Lungebetennelse
Lungebetennelse er en infeksjon i lungevevet som vanligvis forårsakes av bakterier eller virus. Typiske symptomer er hoste og tung pust. Som følge av infeksjonen påvirkes hele kroppen. Avhengig av alvorlighetsgraden og helsetilstanden til personen som er rammet, medfører dette ofte en rekke andre plager i tillegg.

Sist oppdatert:
5. aug. 2025
Hva er lungebetennelse?
Lunger og bronkierLungebetennelse (pneumoni), er en betennelse i lungevevet som følge av en infeksjon med vanligvis bakterier eller virus. Inngangsporten til lungevevet er lungeblærene (alveolene), der den livsviktige transporten av oksygen fra luft til blod foregår. Når lungevevet blir betent, kan det bli tyngre å puste. Jo mer omfattende lungebetennelsen er, jo tyngre blir det å puste.
Lungebetennelse er en ganske vanlig infeksjonssykdom. Blant voksne er det særlig eldre og personer med kroniske sykdommer som rammes. Sykdommen oppstår hyppigst om vinteren. Lungebetennelse hos barn omtales her.
Symptomer
De fleste pasienter med lungebetennelse er moderat syke. Lungebetennelse oppstår gjerne etter en øvre luftveisinfeksjon (forkjølelse) eller bronkitt. Vedkommende utvikler plagsom hoste og blir etter hvert moderat tungpusten. Vedvarende feber etter en ukes sykdom er vanlig, men ved noen former for lungebetennelse har man lite eller ingen feber. Brystsmerter ved lungebetennelse forekommer og forverrer seg ofte i spesielle stillinger/posisjoner eller når en hoster eller puster dypt.
Selv om hoste er et sentralt symptom og ofte fører pasienten til lege, er det bare noen få av de som går til legen på grunn av hoste, som har lungebetennelse. Hos noen personer med lungebetennelse kan hoste og andre typiske symptomer være lite fremtredende. Dette gjelder spesielt eldre og sykehjemspasienter, hvor funksjonsvikt i det daglige livet kan være hovedsymptomet. Eksempler på funksjoner som er svekket, er nedsatt forflytningsevne, fall, sløvhet, forvirring, urinlekkasje, manglende væske- og matinntak, etc.
Alvorlig lungebetennelse rammer særlig eldre mennesker og personer som er svekket av annen sykdom. Tilstanden er vanligvis preget av høy feber, dårlig allmenntilstand og tung pust. Personen kan ha brystsmerter og hoste med farget eller blodig oppspytt.
Animasjon av lungebetennelse
Årsaker
En rekke ulike bakterier, virus og andre mikroorganismer kan infisere lungevevet og skape en betennelse. Som regel blir det ikke avdekket hvilken mikroorganisme som forårsaker lungebetennelsen. Smitte skjer vanligvis via dråper, ved hoste eller nysing fra syk person. Infeksjonen kan begynne direkte i lungeblærene eller spre seg fra en øvre luftveisinfeksjon eller bronkitt.
Flere ting kan gjøre at en person er spesielt utsatt for å utvikle lungebetennelse:
- Røyking
- Akutt luftveisinfeksjon eller bronkitt på grunn av virus
- Svekket hosterefleks som følge av for eksempel høyt alkoholforbruk, hjertesykdom, nervesykdom, hjernesykdom (f.eks. demens, slag) eller høy alder
- Diabetes
- Kols
- Kronisk lever- eller nyresykdom
- Kreft
- Cystisk fibrose
- Redusert immunforsvar eller nedsatt allmenntilstand
Lungebetennelse kan også utvikle seg hos ellers friske personer. De fleste alvorlige lungebetennelser er forårsaket av bakteriegruppen pneumokokker. Både pneumokokkvaksinen som inngår som en del av barnevaksinasjonsprogrammet og pneumokokkvaksinen som brukes hos eldre og personer i risikogrupper, beskytter til en viss grad mot lungebetennelse som forårsakes av bakteriene.
En sjelden gang kan soppinfeksjon være årsak til lungebetennelse. I Norge er det først og fremst personer med nedsatt immunforsvar som får soppinfeksjoner i lungene. En annen mulig årsak til lungebetennelse er infeksjon med parasitter. Denne type lungebetennelse er sjelden i Norge.
