Bilde
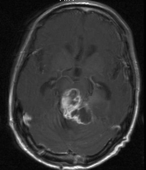
Pineoblastom, aksialt snitt
Sist oppdatert:
3. feb. 2016

Gjengitt med tillatelse av Radiologisk avdeling, Universitetssykehuset Nord-Norge
Sist oppdatert:
3. feb. 2016

Gjengitt med tillatelse av Radiologisk avdeling, Universitetssykehuset Nord-Norge