Bilde
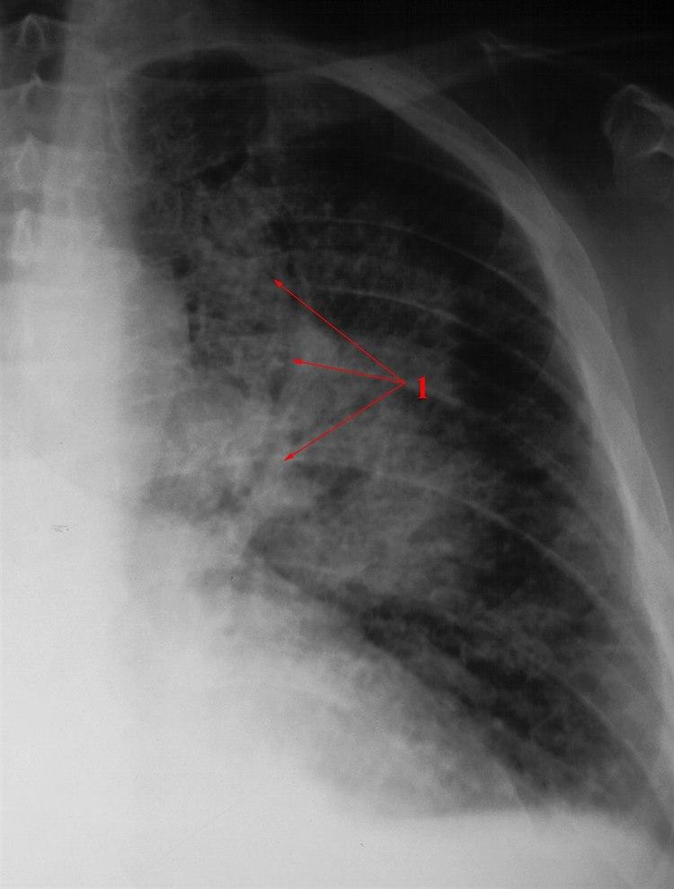
Hjertesvikt, alvorlig
Sist oppdatert:
12. mai 2017

Utbredt fortetning i sentrale deler av lungen på grunn av væskeutsiving i lungene (1)
Sist oppdatert:
12. mai 2017

Utbredt fortetning i sentrale deler av lungen på grunn av væskeutsiving i lungene (1)