NHI.no
Annonse
Bilde

Aortadisseksjon

Sist oppdatert:

12. mai 2017

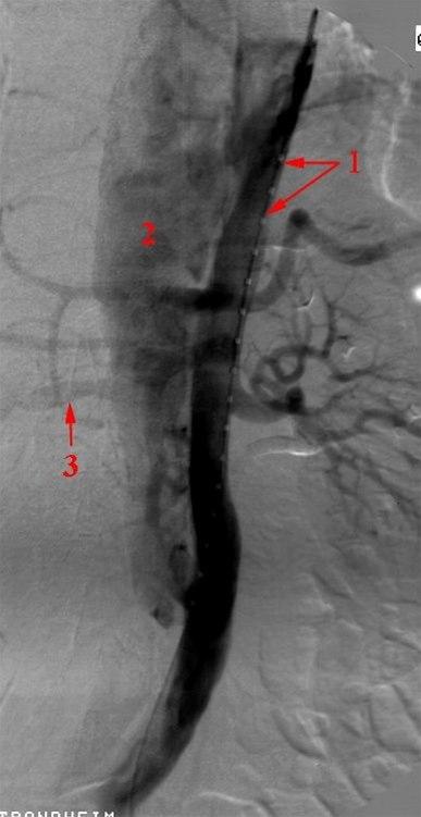
Aortadisseksjon (angiografi)

Angiografi

Aortadisseksjon

  1. Kateter i det ekte lumen
  2. Falskt lumen
  3. Høyre nyrearterie som avgår fra det falske lumen