Bilde
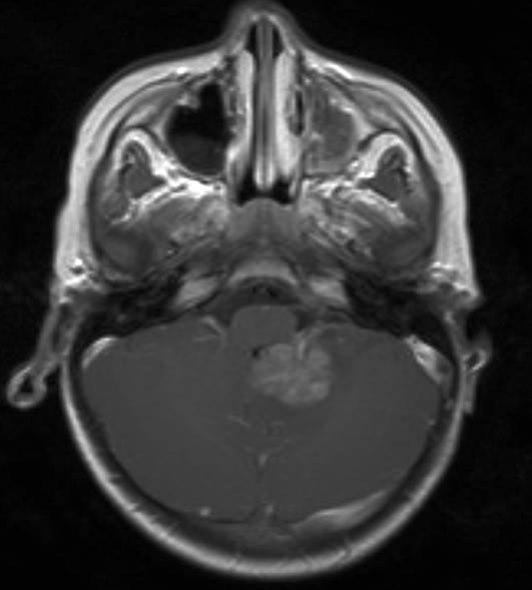
Atypisk teratoid rhabdoid tumor, aksialt snitt
Sist oppdatert:
2. feb. 2016

Gjengitt med tillatelse av Radiologisk avdeling, Universitetssykehuset Nord-Norge
Sist oppdatert:
2. feb. 2016

Gjengitt med tillatelse av Radiologisk avdeling, Universitetssykehuset Nord-Norge