NHI.no
Annonse
Bilde

Lumbosacralcolumna, side

Sist oppdatert:

2. juni 2015

Lumbosacralcolumna, side

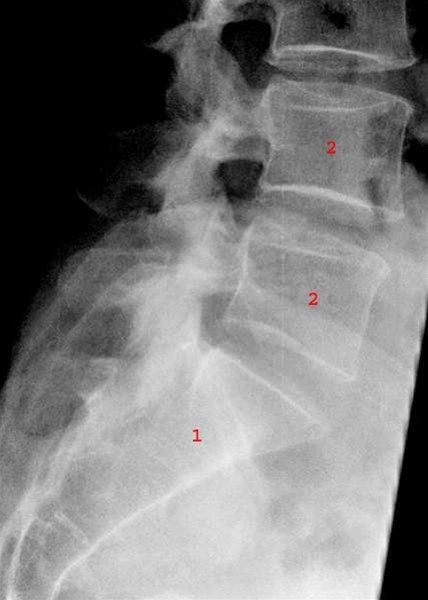
Normalt sidebilde av sacrum (1) og de lumbale virvler L4 og L5 (2).