Bilde
Hypofysetumor
Sist oppdatert:
22. mai 2002

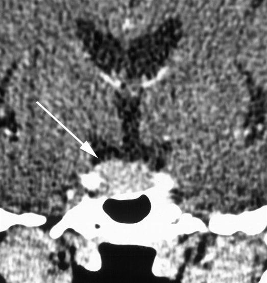
Coronalt snitt gjennom hypofysen etter intravenøs kontrastinjeksjon. Hypofysen (pil) er generelt forstørret, med konvekst bukende konturer.
Sist oppdatert:
22. mai 2002

Coronalt snitt gjennom hypofysen etter intravenøs kontrastinjeksjon. Hypofysen (pil) er generelt forstørret, med konvekst bukende konturer.