Bilde
Toracalcolumna, front
Sist oppdatert:
2. juni 2015

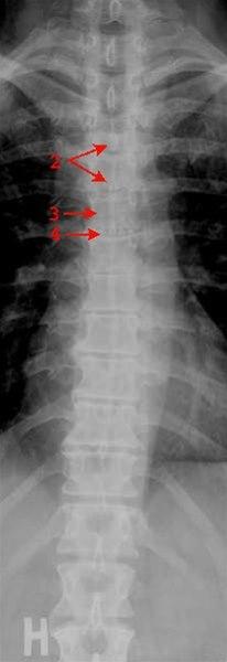
Normalt frontalbilde av thoracalcolumna (ryggsøylen i brysthøyde)
- Processus spinosus
- Virvelcorpus
- Mellomvirvelskive
Sist oppdatert:
2. juni 2015

Normalt frontalbilde av thoracalcolumna (ryggsøylen i brysthøyde)