Bilde
Stenose venstre koronararterie
Sist oppdatert:
11. mai 2017

Angiografi
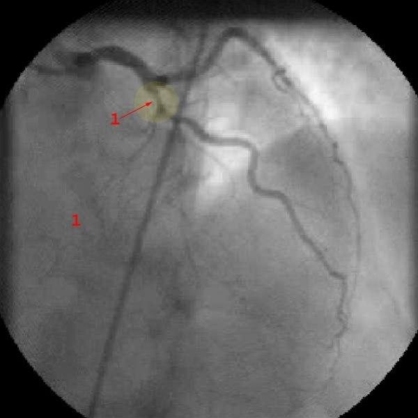
Stenose i venstre koronararteries fremre nedadstigende gren (LAD) (1)
Sist oppdatert:
11. mai 2017

Angiografi
Stenose i venstre koronararteries fremre nedadstigende gren (LAD) (1)