Akutt lymfatisk leukemi (ALL)
Akutt lymfatisk/lymfoblastisk leukemi er blodkreft hvor en bestemt type hvite blodlegemer, lymfocyttene, formerer seg uhemmet. Som en følge av dette vil antallet røde blodlegemer, normale hvite blodlegemer og blodplater reduseres.

Sist oppdatert:
26. mai 2023
Hva er akutt lymfatisk leukemi (ALL)?
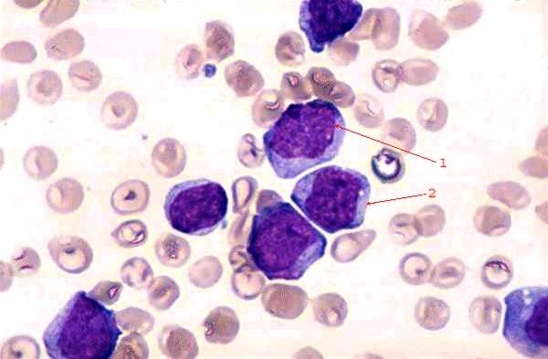
Illustrasjon: Umodne blodceller typisk for blodkreftAkutt lymfatisk leukemi, også kalt ALL eller akutt lymfoblastisk leukemi, er en form for blodkreft hvor en bestemt type hvite blodlegemer, såkalte lymfocytter, formerer seg uhemmet i benmargen og spres over i blodet i umoden form, som såkalte lymfoblaster. Kroppen mister kontrollen over disse umodne lymfoblastene. De øker i antall og fortrenger andre celler i beinmarg og blod. Dermed reduseres antallet av de normale celletypene:
- røde blodlegemer
- normale hvite blodlegemer (granulocytter)
- blodplater
Få røde blodlegemer innebærer at personen blir blodfattig —får anemi. Færre normale hvite blodlegemer medfører redusert motstandskraft mot infeksjoner. Færre blodplater medfører tendens til spontane blødninger i hud og slimhinner.
Det finnes undergrupper av ALL. Disse klassifiseres på bakgrunn av ulike endringer i kreftcellenes genstruktur.
Animasjon om akutt lymfatisk leukemi
Forekomst
I 2022 fikk 43 barn i Norge påvist akutt lymfoblastisk leukemi. Akutt lymfoblastisk leukemi utgjør nesten åtte av ti tilfeller av all blodkreft hos barn.
Blant voksne blir det årlig påvist rundt 30 til 40 tilfeller av akutt lymfatisk leukemi. Ved utgangen av 2021 levde 843 menn og 730 kvinner med diagnosen ALL i Norge.
Årsaker
Kreftcellene mister evnen til å modnes. Den ukontrollerte veksten medfører at normale celler fortrenges slik at det utvikles mangel på noen eller alle celletyper i blodet. I de aller fleste tilfellene er det ingen påvisbar årsak til sykdommen. Det er sett at tidligere strålebehandling og behandling med enkelte typer cellegift kan øke risiko. Men dette er årsak kun i et lite antall tilfeller. Sannsynligvis skyldes ALL flere samtidige faktorer, både genetiske, miljømessige og tilfeldigheter.
Symptomer
Symptomene utvikles som oftest over en relativt kort periode. Vanlige symptomer er
- slapphet og tretthet som følge av den lave blodprosenten
- hyppige og/eller langvarige infeksjoner fordi antallet normale hvite blodlegemer går ned
- blødninger i hud og slimhinner på grunn av mangel på blodplater
Andre symptomer kan være uskarpt syn eller dobbeltsyn, utslett, hodepine, kvalme og oppkast (som uttrykk for irritasjon av hjernehinnene), muskel-/skjelettsmerter eller tungpust.
Diagnostikk
Blødninger i hud eller slimhinner, blodmangel og hyppige infeksjoner kan gi mistanke om sykdommen. Legeundersøkelsen kan styrke mistanken ved at det påvises:
- Blek hud (anemi)
- Hudblødninger
- Pågående infeksjon
- Lymfeknutehevelser
- Stor lever og milt
- Ømhet ved trykk over bein
Blodprøver kan bekrefte diagnosen. En viktig prøve som tas av blodet er mikroskopi av et blodutstryk. Et blodutstryk lages ved å dryppe en dråpe blod på en glassplate. Blodutstryket vil kunne vise en høy mengde umodne lymfoblaster. Ved mistanke om ALL legges personen umiddelbart inn i sykehus og overføres som regel til det nærmeste universitetssykehuset. Der bekreftes diagnosen ved undersøkelse av beinmarg. Det tas også en rekke andre spesialtester av blod, beinmarg og eventuelt ryggmargsvæske, hvor det samlede resultatet er viktig for å kunne skreddersy den beste behandlingen.
Behandling
Målet med behandlingen er å helbrede sykdommen og forebygge tilbakefall. Leukemi hos barn er en kreftsykdom med gode utsikter. Behandlingen er intens og langvarig for å prøve å helbrede så mange som mulig. Optimal behandling krever at leukemien klassifiseres nøyaktig. De fleste barn med kreft i Norge og i andre land behandles etter internasjonale behandlingsplaner. Behandlingen vil være bestemt av hvilken undertype av ALL som foreligger, personens alder, genetiske egenskaper ved kreftcellene og grad av risiko for tilbakefall.
