Bilde
Cerebralt infarkt media
Sist oppdatert:
2. feb. 2016

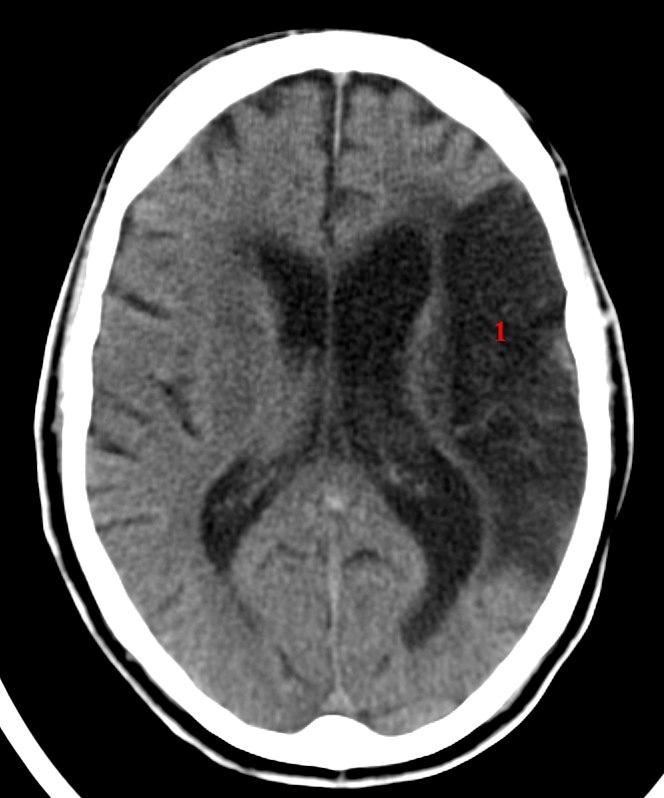
CT axialbilde uten kontrast
Stort infarkt i arteria cerebri medias forsyningsområde på pasientens venstre side (1). Infarktet er ikke helt ferskt.
Sist oppdatert:
2. feb. 2016

CT axialbilde uten kontrast
Stort infarkt i arteria cerebri medias forsyningsområde på pasientens venstre side (1). Infarktet er ikke helt ferskt.