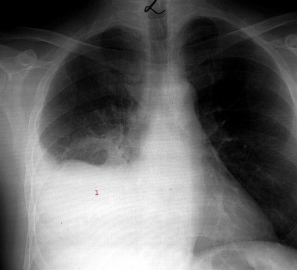
Diagnosen
Lungebetennelse i nedre del av høyre lungeDersom en person får symptomer på luftveisinfeksjon som er mer alvorlig eller mer langvarig enn en vanlig forkjølelse, vil det være aktuelt å ta kontakt med helsetjenesten. I Norge vil det i de fleste tilfeller være mest hensiktsmessig å ta kontakt med fastlegekontoret og utenfor kontortidene med legevakt. Ved alvorlig pustebesvær eller andre alvorlige symptomer bør man ringe 113.
Typisk sykehistorie og funn ved legeundersøkelsen er noen ganger nok til at legen stiller diagnosen. Blodprøver som høy CRP, høy senkning eller økt antall hvite blodlegemer styrker mistanken om lungebetennelse. Imidlertid viser forskning at det alltid vil være knyttet noe usikkerhet til en diagnose stilt på denne måten. Sikkert bevis for at det foreligger lungebetennelse, får man fra et røntgenbilde eller eventuelt en annen egnet bildeundersøkelse av lungene.
Behandling
De fleste pasienter med lungebetennelse kan behandles hjemme. Det er viktig å sørge for at kroppen får tilstrekkelig ro og hvile, men sengeleie på dagtid bør unngås om mulig. Det er viktig å tilføre kroppen rikelig med væske og å holde seg varm. Ved mistanke om bakterieinfeksjon som utløsende eller medvirkende årsak blir sykdommen behandlet med en antibiotikakur.
Ved lungebetennelse forårsaket av virus alene har antibiotika ikke effekt, og det brukes medisiner kun for å lindre symptomer (f.eks. smerte i brystvegg eller feber). Enkelte virusutløste lungebetennelser kan behandles med legemidler mot virusinfeksjon. Hostedempende medisiner bør vanligvis unngås, fordi slim kan hope seg opp i luftveiene. Men ved langvarig tørrhoste som forstyrrer nattesøvn kan legen vurdere å gi en kort kur med hostedempende medisin.
I alvorlige tilfeller kan det bli aktuelt å legge pasienten inn på sykehus. Dette er ofte nødvendig ved lungebetennelse hos personer med kols, men også generelt når allmenntilstanden svekkes og pustevanskene tiltar. Dersom pasienten ikke lenger har nok krefter til å puste selv, kan respiratorbehandling være nødvendig.
Prognose
Det er stor variasjon i alvorlighetsgraden, avhengig av hvilken type infeksjon som lungene er rammet av, vedkommendes alder, eventuelt samtidige sykdommer og allmenntilstand. Med riktig behandling vil sykdomsforløpet være ukomplisert hos de fleste tidligere friske voksne. Hos eldre og hos personer med svekket immunforsvar, er lungebetennelse en alvorlig sykdom som ofte krever innleggelse på sykehus. Lungesvikt og blodforgiftning (sepsis), eventuelt pussansamling i lungen (lungeabscess), er sjeldne men alvorlige komplikasjoner.
Hos de fleste vil en antibiotikakur være tilstrekkelig for at den akutte fasen av sykdommen går over i løpet av tre til fire uker. De fleste voksne vil deretter raskt bli friske igjen. Men selv om luftveissymptomene har gitt seg, kan utmattelsen vedvare i noen uker til. Enkelte vil oppleve irritasjonshoste i 1-2 måneder eller utmattelse som varer i opptil et halvt år. Noen av pasientene vil få vedvarende funksjonsnedsettelse etter gjennomgått pneumoni, dette gjelder spesielt de eldste og pasienter med kroniske sykdommer.
Personer fra og med 65 år og andre risikogrupper tilbys vaksine for å beskytte mot influensa, covid-19 og pneumokokksykdom. En annen type vaksine mot pneumokokker brukes i barnevaksinasjonsprogrammet. Anbefalinger om vaksiner til voksne finnes på FHI sine nettsider .
