Bilde
MS forandringer (MR koronalsnitt)
Sist oppdatert:
2. feb. 2016

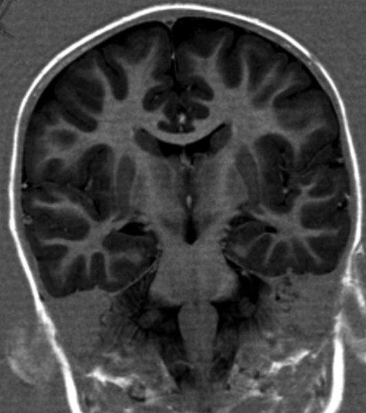
MR - coronalsnitt
Små hvite flekker mange steder i hjernevevet er typisk for MS
Sist oppdatert:
2. feb. 2016

MR - coronalsnitt
Små hvite flekker mange steder i hjernevevet er typisk for MS