Epifysiolyse i hoften
I pubertetsårene kan en sykdom oppstå i vekstsonen til lårbeinet, en såkalt epifysiolyse. Toppen av hoftekula (lårbeinshodet), som befinner seg ovenfor vekstsonen, begynner å gli bakover og nedover.

Sist oppdatert:
16. sep. 2025
Hva er epifysiolyse?
I de lange rørknoklene i beina og armene finnes vekstsoner eller vekstskiver der lengdeveksten i knoklene foregår. Denne vekstsonen betegnes på fagspråket for epifysen, og den befinner seg nær enden på et bein, det vil si nær leddet. I hoftekula på lårbeinet finnes en slik epifyseskive. I pubertetsårene kan vekstskiven svekkes og løsne fra benet, en såkalt epifysiolyse. Toppen av hoftekula (lårbeinshodet), som befinner seg ovenfor vekstsonen, begynner å gli bakover og nedover. Situasjonen kan sammenlignes med en softis som glir av kjeksen. Tilstanden må korrigeres raskt for å unngå livslange hofteplager.

Epifysiolyse av lårbeinshodet er en av de vanligste hoftelidelser hos barn i puberteten, men likevel er det en forholdsvis sjelden tilstand. Det er funnet at forekomsten av nye tilfeller er ca. 5 per 100.000 i aldersgruppen 0-16 år. I 2024 var det totalt 66 nye tilfeller. Hos gutter forekommer epifysiolyse i aldersgruppen 10-17 år, hyppigst rundt 14 års alder. Hos jenter ses sykdommen i aldersgruppen 8-15 år, hyppigst rundt 12 års alder. I ett av fire tilfeller finnes tilstanden i begge hofteleddene samtidig. Dersom tilstanden er ensidig, er risikoen svært høy for at tilstanden utvikler seg også i den andre hoften på et senere tidspunkt. Overvektige barn har økt risiko for tilstanden.
Årsak
Vi vet ikke hva årsaken er, men det er sannsynligvis en rekke faktorer som kan ha betydning. Overvekt er en risikofaktor fordi den økte kroppsvekten bidrar til å skyve toppen av hoftekula ned av vekstskiven. Overvekt synes likevel ikke som en viktig faktor hos de eldste barna. I noen tilfeller kan arv spille en rolle fordi i 5-7 prosent av tilfellene forekommer tilstanden i familien.
I de sjeldne og atypiske tilfellene der tilstanden forekommer hos barn under 10 år, kan årsaken være en underliggende forstyrrelse i kroppens hormonomsetning, som for eksempel lavt stoffskifte eller svikt i hypofysen. Disse barna har oftere samtidige forandringer i begge hofteleddene.
Symptomer
I de fleste tilfeller utvikler tilstanden seg gradvis over flere uker. Ubehag går etter hvert over i smerter. Lokalisasjon av smertene kan variere noe, men vanligvis klager barnet/ungdommen over smerter i hoften, på innsiden av låret og/eller i kneet. Noen opplever bare smerter i kneet, som ofte forsinker diagnosen. Smertene forverres ved belastning. Barnet/tenåringen begynner å halte og bevegeligheten i hofteleddet innskrenkes. Av og til har barnet litt avvikende gange hvor benet vris utover når vedkommende går.
Diagnosen
Tilstanden kan lett overses tidlig i forløpet, og tidlig behandling er viktig. Det er derfor viktig at lege og eventuelt foreldre mistenker tilstanden hos barn i den aktuelle aldersgruppen som begynner å halte og som klager over smerter i hoften, lysken, låret eller kneet.
Ved undersøkelsen vil legen ofte finne at barnet/tenåringen ligger med hoften litt bøyd og rotert utover. Særlig evnen til å rotere hofteleddet innover er innskrenket. Men også evnen til å bøye opp i hofteleddet og bevege det ut til siden er innskrenket. Barnet/tenåringen halter ofte ved gange. Hos noen blir plagene så uttalte at de ikke klarer å belaste foten.
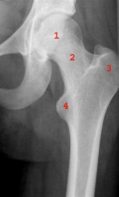
Diagnosen bekreftes ved røntgenundersøkelse av hofteleddet. Man ser da hvordan toppen på hoftekula glir av resten av leddhodet.
Behandling
Målet med behandlingen er å forhindre ytterligere skade og begrense risikoen for fremtidige hofteplager.
Rask behandling er viktig. Det er nødvendig å stanse glidningen før den blir altfor uttalt. Det gjøres ved å operere inn en eller flere pinner eller skruer gjennom de to delene av leddhodet, slik at man får "spikret sammen" hoftekula. Barnet/tenåringen må bruke krykker og avlaste hoften både før og etter inngrepet. For å redusere risikoen for fremtidige og livslange plager fra hoften, bør barnet/tenåringen avlaste hoftene og bruke krykker i 6-8 uker, fram til første kontroll på sykehuset.
Prognose
Dersom man kommer tidlig til med behandling, og glidningen er liten til moderat, er utsiktene gode. Hoften vil bli tilnærmet normal, og barnet vil unngå fremtidige plager. Er glidningen stor før man får stoppet den, og det foreligger en ustabil tilstand, er risikoen for fremtidige plager større. Unntaksvis hender det at inngrepet også kan medføre varige skader på hoftekulen.
