrunn
Diagnosen av en akutt, primær lungetuberkulose stilles ved påvisning av tuberkulosebakterien i oppspytt eller ved lungerøntgen. Ofte er forløpet mildt, og sykdommen oppdages ikke. Etter smitte og gjennomgått første infeksjon, faller sykdommen til ro. Hos de fleste smittede er bakteriene innkapslet i celler i kroppen uten å gjøre skade. Hos omtrent fem til ti prosent vil infeksjonen blusse opp en eller annen gang i løpet av livet, som regel i forbindelse med at allmenntilstanden svekkes på grunn av annen sykdom, på grunn av høy alder, eller på grunn av behandling som svekker immunsystemet. Denne tilstanden med tidligere smitte kalles latent (skjult) tuberkulose. Skjult tuberkulose smitter ikke.
Påvisning av skjult tuberkulose gjøres ved hjelp av blodprøve og/eller lungerøntgen. Tidligere benyttet man også en hudtest (Mantoux test) for å identifisere de som kunne være smittet. Mantoux brukes ikke lenger (fra okt. 2014) og er erstattet av blodprøven IGRA.
IGRA
Blodprøven (IGRA = Interferon-gamma Release Assays) brukes for å påvise smittestoff (tuberkulosebakterier) i kroppen. Blodprøven er mer pålitelig enn hudprøven, og den gir også mye raskere svar. Med denne blodtesten kan man også skille mellom reaksjon som skyldes vaksinasjon, og den som vi egentlig vil påvise som skyldes tidligere infeksjon med tuberkulosebakterier. Blodprøven har litt høyere feilprosent hos barn enn hos voksne.
En positiv IGRA-prøve betyr at du er smittet av tuberkulose. Dette betyr ikke at du er syk. IGRA brukes som hovedregel kun til å avklare om pasienten har latent tuberkulose, ikke til diagnose av tuberkulosesykdom. Personer med latent tuberkulose er ikke syke og kan ikke smitte andre.
Dersom man nylig har vært utsatt for tuberkulosesmitte, for eksempel ved at et familiemedlem har fått påvist aktiv lungetuberkulose, må det gå minimum åtte til ti uker før man med sikkerhet kan stole på en negativ IGRA-test. Det blir derfor tatt en prøve straks. Dersom den ikke viser smitte, tas en ny prøve åtte til ti uker senere. Dersom begge testene er negative, kan man med høy grad av sikkerhet fastslå at personen ikke er smittet.
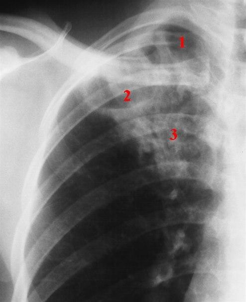
Lungerøntgen

Lungetuberkulose er den viktigste tuberkuloseformen, og den eneste varianten av tuberkulose som er smittsom. Når det påvises en positiv blodtest (IGRA), tas det derfor alltid lungerøntgen etterpå for å bekrefte eller avkrefte om det foreligger aktiv lungetuberkulose.
Personer 15-35 år fra land med særlig høy forekomst av tuberkulose blir testet både med IGRA og lungerøntgen.
Hos personer eldre enn 35 år som undersøkes for tuberkulosesmitte, for eksempel arbeidsinnvandrere eller asylsøkere, er lungerøntgen første undersøkelse, og blodprøve er ikke nødvendig.
Mikroskopi og dyrkningsprøver
Hvis lungerøntgen viser tegn til aktiv tuberkulose, må det gjøres direkte mikroskopi og tas dyrkningsprøver av oppspytt eller skyllevæske fra bronkiene. Pasienter med positiv mikroskopi er mer smittefarlige enn de med negativ mikroskopi. Resultat av direkte mikroskopi av oppspytt (ekspektorat) er avgjørende for å kunne vurdere smittsomhet. Dersom tuberkelbakteriene lar seg påvise ved mikroskopi, vil diagnosen være klar i løpet av få timer.
Rutinemessig tas tre oppspyttprøver til dyrkning av bakteriene. Prøvematerialet sendes til et laboratorie for dyrkning. Prøven sås ut på et vekstmedium, og det tar en til tre uker før bakteriene vokser fram. Eventuelle bakterier som vokser opp, kan så testes mot ulike medikamenter som brukes i behandlingen av tuberkulose. På den måten kan man fastslå hvilke medisiner som virker best, og påvise eventuell resistens mot antibiotika.