Behandlingen består av flere typer kjemoterapi (cellegift) som gis i to trinn eller faser: Oppstartsbehandlingen (eller induksjonsfasen) består av kombinasjoner av høye doser kjemoterapi med målet å fullstendig slå ut de ondartede cellene. Slik behandling medfører samtidig at de normale blodcellene dør i større eller mindre grad.
Etter en innhentingsfase fortsettes det med vedlikeholdsbehandling (eller konsolideringsfase) hvor det gis en blanding av kjemoterapi i kurer med noen ukers pause mellom hver kur. Målsetningen er da at alle kreftcellene skal være fjernet, mens de normale cellene har overlevd. Dersom en oppnår det, kalles det remisjon - sykdommen er slått tilbake. Et flertall av pasientene som gjennomgår behandling, oppnår remisjon. Spesielt hos barn oppnår nesten alle remisjon (rundt 98 prosent), tallet er noe lavere hos voksne.
Unge voksne utgjør en særlig undergruppe som synes å ha en markant bedre prognose ved behandling etter opplegget for barn, mens eldre voksne ofte ikke tåler denne intensive behandlingen.
Etter induksjonsfasen er immunapparatet helt utslått. I denne perioden kreves innleggelse og isolasjon for å unngå smitte. Alle behandles med antibiotika og blodoverføringer etter behov. Også under konsolideringskurene er man utsatt for infeksjoner og blodmangel, og alle blir kontrollert regelmessig og hyppig for å kunne behandle eventuelle komplikasjoner så raskt som mulig.
Noen er ikke varig helbredet og får tilbakefall etter behandlingen. I slike situasjoner kan nye behandlinger være aktuelt, eventuelt forsøkes såkalt allogen stamcelletransplantasjon. Det vil si at den syke får overført stamceller (morceller) fra en frisk giver, enten et familiemedlem eller en fremmed giver som har tilstrekkelig god vevslikhet.
Stamcelletransplantasjon
Hos en voksen person som får tilbakefall av akutt leukemi, er intensiv behandling med kjemoterapi etterfulgt av stamcelletransplantasjon vanligvis den eneste behandling som kan føre til full helbredelse. Behandlingen er svært belastende, og kan derfor kun gjennomføres på relativt sett yngre pasienter uten andre sykdommer som belaster immunapparatet. Dette krever en individull vurdering og planlegging. I tilfeller der dødsrisiko ved transplantasjon vurderes å være for høy, er det i stedet aktuelt å gi kjemoterapi og/eller immunterapi. Dette kan ikke helbrede tilstanden, men det kan føre til betydelig forlengelse av overlevelsen uten å gå for mye på bekostning av livskvalitet.
Prognose
Utsiktene er gode ved ALL hos barn hvor nærmere ni av ti opplever varig helbredelse. Hos voksne har også utsiktene blitt bedre de senere årene. Omkring 60 til 65 prosent av voksne med ALL lever etter fem år, de fleste av disse er kreftfrie. Uten behandling er dødeligheten 100 prosent.
Sykdommen er alvorlig, og behandlingen er tøff og krevende. I tillegg til de fysiske belastningene, får mange psykiske reaksjoner med depresjoner og sorg, og noen får angstproblemer.
Selv om man blir frisk av behandlingen, vil de kraftige behandlingsoppleggende kunne føre til varige plager eller sykdom, kalt seneffekter. Risikoen for seneffekter er større jo kraftigere behandlingen har vært, og der behandling er gitt i ung alder. Behandlende avdelingen skal gi god informasjon om hvilke seneffekter en kan oppleve ut ifra den behandlingen som er gitt.
En svært hyppig seneffekt er det som kalles fatigue. Dette er en unormalt sterk følelse av slitenhet og redusert utholdenhet som ikke bedres etter søvn eller hvile. Dette er belastende, og for mange kanskje den tyngste plagen etter slik behandling. Fatigue er generelt en hyppig følgetilstand hos personer som har blitt behandlet med stråling, kjemoterapi eller kombinasjoner av disse. Det finnes ingen rask og effektiv kur, men både erfaring og forskning tyder på at forsiktig, individuelt tilpasset trening kan redusere plagene og øke livskvaliteten.
Andre seneffekter er ny kreftsykdom som følge av behandlingen. Noen former for kjemoterapi kan gi nerveskader (nevropatier), andre kan gi økt risiko for hjertesvikt. Etter strålebehandling mot sentralnervesystemet (hjerne og ryggmarg) får noen etterplager med redusert hukommelse og/eller konsentrasjon, eller andre såkalte kognitive seneffekter.