I noen land fikseres alltid begge hofter, siden det er risiko for å utvikle tilstanden på andre siden. Dette gjøres ikke rutinemessig i Norge, om det ikke finnes noen ekstra risikofaktorer.
På kort sikt kan det oppstå flere komplikasjoner. Den alvorligste er såkalt avaskulær nekrose av leddhodet (caputnekrose). Det betyr at blodforsyningen til leddhodet svikter, og beinvev dør. Risikoen for denne komplikasjonen er naturlig nok større jo større den opprinnelige glidningen var.
På sikt kan bruske skades, noe som kan føre til stivhet i leddet og smerter. På lengre sikt kan en gjennomgått epifysiolyse øke risikoen for forkalkninger og slitasje i hofteleddet (hofteartrose).
Det er viktig at barnet blir fulgt opp med jevnlige kontroller, blant annet med røntgen, fordi sykdommen ofte kan opptre også i den andre hofta. Derfor er det også viktig å ta kontakt med lege om barnet skulle oppleve lignende plage på motsatt side.
Etter lukning av vekstskiven i cirka 15-årsalderen kan tenåringen tillates å delta i sport og idrett, som det å løpe, og etter hvert også i kontaktidretter.
Vil du vite mer
Dette dokumentet er basert på det profesjonelle dokumentet Epifysiolysis capitis femoris . Referanselisten for dette dokumentet vises nedenfor
- Wensaas A, Svenningsen S. Behandling av epiphysiolysis capitis femoris med spesialkonstruert collumskrue. Tidsskr Nor Lægeforen 2005; 125: 2788-90. PubMed
- Peck D. Slipped capital femoral epiphysis: diagnosis and management. Am Fam Physician 2010; 82: 258-62. American Family Physician
- Pavone V, Testa G, Torrisi P, McCracken KL, Caldaci A, Vescio A, Sapienza M. Diagnosis of Slipped Capital Femoral Epiphysis: How to Stay out of Trouble? Children (Basel). 2023 Apr 25;10(5):778. PMID: 37238326 PubMed
- Nasjonalt kvalitets- og kompetansenettverk for leddproteser og hoftebrudd. Rapport 2025. www.helse-bergen.no
- Perry DC, Metcalfe D, Costa ML, Van Staa T. A nationwide cohort study of slipped capital femoral epiphysis. Arch Dis Child 2017; 102: 1132. pmid:28663349 PubMed
- Wensaas A, Terjesen T. Epifysiolyse av lårbenshodet. Tidsskr Nor Legeforen 2021; 141: 1610-3. doi:10.4045/tidsskr.20.1035 DOI
- Causey AL, Smith ER, Donaldson JJ, Kendig RJ, Fisher LC 3rd. Missed slipped capital femoral epiphysis: illustrative cases and a review. J Emerg Med. 1995 Mar-Apr;13(2):175-89. PMID: 7775788 PubMed
- Shaw KA, Shiver AL, Oakes T, Fletcher ND. Slipped Capital Femoral Epiphysis Associated with Endocrinopathy: A Narrative Review. JBJS Rev. 2022 Feb 7;10(2). PMID: 35130197 PubMed
- Gholve PA, Cameron DB, Millis MB. Slipped capital femoral epiphysis update. Curr Opin Pediatr 2009; 21: 39-45. PubMed
- Haider, S., Podeszwa, D. A., & Morris, W. Z. (2022). The etiology and management of slipped capital femoral epiphysis. Journal of the Pediatric Orthopaedic Society of North America, 4(4). www.jposna.com
- Perry DC, Metcalfe D, Lane S, Turner S. Childhood Obesity and Slipped Capital Femoral Epiphysis. Pediatrics. 2018 Nov;142(5):e20181067. PMID: 30348751 PubMed
- Vestre Viken. Ortopedisk avdeling. Epifysiolysis capitis femoris. Metodebok i ortopedisk kirurgi. Sist oppdatert 04.11.2024. Sist lest 16.09.2025 www.prosedyrer.no
- Rahme D, Comley A, Foster B, Cundy P. Consequences of diagnostic delays in slipped capital femoral epiphysis. J Pediatr Orthop B 2006; 15: 93-7. PubMed
- Katz DA. Slipped capital femoral epiphysis: the importance of early diagnosis. Pediatr Ann 2006; 35: 102-11. PubMed
- Lowndes S, Khanna A, Emery D, et al. Management of unstable slipped upper femoral epiphysis: a meta-analysis. Br Med Bull. 2009;90:133-146. PubMed
- Roaten J, Spence DD. Complications Related to the Treatment of Slipped Capital Femoral Epiphysis. Orthop Clin North Am. 2016; 47: 405-13. PMID: 26772949. PubMed
- Lehmann CL, Arons RR, Loder RT, Vitale MG. The epidemiology of slipped capital femoral epiphysis: an update. J Pediatr Orthop 2006; 26: 286-90. PubMed