Bilde
Malleolfraktur
Sist oppdatert:
2. juni 2015

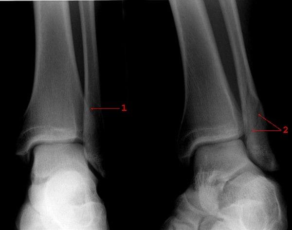
Frontal- og skråprojeksjon av venstre ankel
Skråfraktur (1 og 2), uten feilstilling gjennom laterale malleol
Frakturen er best synlig i skråprojeksjon (2)
Sist oppdatert:
2. juni 2015

Frontal- og skråprojeksjon av venstre ankel
Skråfraktur (1 og 2), uten feilstilling gjennom laterale malleol
Frakturen er best synlig i skråprojeksjon (2)