Bilde
Maxillarsinus, coronal
Sist oppdatert:
25. feb. 2016

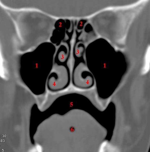
CT-snitt i coronalplan gjennom maxillarsinus
- Sinus maxillaris
- Sinus ethmoidales
- Concha nasalis media
- Concha nasalis inferior
- Cavum oris (munnhule)
- Lingula (tunge)
Sist oppdatert:
25. feb. 2016

CT-snitt i coronalplan gjennom maxillarsinus