Diagnostikk hos barn
Å stille diagnosen tuberkulose hos barn er vanskeligere enn hos voksne. De har ofte mindre typiske symptomer og tegn på sykdommen, men de kan bli alvorlig syke. Det kan også være vanskeligere å få barn til å hoste opp spytt, noe som umuliggjør dyrkning. Dersom det er mistanke om tuberkulosesykdom eller nylig smitte, henvises de minste barna straks til spesialisthelsetjenesten for utredning med blodprøve og lungerøntgen.
Quiz
Har du fått med deg det viktigste i dette dokumentet? Da utfordrer vi deg til å ta vår quiz om tuberkulose!
Dette dokumentet er basert på det profesjonelle dokumentet Tuberkulose . Referanselisten for dette dokumentet vises nedenfor
- Horne DJ, Narita M. Pulmonary tuberculosis. BMJ Best Practice, last updated March 2018. bestpractice.bmj.com
- Arnesen TM. Fakta om tuberkulose. Folkehelseinstituttet. Sist oppdatert 28.04.2022. www.fhi.no
- Furin J, Cox H, Pai M. Tuberculosis. Lancet. 2019;393(10181):1642-1656. PMID: 30904262 PubMed
- WHO. Fact sheet. Tuberculosis. Published 14 October 2021. www.who.int
- LoBue PA, Mermin JH. Latent tuberculosis infection: the final frontier of tuberculosis elimination in the USA. Lancet Infect Dis. 2017;17(10):e327-e333. PMID: 28495525 PubMed
- Velayati AA, Masjedi MR, Farnia P, et al. Emergence of new formsof totally drug-resistant tuberculosis bacilli: super extensivelydrug-resistant tuberculosis or totally drug-resistant strains in Iran.Chest 2009; 136: 420–5.
- Tuberkuloseveilederen. Diagnostikk av tuberkulose. Folkehelseinstituttet. Sist oppdatert 20.02.2019. www.fhi.no
- Pai M, Zwerling A, Menzles D. Systematic review: T-cell-based assays for the diagnosis of latent tuberculosis infection: an update. Ann Intern Med 2008; 149:
- Lewinsohn DM, Leonard MK, LoBue PA, et al. Official American Thoracic Society/Infectious Diseases Society of America/Centers for Disease Control and Prevention clinical practice guidelines: diagnosis of tuberculosis in adults and children. Clin Infect Dis. 2017;64:e1-e33.
- Storla, D. Tar vi tuberkulose på alvor?. Tidsskr Nor Legeforen 2012; 132: 6. Tidsskrift for Den norske legeforening
- Johnson JL, Hadad DJ, Dietze R, et al. Shortening treatment in adults with non-cavitary tuberculosis and 2-month culture conversion. Am J Respir Crit Care Med 2009; 180: 558-63. PubMed
- Tuberkuloseveilederen. Forebyggende behandling av latent tuberkulose (LTB). Folkehelseinstituttet, sist oppdatert 08.06.2021. fhi.no
- Tuberkuloseveilederen. Behandling av tuberkulose. Folkehelseinstituttet, sist oppdatert 11.08.2021. www.fhi.no
- Rodrigues LC, Mangtani P, Abubakar I. How does the level of BCG vaccine protection against tuberculosis fall over time? BMJ 2011;343:d5974. www.bmj.com
- Roy A, Eisenhut M, Harris RJ, et al. Effect of BCG vaccination against Mycobacterium tuberculosis infection in children: systematic review and meta-analysis. BMJ 2014; 349. www.bmj.com
- Helsedirektoratet. Rett til helse- og omsorgstjenester for personer uten lovlig opphold. Sist faglig oppdatert: 16.05.2019. www.helsedirektoratet.no
- Tuberkuloseveilederen. Grupper med plikt til tuberkuloseundersøkelse. Folkehelseinstituttet, sist oppdatert 28.04.2022. www.fhi.no
- Sotgiu G, Centis R, D'ambrosio L, Migliori GB. Tuberculosis Treatment and Drug Regimens. Cold Spring Harb Perspect Med. 2015 May; 5(5): a017822. . www.ncbi.nlm.nih.gov
- Villarino ME, et al. Treatment for preventing tuberculosis in children and adolescents: A randomized clinical trial of a 3-month, 12-dose regimen of a combination of rifapentine and isoniazid JAMA Pediatr 2015; doi: 10.1001/jamapediatrics.2014.3158 DOI