Plattfot
De aller fleste med plattfot har såkalt myk plattfot, som er et normalfenomen og som ikke gir plager. Stiv plattfot derimot, kan hos noen gi symptomer og kreve tiltak.

Sist oppdatert:
2. apr. 2025
Hva er plattfot?
Foten er buet i to retninger, i lengderetningen og tvers over forfoten. Plattfot innebærer at fotbuene er reduserte eller mangler helt. Det skilles mellom myk plattfot, der det er normal fotbue når pasienten står på tær eller ikke belaster foten, og en stiv type der foten er flat hele tiden. Stiv plattfot kan i noen tilfeller gi plager.
Opptil 26 prosent av den voksne befolkningen har plattfot i større eller mindre grad.
Alle småbarn har frem til 3-4 års alderen noen grader av plattfot. Dette er en normaltilstand som hos de fleste forsvinner etter som barnet vokser til. Denne tilstanden gir ikke plager.
Voksne personer med plattfot har som regel få eller ingen plager. Men overbelastning av føttene kan gi smerter i foten og/eller leggen. Slike belastningssmerter kommer oftest på slutten av dagen.
Årsaker
Den vanligste typen er plattfot uten kjent årsak. Dette er i de aller fleste tilfellene det som kalles myk eller fleksibel plattfot. Det er denne plattfot-typen som en kan se hos de fleste småbarn, men som en andel av befolkningen også tar med seg over i voksen alder.
Stiv plattfot kan skyldes for eksempel ufullstendig eller manglende leddutvikling mellom ben i foten, feilstillinger av ben, skader og lignende - og betegnes derfor også sekundær plattfot.
Kjennetegn ved myk plattfot
Tilstanden er som oftest medfødt, og det er ofte flere i familien med plattfot. Myk plattfot medfører hos de fleste ingen plager, og tilstanden reduserer heller ikke fysisk yteevne på noen måter.
Årsaker til stiv plattfot
- Kort akillessene
- Brudd i knokler i mellomfoten eller bakfoten
- Nerve og muskelsykdommer
- Sammenvoksning av knokler i føttene
- Leddgikt
Diagnosen

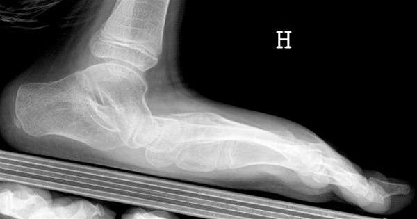
Plattfot påvises ved undersøkelse av føttene. Den indre fotbuen siger ned mot underlaget når foten belastes. Ved den vanlige myke plattfot får foten normal fasong når trykket avlastes, som for eksempel når man står eller går på tærne. Dette i motsetning til stiv plattfot der foten alltid er flat, for eksempel på grunn av sammenvoksninger mellom ben i foten.
Hos personer med plattfot vil skoene ofte slites skjevt, det er særlig innsiden av skoen som slites.
Røntgenundersøkelser er ikke nødvendig ved plattfot annet enn i de tilfellene hvor det foreligger stiv plattfot og pasienten plages med smerter.


Behandling
De aller fleste behøver ikke behandling. Plattfot skal bare behandles dersom tilstanden gir plager.
Myk plattfot hos barn gir som regel ingen smerteplager og behøver ingen spesiell behandling. Det kan eventuelt gis råd om å benytte sko med stabile såler og hælkappe. Myk plattfot medfører ikke økt risiko for senere plager fra ankler, kne, hofter eller rygg. Spesialtilpassede såler (myke fotsenger) kan muligens lindre noe dersom barnet har smerteplager. Det er imidlertid ikke dokumentert noen sikker effekt, og utgifter til slike såler dekkes ikke fra NAV, heller ikke dersom det anbefales av ortoped.
Eldre barn/ungdommer kan noen ganger ha smerteplager fra forsida av legg eller i knær på grunn av skjev belastning. Såler kan i slike tilfeller forsøkes. Trening som opprettholder leddbevegeligheten og styrker tibialis posterior senen anbefales.
Forslag til øvelser:
- Tåhev begge sider
- Tøyninger av akillessene om denne er for stram
- Trening av foten med strikk (se demovideo )
Stiv plattfot fører ofte til plager ved økende alder og økende aktivitet. Spesialtilpassede såler (myke fotsenger) kan være aktuelt ved stiv plattfot. Ved vedvarende plager kan utredning med røntgen være aktuelt. Ved skjelettskader eller nerve og muskelsykdom kan operasjon i foten være aktuelt.
Spesialtilpassede såler kan lages ved ortopediske verksteder som finnes ved de større sykehusene.
Prognose
Prognosen er god. De fleste er lite plaget og trenger ingen behandling, eventuelt kan godt skotøy være tilstrekkelig dersom det er plager. Komplikasjoner opptrer sjelden, men noen av de med stiv plattfot kan få tegn på overbelastningstilstander, ryggsmerter, senebetennelse i leggen, feilstillinger av tærne og smerter i knærne.
Vil du vite mer
Dette dokumentet er basert på det profesjonelle dokumentet Plattfot . Referanselisten for dette dokumentet vises nedenfor
- Kwan Tang CY, Ng KH, Lai J. Adult flatfoot. BMJ 2020;368:m295 . doi:10.1136/bmj.m295 DOI
- Yagerman SE, Yeagerman SE, Cross MB, et al. Evaluation and treatment of symptomatic pes planus. Curr Opin Pediatr 2011; 23:60. PubMed
- Kohls-Gatzoulis J, Angel JC, Singh D, Haddad F, Livingstone J, Berry G. Tibialis posterior dysfunction: a common and treatable cause of adult acquired flatfoot. BMJ 2004; 329: 1328-33. PubMed
- Wassef S. Tibialis posterior tendon injury imaging. Medscape, last updated Aug 06, 2015. emedicine.medscape.com
- Pita-Fernandez, S., Gonzalez-Martin, C., Alonso-Tajes, F., Seoane-Pillado, T., Pertega-Diaz, S., Perez-Garcia, S., Seijo-Bestilleiro, R., & Balboa-Barreiro, V. (2017). Flat Foot in a Random Population and its Impact on Quality of Life and Functionality. Journal of clinical and diagnostic research : JCDR, 11(4), LC22–LC27. PMID: 28571173. PubMed
- Buchanan M. Pes planus. Medscape, last updated Jun 07, 2016. emedicine.medscape.com
- Medibas. Plattfothet. Stockholm: Medibas; 2021. Sist revidert 10.06.2021; sitert 05.07.2021. medibas.se
- Raj MA, Tafti D, Kiel J. Pes Planus. StatPearls. Last update January 7, 2021 (hämtad 2021-06-07). www.ncbi.nlm.nih.gov
- Tudor A, Ruzik L, Sestan B, Sirola L, Prpic T. Flat-footednesss is not a disadvantage for athletic performance in children aged 11 to 15 years. Pediatrics 2009; 123: 386-92. Pediatrics
- Jackson LT (editor). Pes Planus (Flatfoot). DynaMed. Updaterad 2018 November 30. (Hämtad 2021-06-08). www.dynamed.com
- Chorley J. Forefoot and midfoot pain in the active child or skeletally immature adolescent: Overview of causes. UpToDate, last updated Feb 08, 2018. UpToDate