Bilde
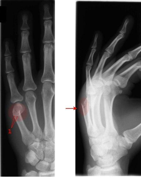
Metacarp 5 fraktur
Sist oppdatert:
2. juni 2015

Tverrfraktur femte metacarp (pil)
Typisk fraktur etter slag mot hardt objekt, vegg eller hake
Sist oppdatert:
2. juni 2015

Tverrfraktur femte metacarp (pil)
Typisk fraktur etter slag mot hardt objekt, vegg eller hake