Histoplasmose
Histoplasmose er en soppinfeksjon som for de fleste er uten symptomer, men den kan gi sykdom av varierende alvorlighet. Infeksjonen starter vanligvis i lungene.

Sist oppdatert:
29. nov. 2021
Hva er histoplasmose?
Histoplasma capsulatum. Fra Centers for Disease Control and Prevention.Histoplasmose er en soppinfeksjon som kan gi sykdom av varierende alvorlighet. Infeksjonen starter vanligvis i lungene. Tilstanden er ofte uten symptomer hos på forhånd friske mennesker, men utbrudd av sykdom er rapportert, og da særlig etter opphold i grotter med flaggermus, eller i rom med mye fuglelort.
Sykdommen forekommer sjelden i Skandinavia, og kun sporadiske tilfeller er beskrevet etter reiser i Nord- og Sør-Amerika.
I USA er sykdommen ganske vanlig i statene Ohio og Mississippi. Opptil 500.000 nye tilfeller av infeksjon oppstår årlig i disse områdene.
Årsak
Histoplasmose er en infeksjon med soppen Histoplasma capsulatum. Den trives best i nitrogenrikt jordsmonn ved ansamlingssteder for flaggermus og fugler. Denne sopptypen finnes i Amerika, Asia og Australia, men er sjelden i Europa. Reservoar for soppen er jordsmonn og dyr, spesielt fugler og flaggermus. Mennesker smittes ved inhalasjon av sporer som frigis fra jordsmonn som er forurenset av avføring fra dyr. Inngangsporten for sykdom er lungene. Histoplasmose smitter ikke fra person til person.
I grotter med flaggermus er forholdene for soppvekst gode, men det antas at eksponering for store mengder soppsporer er nødvendig for at ellers friske mennesker skal bli syke. Hos personer med immunsvikt slik som aids, kan histoplasmose gi alvorlige sykdomsbilder.
Symptomer
De fleste som utsettes for smitte, blir ikke syke, men ved stor eksponering for soppsporer er det rapportert flere utbrudd med høy innsykning blant ellers friske personer. Immunfriske mennesker får sjelden eller aldri de alvorligste sykdomsbildene. Aids-pasienter og andre immunsvekkede er mer mottakelige og kan bli alvorlig syke.
Sykdommen kan gi ulike sykdomsbilder. Oftest preges sykdommen av luftveissymptomer (akutt lungehistoplasmose), men feber og leddsmerter forekommer også. Inkubasjonsperioden er vanligvis 5-18 dager, men den kan noen ganger være lengre.
Diagnostikk
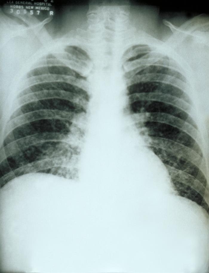
LungehistoplasmoseOpplysninger om reisemål, grottebesøk og luftveissymptomer kan gi mistanke om diagnosen. Blodprøver på antistoffer, eventuelt dyrkningsprøver fra luftveiene, kan bekrefte diagnosen. Røntgen-bilder av lungene kan vise typiske funn.
Behandling
Behandling er som regel ikke nødvendig. Hos de fleste går akutt lungehistoplasmose over uten behandling, og soppbehandling anbefales kun ved alvorlig eller langvarig sykdom. Hos immunsvekkede, og hos personer med alvorlig eller langvarige symptomer, kan det være nødvendig å gi soppbehandling i tablettform, eventuelt intravenøst hos alvorlig syke.
Forebygging
Opplevelsesreiser til eksotiske områder blir stadig mer populære. Spesielt utsatte grupper, blant annet personer som er immunsvekkede eller har kroniske sykdommer, gravide og eldre bør få informasjon, slik at de vet hvordan de kan unngå særlig smittefarlige situasjoner. Reisearrangører må vurdere om besøk i grotter bør inngå som besøksmål for gruppereiser i områder hvor histoplasmose er utbredt. Dette gjelder særlig hvis det er snakk om grotter som vanligvis ikke besøkes av turister. Hvis det anses nødvendig å besøke grotter der det foreligger særlig høy risiko for eksponering, bør det vurderes å bruke åndedrettsvern (P3-maske).
Dette dokumentet er basert på det profesjonelle dokumentet Histoplasmose . Referanselisten for dette dokumentet vises nedenfor
- Nygård K, Brantsæter A, Feruglio S, et al. Histoplasmose blant reisende til Mellom-Amerika. Tidsskr Nor Lægeforen 2006; 126: 2838-42. PubMed
- Smittervernveilederen. Histoplasmose. Folkehelseinstituttet, sist oppdatert 01.05.2019.
- Darling ST. A protozoan general infection producing pseudotubercles in the lungs and focal necrosis in the liver, spleen and lymph nodes. JAMA. 1906; 46: 1283. PubMed
- Benedict K, Beer KD, Jackson BR. Histoplasmosis-related healthcare use, diagnosis, and treatment in a commercially insured population, United States. Clin Infect dis 2019. pmid:31037290 PubMed
- Limper AH, Adenis A, Le T, Harrison TS. Fungal infections in HIV/AIDS. Lancet Infect Dis 2017; 17: 334-43. pmid:28774701 PubMed
- Wheat LJ. Improvements in diagnosis of histoplasmosis. Expert Opin Biol Ther 2006; 6: 1207-21. PubMed
- Hage CA, Ribes JA, Wengenack NL, et al. A multicenter evaluation of tests for diagnosis of histoplasmosis. Clin Infect Dis 2011; 53:448. PubMed
- Wheat J, Kauffman CA. Diagnosis and treatment of pulmonary histoplasmosis. UpToDate, last updated May 15, 2015. UpToDate
- Azar MM; Hage CA. Clinical Perspectives in the Diagnosis and Management of Histoplasmosis. Clin Chest Med 2017; 38: 403-15. pmid:28797485 PubMed
- Benedict K, Beer KD, Jackson BR. Histoplasmosis-related Healthcare Use, Diagnosis, and Treatment in a Commercially Insured Population, United States. Clin Infect Dis. 2020;70(6):1003-1010. PubMed
- Wheat LJ, Freifeld AG, Kleiman MB, et al. Clinical practice guidelines for the management of patients with histoplasmosis: 2007 update by the Infectious Diseases Society of America. Clin Infect Dis. 2007;45(7):807-825. PubMed