Senile vorter, seboreiske vorter
Seboreisk vorte, på folkemunne ofte kalt senile vorter, er en vanlig utvekst på huden som skyldes godartet vekst av de overflatiske hudcellene. Vortene er typisk godt avgrenset og har en fet, vorteaktig og skjellende overflate.

Sist oppdatert:
19. apr. 2022
Hva er seboreiske vorter?
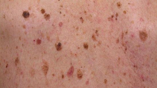
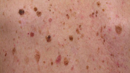
Seboreisk vorte er en vanlig utvekst på huden som skyldes godartet vekst av de overflatiske hudcellene. Tilstanden omtales også som "senile vorter". Vortene er typisk godt avgrenset og har en fet, vorteaktig og skjellende overflate. Fargen varierer fra hudfarget til brunsort. Utvekstene kan minne om en flat rosin, de ligger utenpå huden, og de finnes vanligvis på overkroppen. Vortene kan være enkle eller forekomme i grupper. De kan variere i antall fra noen få til flere hundre.
Seboreiske vorter oppstår vanligvis etter 50-årsalderen. De fleste av oss utvikler minst en seboreisk vorte i løpet av livet, og de blir vanligere og vanligere jo eldre vi blir. Årsaken til seboreiske vorter er ukjent, men det synes å være en arvelig faktor hos noen.


Diagnostikk
Seboreisk vorteSeboreiske vorter har vanligvis et typisk utseende som sjelden gir legen problem med å stille riktig diagnose. I tvilstilfeller kan det allikevel en sjelden gang være nødvendig å ta en vevsprøve og sende denne inn til undersøkelse.
Selv om tilstanden ikke disponerer for ondartet føflekkskreft (malignt melanom), hender det at en slik kreftflekk lenge blir oversett fordi man tror det er en seboreisk vorte. Derfor bør man alltid kontakte lege ved usikkerhet om slike hudforandringer.
Behandling
Seboreiske vorter trenger ikke behandles, men de kan enkelt skrapes bort med et instrument som ser ut som en skarp skje. Dette kan gjøres uten bedøvelse. Dersom smertene ved inngrepet er plagsomme, kan det legges på lokalbedøvende salve på forhånd. Dette gjør også at vortene er noe letter å skrape bort. Vortene kan også fjernes med frysing og med laser.
Uansett metode er det en viss tendens til at vortene kan komme tilbake. Men i så tilfelle kan behandlingen gjentas på et senere tidspunkt.
Prognose
Seboreiske vorter er helt godartede og har heller ikke anlegg i seg for å bli ondartede senere. De er også enkle å fjerne dersom man synes de er skjemmende eller ubehagelige.
Dette dokumentet er basert på det profesjonelle dokumentet Seboreiske vorter . Referanselisten for dette dokumentet vises nedenfor
- Higgins JC, Maher MH, Douglas MS. Diagnosing Common Benign Skin Tumors. Am Fam Physician. 2015;92(7):601-607. PubMed
- Balin AK. Seborrheic keratosis. Medscape, last updated Oct 30, 2018.
- Narala S, Cohen PR. Cutaneous T-cell lymphoma-associated Leser-Trélat sign: report and world literature review. Dermatol online 2017; 23: 13030. pmid:28329468 PubMed
- Hafner C, Vogt T. Seborrheic keratosis. J Dtsch Dermatol Ges 2008; 6:664. PubMed
- Longo C, Moscarella E, Piana S, et al. Not all lesions with a verrucous surface are seborrheic keratoses. J Am Acad Dermatol 2014; 70:e121. PubMed
- Polder KD, Landau JM, Vergilis-Kalner IJ, et al. Laser eradication of pigmented lesions: a review. Dermatol Surg 2011; 37:572. PubMed
- Goldstein BG, Goldstein AO. Overview of benign lesions of the skin. UpToDate, last updated Feb 19, 2019. UpToDate