Etter stamcelletransplantasjon ses plager og sykdom i munnhule og tenner hos en stor andel. Stamcelletransplantasjon kan også medføre en tilstand som kalles transplantat-mot-vert sykdom (GVHD). Det er en tilstand som skylles at immunceller fra giveren angriper celler og vev hos mottakeren. GVHD oppstår i forbindelse med behandlingen, men kan gå over i en mer kronisk form og komme til uttrykk som en rekke plager, fra hud, øyne, slimhinner, mage/tarm, lunger med mer.
Om du opplever plagsomme seneffekter, ta kontakt med legen din for å finne om det kan finnes behandling eller tiltak som demper plagene.
Dette dokumentet er basert på det profesjonelle dokumentet Akutt lymfoblastisk leukemi . Referanselisten for dette dokumentet vises nedenfor
- Helsedirektoratet. Maligne blodsykdommer - handlingsprogram. Oslo, 2018. Sist faglig oppdatert 23.12.2021. www.helsedirektoratet.no
- Arber DA, Orazi A, Hasserjian R, et al. The 2016 revision to the World Health Organization classification of myeloid neoplasms and acute leukemia. Blood 2016; 127: 2391-405. pmid:27069254 PubMed
- Kreftregisteret. Cancer in Norway 2021. Oslo: Kreftregisteret, 2022, www.kreftregisteret.no.
- Danckert B, Ferlay J, Engholm G et al. NORDCAN: Cancer Incidence, Mortality, Prevalence and Survival in the Nordic Countries, Data version: 9.2 - 23.06.2022. Hentet 23.05.2023 www.ancr.nu
- Årsrapport 2022 med resultater og forbedringstiltak fra Nasjonalt kvalitetsregister for barnekreft. Oslo: Kreftregisteret, 2023. ISBN: 978-82-473-0117-3 cms.legehandboka.no
- Inaba H, Greaves M, Mullighan CG. Acute lymphoblastic leukaemia. Lancet. 2013 Jun 1;381(9881):1943-55. Epub 2013 Mar 22. PMID: 23523389 PubMed
- Puckett Y, Chan O. Acute Lymphocytic Leukemia. 2022 Jun 27. In: StatPearls Internet. Treasure Island (FL): StatPearls Publishing; 2023 Jan–. PMID: 29083572 PubMed
- Freedman AS, Aster JC. Clinical manifestations, pathologic features, and diagnosis of precursor B cell acute lymphoblastic leukemia/lymphoma. UpToDate. Sept. 2022. Accessed May 2023. www.uptodate.com
- Rowe JM. Prognostic factors in adult acute lymphoblastic leukaemia. Br J Haematol 2010;150(4):389-405. PMID: 20573154 PubMed
- Fløisand Y1, Brinch L, Dybedal I et al. Allogen stamcelletransplantasjon hos voksne med akutt lymfoblastisk leukemi. Tidsskr Nor Laegeforen 2008; 128: 2563-6. pmid:19023351 PubMed
- Curran E, Stock W. How I treat acute lymphoblastic leukemia in older adolescents and young adults. Blood 2015;125: 3702-3710 Blood
- Jabbour E, O'Brien S, Ravandi F, et al. Monoclonal antibodies in acute lymphoblastic leukemia. Blood. 2015 ;125:4010-6. PMID: 25999456 PubMed
- Maury S, Chevret 1, Thomas X et al. Rituximab in B-Lineage Adult Acute Lymphoblastic Leukemia. N Engl J Med 2016; 375: 1144-53. pmid: 27626518 PubMed
- Jabbour E, Haddad FG, Short NJ, Kantarijan H. Treatment of Adults With Philadelphia Chromosome–Positive Acute Lymphoblastic Leukemia—From Intensive Chemotherapy Combinations to Chemotherapy-Free Regimens A Review. JAMA Oncol 2022. pmid:35834222 PubMed
- Maude SL, Laetsch TW, Buechner J et al. Tisagenlecleucel in Children and Young Adults with B-Cell Lymphoblastic Leukemia. N Engl J Med 2018; 378: 439-48. pmid:29385370 PubMed
- Helsedirektoratet. Seneffekter etter kreftbehandling. Faglige råd. Oslo: Helsedirektoratet; 2020. IS-2872 www.helsedirektoratet.no
- Hijiya N, Hudson MM, Lensing S, et al. Cumulative incidence of secondary neoplasms as a first event after childhood acute lymphoblastic leukemia. JAMA 2007; 297: 1207-15. PMID: 17374815 PubMed
- Tangen JM, Fløisand Y, Haukås E, Næss IA, Skjelbakken T, Stapnes C, et al. Overlevelse hos voksne med akutt lymfoblastisk leukemi. Tidsskr Nor Lægeforen 2010; 130: 1710-3. DOI: 10.4045/tidsskr.09.1293 DOI
- Martell MP, Atenafu EG, Minden MD et al. Treatment of elderly patients with acute lymphoblastic leukaemia using a paediatric-based protocol. Br J Haematol 2013; 163: 458-64. pmid:24033272 PubMed
- Tjønnfjord GE, Gedde-Dahl T, Heldal D, Brinch L. Treatment outcome in adults with acute lymphoblastic leukemia: 50% long-term disease-free survival. Leukemia 2007; 21: 2203-4. PMID: 17525727 PubMed