NHI.no
Annonse
Bilde

Totalprotese hofte

Sist oppdatert:

2. juni 2015

Totalprotese hofte

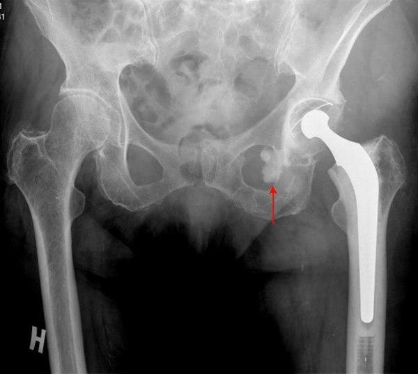
Sementert Charnley totalprotese i venstre hofte

Sementlekkasje medialt (pil)