Bilde
Sialoadenitt
Sist oppdatert:
27. nov. 2025

Ultralyd
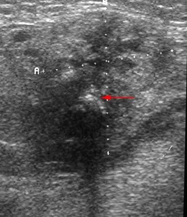
Kroniske betennelsesforandringer i glandula submandibularis med mikroabscesser og en forkalkning (pil) som gir ekkoskygge. Bilde donert av dr. A. Ødegård
Sist oppdatert:
27. nov. 2025

Ultralyd
Kroniske betennelsesforandringer i glandula submandibularis med mikroabscesser og en forkalkning (pil) som gir ekkoskygge. Bilde donert av dr. A. Ødegård