NHI.no
Annonse
Bilde

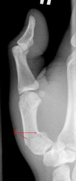
Metacarp 1 fraktur

Sist oppdatert:

2. juni 2015

Metacarp 1 fraktur

Fraktur gjennom basis av første metacarp (1)