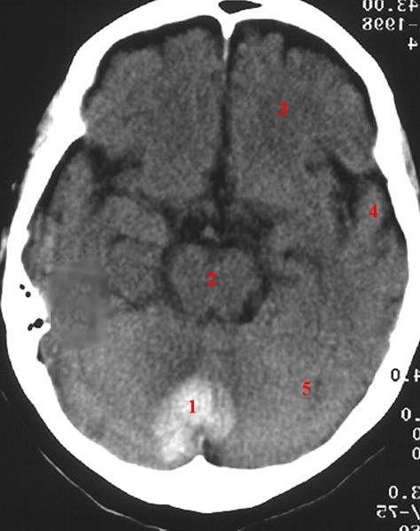
Bilde
Hematom i cerebellum
Sist oppdatert:
2. feb. 2016

CT axialbilde uten kontrast
Blødning mellom de to cerebellar-hemisfærer
Oppstått i forbindelse med lokal trombolyse i aorta og bekkenarterier
- Blødning
- Hjernestamme
- Frontallappen
- Temporallappen
- Cerebellum