Dette dokumentet er basert på det profesjonelle dokumentet Lungebetennelse . Referanselisten for dette dokumentet vises nedenfor
- Helsedirektoratet. Antibiotika i primærhelsetjenesten. 3. Infeksjon i nedre luftveier. Pneumoni. Siste faglige endring: 24. juni 2025. Siden lest 02.08.2025. www.helsedirektoratet.no
- Helsedirektoratet. Nasjonal faglig retningslinje for bruk av antibiotika i sykehus. 9. Luftveisinfeksjoner, nedre. Siste faglige endring 02. mai 2025. Sitert 02.08.2025. www.helsedirektoratet.no
- Sæverud H. Bakteriell pneumoni. Metodebok i indremedisin (OUS-Ullevål). Sist oppdatert 14.9.2021. Siden besøkt 02.08.2025. metodebok.no
- Folkehelseinstituttet. Pneumokokkvaksine - håndbok for helsepersonell. Vaksinasjonshåndboka. Sist endret 16.07.2025. www.fhi.no
- Ticona JH, Zaccone VM, McFarlane IM. Community-Acquired Pneumonia: A Focused Review. Am J Med Case Rep. 2021;9(1):45-52. Epub 2020 Nov 4. PMID: 33313398 PubMed
- Musher DM, Abers MS, Bartlett JG. Evolving Understanding of the Causes of Pneumonia in Adults, With Special Attention to the Role of Pneumococcus. Clin Infect Dis. 2017 Oct 30;65(10):1736-1744. PMID: 29028977 PubMed
- Lind A, Holter JC. Luftveisinfeksjoner, nedre. Metodebok.no. Laboratorietjenester (OUS), v. 2.6. Godkjent dato: 22.03.2024 metodebok.no
- Lease ED, Alexander BD. Fungal diagnostics in pneumonia. Semin Respir Crit Care Med. 2011 Dec;32(6):663-72. Epub 2011 Dec 13. PMID: 22167394 PubMed
- Herrick KR, Trondle ME, Febles TT. Coccidioidomycosis (Valley Fever) in Primary Care. Am Fam Physician. 2020 Feb 15;101(4):221-228. PMID: 32053327. PubMed
- Paul KJ, Walker RL, Dublin S. Anticholinergic Medications and Risk of Community-Acquired Pneumonia in Elderly Adults: A Population-Based Case–Control Study. J Am Geriatr Soc 2015; 63: 476-85. doi:10.1111/jgs.13327 DOI
- The European Lung White Book. Major Resoiratory Diseases. Pneumonia. P 213- 223. Siden lest 02.08.2025. www.ersnet.org
- Htun TP, Sun Y, Chua HL, Pang J. Clinical features for diagnosis of pneumonia among adults in primary care setting: A systematic and meta-review. Sci Rep 2019; 9(1): 7600. pmid:31110214 PubMed
- Le Bel J, Hausfater P, Chenevier-Gobeaux C, et al. Diagnostic accuracy of C-reactive protein and procalcitonin in suspected community-acquired pneumonia adults visiting emergency department and having a systematic thoracic CT scan. Crit Care 2015; 19: 366. pmid:26472401 PubMed
- Nazerian P, Volpicelli G, Vanni S, et al. Accuracy of lung ultrasound for the diagnosis of consolidations when compared to chest computed tomography. 2015; 33: 620-5. doi:10.1016/j.ajem.2015.01.035 DOI
- Ye X, Xiao H, Chen B, Zhang S. Accuracy of lung ultrasonography versus chest radiography for the diagnosis of adult community-acquired pneumonia: review of the literature and meta-analysis. PLoS One. 2015;10(6):e0130066.
- Amundsen EK, Moholt TK, Meyer M, et al.. Antibiotikastyring ved hjelp av prokalsitonin. Tidsskr Nor Legeforen 2020. doi:10.4045/tidsskr.20.0056 DOI
- Jacobsen AU, Gustavsen C, Eide C, et al. Prokalsitonin som beslutningsstøtte ved seponering av antibiotika ved samfunnservervet pneumoni. Prosjektoppgave i KLoK. Infeksjonsmedisinsk avdeling, Ullevål Sykehus, UiO, 06.11.2020.
- FHI. Pneumokokkvaksine – håndbok for helsepersonell. Sist endret 16.07.2025. www.fhi.no
- Waterer G. Recovery from community acquired pneumonia: the view from the top of the iceberg. Eur Respir J. 2017 Jun 15;49(6):1700571. PMID: 28619961. PubMed
- Violi F, Cangemi R, Falcone M, Taliani G, Pieralli F, Vannucchi V, Nozzoli C, Venditti M, Chirinos JA, Corrales-Medina VF; SIXTUS (Thrombosis-Related Extrapulmonary Outcomes in Pneumonia) Study Group. Cardiovascular Complications and Short-term Mortality Risk in Community-Acquired Pneumonia. Clin Infect Dis. 2017 Jun 1;64(11):1486-1493. doi: 10.1093/cid/cix164. Erratum in: Clin Infect Dis. 2017 Oct 15;65(8):1431-1433. doi: 10.1093/cid/cix563. PMID: 28205683. PubMed
- Bruns AH, Oosterheert JJ, Cucciolillo MC, et al.. Cause-specific long-term mortality rates in patients recovered from community-acquired pneumonia as compared with the general Dutch population. Clin Microbiol Infect. 2011 May;17(5):763-8. doi: 10.1111/j.1469-0691.2010.03296.x. Epub 2010 Aug 30. PMID: 20807226. PubMed